Оптимизация комплексного лечения воспалительных заболеваний мягких тканей челюстно-лицевой области путем сочетанного применения радиоволнового воздействия и перфторана 14. 00. 21. стоматология
| Вид материала | Автореферат |
- Лечение воспалительных заболеваний мягких тканей челюстно-лицевой области на основе, 266.51kb.
- Календарно-тематический план лекций по хирургической стоматологии для студентов 4-го, 22.87kb.
- Доброкачественные новообразования мягких тканей челюстно-лицевой области 230, 9601.92kb.
- Примерная программа дисциплины челюстно-лицевая хирургия модуль «детская челюстно-лицевая, 398.03kb.
- Вопросы для поступающих в ординатуру, 55.62kb.
- Календарно-тематический план лекций по хирургической стоматологии для студентов 5-го, 28.19kb.
- Совершенствование методов комплексного лечения пациентов с нарушением окклюзии зубных, 250.47kb.
- Обоснование и оценка эффективности применения этидроновой кислоты для профилактики, 303.22kb.
- «Санкт-Петербургский Государственный Медицинский Университет им акад. И. П. Павлова, 269.7kb.
- Примерная программа дисциплины лучевая диагностика для студентов обучающихся по: специальности, 370.52kb.
На правах рукописи
Швылева Ольга Сергеевна
Оптимизация комплексного лечения воспалительных заболеваний мягких тканей челюстно-лицевой области путем сочетанного применения радиоволнового воздействия и перфторана
14.00.21. - стоматология
АВТОРЕФЕРАТ
диссертации на соискание ученой степени
кандидата медицинских наук
Пермь, 2008
Работа выполнена в Государственном образовательном учреждении высшего профессионального образования «Пермская государственная медицинская академия имени академика Е.А. Вагнера Федерального агентства по здравоохранению и социальному развитию»
Научный руководитель:
доктор медицинских наук,
профессор Кислых Фаина Ильинична
Официальные оппоненты:
доктор медицинских наук,
профессор Гилева Ольга Сергеевна
доктор медицинских наук,
профессор Дерябин Евгений Иосифович
Ведущая организация:
ГОУ ВПО «Уральская государственная медицинская академия Росздрава»
Защита диссертации состоится «___» ____________2008 г. в _____часов на заседании диссертационного совета Д.208.067.01 при ГОУ ВПО «Пермская государственная медицинская академия им. ак. Е.А. Вагнера Федерального агентства по зравоохранению и социальному развитию» (614990, г. Пермь, ул. Куйбышева, 39).
С диссертацией можно ознакомиться в библиотеке ГОУ ВПО «ПГМА им. ак. Е.А. Вагнера Росздрава» по адресу: г. Пермь, ул. Коммунистическая, 26 и с авторефератом на сайте академии www.psma.ru
Автореферат разослан «____» ________________2008
Ученый секретарь диссертационного совета,
доктор медицинских наук,
профессор Мудрова Ольга Александровна
ОБЩАЯ ХАРАКТЕРИСТИКА РАБОТЫ
Актуальность темы. Лечение больных с различными видами воспалительных заболеваний челюстно-лицевой области до настоящего времени продолжает оставаться одним из наиболее актуальных проблем хирургии [В.М. Буянов с соавт., 1991]. Число пациентов с указанной патологией, находящихся на стационарном лечении в отделениях челюстно-лицевой хирургии, не имеет тенденции к уменьшению [В.С. Агапов, В.В. Шулаков, 1999; А.А. Тимофеев с соавт., 2006].
Актуальность разработки методов профилактики и лечения больных данной группы обусловлена увеличением частоты генерализации инфекции и развития токсико-аллергических реакций, а также утратой трудоспособности на довольно длительный срок [М.Ф. Заривчацкий с соавт., 1997].
Особенности клинической картины и течения при локализации воспалительных процессов в области лица требуют не только адекватного проведения первичной хирургической обработки гнойного очага, но и тщательного соблюдения косметических аспектов, требующих особого подхода к оперативному и неоперативному лечению [В.Н. Царев, 1992; М.А. Губин с соавт., 1998; А.М. Светухин, 2002]. В соответствии с современными представлениями о лечении гнойной раны наряду с хирургической обработкой и медикаментозной терапией, предполагающей системное воздействие на организм больного, отдают предпочтение фармакологическим способам воздействия на гнойную рану, выбор которых диктуется этиологическим фактором, степенью резистентности возбудителя, стадией раневого процесса [К.А. Лебедев, И.Д. Понякина, 1990].
Значительный прогресс в лечении ран связан с внедрением в клиническую практику высокоэффективных лекарственных препаратов общего и местного действия, а также различных инструментальных методов санации раневой поверхности: лазерных, плазменных, вакуумных, криовоздействий; гидропрессивных технологий; ультразвуковой кавитации; обработок ран пульсирующей струей антисептика и др. [В.К. Гостищев с соавт., 2001; А.М. Светухин с соавт., 2002; Н.Н. Новиков с соавт., 2003; В.А. Дуванский с соавт., 2004; А.А. Никитина с соавт., 2006; I. Itzkal, S. Tangs, 1988; J. Tuner, 1999].
Несмотря на большое количество методов лечения больных с воспалительными заболеваниями мягких тканей лица и шеи, получаемые результаты не всегда оптимальны. Это связано с появлением антибиотико-резистентных форм бактерий, снижением резистентности организма, изменением экологических и социально-экономических условий, а также существенными изменениями состава возбудителей гнойно–воспалительных процессов [М.И. Кузин, Л.Л. Шимкевич, 1990; Т.Г. Робустова, 2000]. Кроме того, вышеперечисленные методы в большей или меньшей степени оказывают термическое повреждение тканей, вплоть до формирования зон коагуляционного некроза, не исключают необходимость проведения дополнительных гемостатических мероприятий [Б.М. Даценко с соавт., 1995].
Возможности совершенствования методов лечения раневого процесса еще до конца не исчерпаны и, в первую очередь, это касается повышения эффективности санации раневой поверхности от гнойно-некротических тканей и микробных тел, а также стимуляции регенераторных процессов, что диктует необходимость продолжения исследований в указанном направлении.
Цель исследования - повышение эффективности лечения больных с воспалительными заболеваниями мягких тканей челюстно-лицевой области путем дополнения комплексной программы лечебных мероприятий радиоволновым методом и перфтораном.
Задачи исследования:
- Обосновать дифференцированный подход к выбору методов лечения больных с воспалительными заболеваниями мягких тканей челюстно-лицевой области на основе сочетанного применения радиоволнового воздействия и перфторана.
- Изучить в эксперименте эффективность применения радиоволновой диссекции мягких тканей в сравнении с хирургическим скальпелем.
- Изучить динамику клинических и планиметрических показателей у больных с воспалительными заболеваниями мягких тканей челюстно-лицевой области при использовании радиоволнового скальпеля и перфторана.
- Изучить картину цитограмм раневого содержимого у больных с фурункулами лица при радиоволновом воздействии в сочетании с перфтораном в сравнении с традиционным лечебным комплексом.
- Оценить эффективность комплексного лечения больных с воспалительными заболеваниями мягких тканей челюстно-лицевой области, и разработать практические рекомендации по применению радиоволнового аппарата и перфторана в условиях поликлиники и стационара.
Научная новизна исследования
В эксперименте изучены динамика и особенности течения раневого процесса при использовании простого и радиоволнового скальпелей и доказаны преимущества последнего: меньшая степень альтерации тканей с исходом в их некроз; меньшая распространенность воспалительной клеточной реакции и преобладание инфильтратов очагового характера; минимальный послеоперационный отек; более быстрая демаркация и отторжение некротических масс с ускоренной эпителизацией раневого дефекта. Заживление ран происходит без наличия грубых рубцовых изменений и осложнений с хорошим косметическим результатом.
Впервые изучена возможность применения радиохирургического скальпеля и перфторана в комплексном лечении воспалительных заболеваний мягких тканей челюстно-лицевой области, определены показания. Разработаны методы местного лечения гнойных ран лица с использованием радиоволнового скальпеля и магнитофореза перфторана у больных с абсцедирующими фурункулами лица, нагноившимися атеромами, гематомами, абсцессами челюстно-лицевой области; радиоволнового воздействия и подслизистого введения перфторана у пациентов с острыми гнойными периоститами челюстей, затрудненным прорезыванием третьих моляров с явлениями перикоронита; оценена их эффективность. Применение радиоволнового воздействия в сочетании с перфтораном при воспалительных заболеваниях мягких тканей челюстно-лицевой области обеспечивает оптимальные результаты: быстрый регресс воспалительных явлений, сокращение сроков экссудации и усиление репаративных тканевых процессов. Расширены показания к использованию данного метода при различных нозологических формах воспалительных заболеваний мягких тканей челюстно-лицевой области.
Практическая значимость работы.
Предложенный способ лечения фурункулов лица (положительное решение о выдаче патента на изобретение «Способ лечения фурункулов лица» от 03.12.07 по заявке №2006143094/14(047066), включающий сочетание радиоволнового скальпеля и магнитофореза с перфтораном обеспечивает атравматичное воздействие на мягкие ткани, позволяет быстро купировать воспалительный процесс. Разработаны методы лечения нагноившихся гематом, атером и абсцессов челюстно-лицевой области (удостоверение на рационализаторское предложение №2425), острого гнойного периостита челюстей и затрудненного прорезывания третьих моляров с явлениями перикоронита (удостоверения на рационализаторские предложения №2424, №2426) с использованием радиоволнового аппарата с подслизистым введением перфторана.
Предложенные методы просты в применении и могут быть использованы в условиях поликлиники и стационара. Удобство клинического применения, атравматичность радиоволны по отношению к воспаленным тканям, ее коагулирующий эффект в сочетании с использованием препарата, обладающего регенерирующим действием и улучшающим микроциркуляцию, позволяют сократить время оперативного вмешательства, сроки госпитализации, уменьшить количество осложнений и снизить затраты на лечение данного контингента больных.
Основные положения, выносимые на защиту
1. Применение радиоволновой диссекции мягких тканей у лабораторных животных вызывает стимуляцию репаративных процессов в области раны.
2. Включение метода радиоволнового воздействия и перфторана в комплексную программу лечения пациентов с воспалительными заболеваниями челюстно-лицевой области сокращает сроки лечения и реабилитации больных, снижает процент послеоперационных осложнений, обеспечивает хорошие косметические результаты и медико-экономический эффект.
3. Применение радиоволнового воздействия в сочетании с перфтораном при местном лечении гнойных ран у больных с воспалительными заболеваниями мягких тканей челюстно-лицевой области оказывает положительное влияние на динамику клинических, планиметрических и цитологических показателей.
Личный вклад автора в исследования
Автором лично проведены постановка эксперимента, обработка экспериментального материала для морфологического и цитологического исследований, клинические обследования больных, планиметрические исследования. Вся полученная информация проанализирована, систематизирована и обработана статистически лично автором.
Внедрение и апробация работы
Апробация работы прошла на заседании научного координационного совета по стоматологии ГОУ ВПО «Пермской государственной медицинской академии им. ак. Е.А. Вагнера Росздрава».
Основные положения исследования и практические рекомендации внедрены в работу стоматологической клиники ГОУ ВПО «Пермской государственной медицинской академии им. ак. Е.А. Вагнера Росздрава», Муниципальное учреждение здравоохранения «Стоматологическую поликлинику №2» г. Перми. Результаты исследования используются для чтения лекций и проведения практических занятий со студентами стоматологического и лечебного факультетов ГОУ ВПО «ПГМА им. ак. Е.А. Вагнера Росздрава», семинарских занятиях с врачами-интернами и ординаторами.
Основные положения работы доложены на:
- заседаниях кафедры хирургической стоматологии и челюстно-лицевой хирургии ГОУ ВПО «ПГМА им. ак. Е.А. Вагнера Росздрава» (2006)
- заседании межкафедрального совета по стоматологии ГОУ ВПО «ПГМА им. ак. Е.А. Вагнера Росздрава» 30.03.06 (протокол №27)
- дистанционной научно-практической конференции молодых ученых и студентов «Новые технологии в хирургии и клинической анатомии – 2005»
- научной сессии Пермской государственной медицинской академии (г. Пермь, 2006, 2007)
- секции хирургической стоматологии и челюстно-лицевой хирургии Пермской региональной ассоциации врачей-стоматологов Пермского края (2006)
- международной дистанционной научно-практической конференции «Внедрение инновационных технологий в хирургическую практику (фундаментальные и прикладные аспекты)» (г. Пермь, 2006)
- научно-практической конференции «Комплексное взаимодействие медицинских служб в лечении больных с острой эмпиемой плевры и острым медиастинитом в миллионном городе» (г. Пермь, 2006)
- всероссийском конгрессе «Стоматология Большого Урала. Новейшие технологии в стоматологии» (г. Пермь, 2007).
-XV юбилейной межрегиональной научно-практической конференции, посвященной 100-летию стоматологии в г. Ижевске и 80-летию Почетного академика ИГМА доцента А.И. Патюхина (г.Ижевск, 2007).
Публикации. По материалам диссертации опубликовано 11 работ, из них 2 - в рецензируемых журналах рекомендованных ВАК; изданы методические рекомендации.
Имеется положительное решение о выдаче патента на изобретение «Способ лечения фурункулов лица» от 03.12.07 по заявке №2006143094/14(047066), 3 удостоверения на рационализаторские предложения (№2424, №2425, №2426).
Работа выполнена на кафедре хирургической стоматологии и челюстно-лицевой хирургии (зав. каф. – д.м.н., профессор Ф.И. Кислых), кафедре гистологии и эмбриологии (зав. каф.- д.м.н, профессор В.А. Четвертных), на базе ЦНИЛ (зав. – д.ф.н., профессор Г.П. Вдовина) ГОУ ВПО «Пермской государственной медицинской академии имени академика Е.А. Вагнера Росздрава»; МУЗ «Стоматологической поликлинике №2» г. Перми (гл. врач – А.Н. Арзяев), патологоанатомическом отделении ДКБ №15 (зав. отд. - к.м.н. Е.С. Патласова).
Объем и структура диссертации.
Диссертация изложена на 169 страницах машинописного текста и состоит из введения; обзора литературы; главы, посвященной материалам и методам исследования; двух глав собственных исследований; заключения; выводов; практических рекомендаций; списка литературы. Указатель литературы включает 316 источника, в том числе 255 отечественных и 61 иностранных авторов. Работа иллюстрирована 13 таблицами и 52 рисунками, приведено 3 клинических наблюдения.
Содержание работы
Материал и методы исследования
Экспериментальные исследования
Экспериментальные исследования проведены в соответствии с европейской конвенцией о защите позвоночных животных, используемых для экспериментов или в иных научных целях (Страсбург, 18.03.1986) и утверждены решением этического комитета ГОУ ВПО «ПГМА им. ак. Е.А. Вагнера Росздрава».
Работа по изучению морфологических изменений в тканях при использовании простого скальпеля и радиохирургического скальпеля выполнена на 20 белых беспородных крысах массой тела 200 – 250 гр. Все животные были разделены на две группы. Основная группа исследования составила 10 животных, которым была нанесена хирургическая рана радиоволновым скальпелем. В группу контроля вошли 10 животных, когда рана наносилась простым скальпелем.
В динамике эксперимента изучалась скорость, степень и полнота заживления раны с учетом вида повреждения. Срезы тканей окрашивались гематоксилином и эозином – для обзорных исследований, по ван Гизону - для выяснения степени развития коллагеновых волокон и орсеином - для выявления эластических волокон в месте заживления раны.
Окрашенные препараты исследовались при использовании системы микроскопического анализа изображения (микроскоп фирмы «Leica» с объективами х5, х10, х40, окуляром х10) с целью выявления степени заживления раны. Изучение проводилось на 2, 4, 8, 12 сутки и через 1месяц после операции. Вывод лабораторных животных из эксперимента в обозначенные сроки проводили при помощи эфирного наркоза.
Непосредственные результаты исследования показали, что во время проведения оперативного вмешательства радиоволновой разрез не требовал приложения усилий, был точен, формировал ровные края раны и сопровождался одномоментной коагуляцией кожных и подкожных небольших сосудов, что создавало практически «сухое» операционное поле. Разрез обычным скальпелем сопровождался кровотечением, которое затрудняло обзор раневой поверхности.
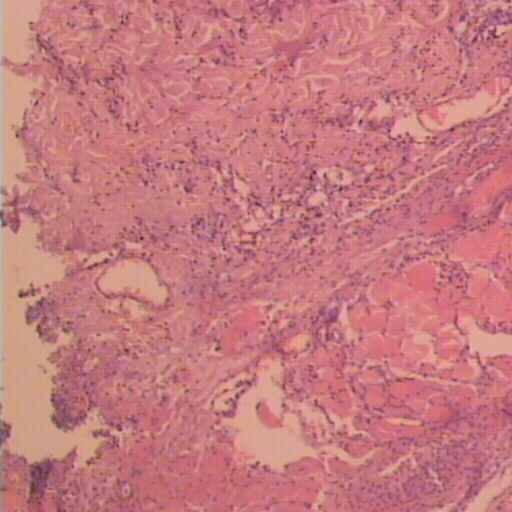
На 2-е сутки эксперимента в контрольной группе животных в области раны наблюдался некроз тканей без признаков их отторжения, выраженная лейкоцитарная инфильтрация. Отмечались значительные воспалительные изменения, сосудистые реакции и минимально выраженные репаративные процессы (рис.1).

Рис.1. Сосудистые нарушения, периваскулярный отек. Клетки воспалительного ряда в межмышечных прослойках. Окраска гематоксилином и эозином.10Х10. Контрольная группа (2-е сутки).
В основной группе животных в ране определялась зона фибриноидного некроза, ограниченная по протяженности жировой клетчаткой и верхними отделами мышечного слоя. Преобладали очаговые, реже – диффузные нейтрофильные инфильтраты, захватывающие частично мышечный слой (рис.2). Степень нейтрофильной инфильтрации была в одинаковой мере выражена как на границе некроза, так и на уровне сохраненных тканей.

Рис.2. Некроз со слабой лейкоцитарной инфильтрацией краевого расположения на фоне отека. Диастаз между краями раны. Окраска гематоксилином и эозином.10Х10. Основная группа (2-е сутки).
В контрольной группе на 4-е сутки в глубине тканей преобладали процессы образования грубых коллагеновых волокон с начальными признаками формирования рубца и неполной эпителизацией поверхности. В основной группе наблюдались явления эпителизации, новообразование капилляров с формированием тонковолокнистой соединительной ткани.
На 8-е сутки в области раны (контрольная группа) наблюдалось отторжение некротически измененных тканей с дальнейшим формированием в глубоких слоях грубой рубцовой ткани с наличием беспорядочно расположенных толстых орсеинположительных волокон. Выше располагались клеточные элементы грануляционной ткани, с малым числом новообразования капилляров.
В основной группе животных на 8-е сутки некроз фактически отсутствовал и имелась выраженная эпителизация раны. Отмечалось новообразование капилляров. В глубоких слоях дермы и верхних отделах мышечного слоя присутствовали нежные, тонкие фуксинофильные волокна, расположенные преимущественно горизонтально.
К 12 суткам в контрольной группе животных, наряду с идущей эпителизацией раны, отмечалось формирование четкого рубца, стягивающего края раны, наблюдающегося на фоне слабой васкуляризации и дистрофически измененных нервных стволов. В основной же группе животных наблюдалось полное восстановление поврежденных тканей без заметных дефектов эпителия и дермы. В дерме выявлялись клетки макрофагального ряда, лимфоциты, адвентициальные и другие клеточные элементы на фоне хорошо развитой капиллярной сети. Дефект мышечного слоя заполнялся коллагеновыми и эластическими нежноволокнистыми структурами.
Через месяц в контрольной группе животных в ране наблюдалась полная регенерация эпителия, формирование грубых волокнистых структур с неполным восстановлением мышечной ткани (рис.3). В основной группе животных к концу эксперимента отмечалась полная регенерация всех тканей (рис.4).

Рис.3.Гиперкератоз, эпителизация дефекта. Обширная зона рубца. Окраска по ван Гизону.10Х10. Контрольная группа (1 месяц).
Рис.4. Полное восстановление эпителия и субэпителиальной зоны, новообразование придатков кожи. Окраска гематоксилином и эозином.10Х10. Основная группа (1 месяц).
На основании полученных данных выявлены определенные закономерности в динамике заживления раны, нанесенной скальпелем и при использовании универсального радиоволнового скальпеля, подтверждающие видимые преимущества использования последнего. Они заключались в следующем: имелась меньшая степень альтерации тканей с образованием некротических масс, меньшая распространенность воспалительной клеточной реакции, при которой преобладали инфильтраты очагового характера, меньшая выраженность отека, большая эффективность кровоснабжения регенерирующих тканей, наблюдавшаяся уже в ранние сроки эксперимента, большая выраженность макрофагальной активности, направленная на очищение раневой поверхности, более быстрая демаркация и отторжение некротических масс с ускоренной эпителизацией раневого дефекта, более длительное сохранение иммунокомпетентных и соединительнотканных клеток, сопровождающих процессы репарации; полная регенерация с минимальным развитием волокнистых структур; заживление ран происходит без наличия грубых рубцовых изменений и осложнений, с хорошим косметическим результатом.
Клинические исследования
Под нашим наблюдением находилось 107 больных. Возраст больных колебался от 17 до 68 лет. Мужчин было 61 (57%), женщин – 46 (43%).
Были выделены две клинические группы больных: контрольную группу составили 50 больных. Их лечение проводилось по традиционным схемам. В основную группу вошло 57 больных, в комплексной программе лечения которых применялся радиоволновый скальпель и перфторан. Больные были разделены в соответствии с нозологическими формами воспалительного процесса челюстно-лицевой области, которым проводилось лечение в клинике хирургической стоматологии ГОУ ВПО «ПГМА им. ак. Е.А. Вагнера Росздрава», хирургическом отделении МУЗ «Стоматологической поликлинике №2» г. Перми за период с 2004 по 2006 годы (Таб.1)
Таблица №1
Распределение больных по клиническому диагнозу
| Диагноз | Количество больных | (%) |
| Фурункулы лица в стадии абсцедирования | 40 | 37,4% |
| Нагноившиеся гематомы и атеромы | 17 | 15,9% |
| Абсцессы челюстно-лицевой области | 10 | 9,3% |
| Острые гнойные периоститы челюстей | 20 | 18,7% |
| Затрудненное прорезывание 38,48 зубов с явлениями перикоронита | 20 | 18,7% |
| Всего: | 107 | 100% |
Группы сформированы так, что больные были сходны по полу, возрасту и локализации воспалительного очага, что позволяет считать сравниваемые показатели валидными.
Фурункулы лица чаще встречаются в возрасте от 17 до 30 лет, что напрямую связано с гормональной регуляцией сальных желез кожи, особенностями гигиены кожи в молодом возрасте, наличием вредных привычек. Нагноившиеся гематомы, атеромы, абсцессы преобладают в возрастных группах от 21 до 40 лет, что обусловлено наличием травм, ослаблением иммунных реакций. Острые гнойные периоститы также преобладают в возрастных группах от 21 до 40 лет, так как являются осложнениями воспалительных заболеваний зубов, пародонта и челюстей. Распределение больных с затрудненным прорезыванием 38, 48 зубов и явлениями перикоронита по возрастным группам от 17 до 20 лет – 11(55%) пациентов, от 21 до 30 лет – 9(45%) пациента, позволило установить прямую связь со сроками прорезывания зубов мудрости.
Пациентам основной группы (20 человек) применяли предложенный метод лечения (положительное решение о выдаче патента на изобретение «Способ лечения фурункулов лица» от 03.12.07 по заявке №2006143094/14(047066). Способ осуществляли следующим образом: первичная хирургическая обработка гнойного очага больным проводилась под местной инфильтрационной анестезией Sol.Lidocaini 1% - 1-3мл игольчатым электродом аппарата радиоволновой хирургии в режиме «разрез и коагуляция», при мощности 2-4 ЕД (45-65 Вт). Гнойно-некротический стержень удаляли круглым или овальным петлевым электродом в режиме «разрез» на половинной мощности. После осуществления разрезов раны промывали перфтораном, дренировали резиновыми полосками, накладывали повязки, пропитанные эмульсией перфторана. Перевязки осуществляли 2 раза в день.
С целью стимуляции репаративных процессов на следующий день после оперативного вмешательства, при отсутствии противопоказаний, проводили магнитофорез аппаратом МАГ-30 с эмульсией перфторана. Для этого на поверхность гнойной раны укладывали обильно смоченную перфтораном стерильную марлевую салфетку, сверху - сухую марлевую салфетку. Индуктор располагали непосредственно на сухой салфетке, воздушного зазора не делали. Использовали низкочастотное переменное электромагнитное поле частотой 50 Гц, при магнитной индукции 30 мТл. Режим непрерывный полупериодный. Экспозиция составляла 8 минут при первой процедуре, начиная со второй – 10 минут. Курс лечения в среднем 4 процедуры, ежедневно.
В основной группе с нагноившимися атеромами, гематомами и абсцессами мягких тканей применяли предложенный метод (удостоверение на рационализаторское предложение № 2425 от 15.11.07г.) местных лечебных мероприятий, включающий применение радиоволнового аппарата и магнитофореза с перфтораном. Первичную хирургическую обработку гнойного очага осуществляли игольчатым электродом аппарата радиоволновой хирургии в режиме «разрез и коагуляция» при мощности 2-4 ЕД (45-65 Вт). В связи с отсутствием кровотечения и хорошим обзором раневой поверхности, в группе пациентов с нагноившимися атеромами проводили одномоментное, полное удаление элементов разрушенной капсулы. После осуществления разрезов раны промывали перфтораном, дренировали резиновыми полосками. Для наружных повязок использовали эмульсию перфторана. Перевязки проводили 2 раза в сутки с целью пролонгирования действия препарата. Сразу после нормализации температуры тела и при отсутствии противопоказаний в комплекс лечебных мероприятий включали физиотерапевтическое лечение: лекарственный магнитофорез эмульсией перфторана. Использовали магнитотерапевтический низкочастотный (50 Гц) портативный аппарат МАГ-30. Методика аналогична описанной при лечении абсцедирующих фурункулов лица.
В комплекс лекарственной терапии основной группы и группы сравнения в обязательном порядке включали антибактериальные препараты широкого спектра действия, антиагреганты 1-3 сутки после разреза, анальгетики, десенсибилизирующие средства. В схему комплексной терапии включали адаптогены или иммуностимуляторы, комплексы витаминов. Параллельно проводили коррекцию соматической патологии (при ее наличии).
В основной группе больных с острыми гнойными периоститами челюстей применяли предложенную методику (удостоверение на рационализаторское предложение № 2426 от 15.11.07г.): осуществляли разрез, рассекая слизистую оболочку и надкостницу по переходной складке до кости на всем протяжении инфильтрата игольчатым электродом радиоволнового аппарата в режиме «разрез и коагуляция» при мощности 2-3 ЕД (45-60 Вт). После проведения разреза и удаления причинного зуба (по показаниям), рану промывали эмульсией перфторана, дренировали разрез узкой полоской перчаточной резины. Спустя 5-6 минут в области медиального и дистального краев раны под слизистую оболочку вводили по 0,5 мл перфторана, повторяли ежедневно 1 раз в сутки.
Пациентам назначались антибиотики, антигистаминные препараты. Прием анальгетиков требовался только в первые сутки после разреза (в случаях сохранения причинного зуба). Проводили сеанс магнитотерапии низкочастотным аппаратом МАГ-30. Время процедуры 8-10 минут.
Нами прооперировано 10 больных основной группы с затрудненным прорезыванием третьих моляров по предложенной методике (удостоверение на рационализаторское предложение № 2424 от 15.11.07г.) Под инфильтрационной анестезией Sol. Ultracaini 1,7 ml проводили одномоментное иссечение «капюшона» хирургическим электродом аппарата в виде петли, в режиме «разрез и коагуляция», при мощности 3-4 ЕД (Вт). Остановку кровотечения осуществляли шариковым электродом данного аппарата при режиме «коагуляция», мощность составляла 4-5Ед (ВТ). Отсутствие послеоперационного кровотечения из раны позволило полностью отказаться от применения йодоформных полос. После проведения хирургической манипуляции под слизистую оболочку вводили 0,5 ml эмульсии перфторана. Инъекцию повторяли в следующее посещение в том же объеме в течение 2-3 дней. Ни в одном из наблюдаемых случаев назначение антибактериальной терапии не потребовалось, так как осложнений, связанных с распространением воспалительного процесса в соседние пространства, у данной группы больных не выявлено. Анальгетики принимали двое больных однократно через 2-3 часа после вмешательства.
Клинические и планиметрические исследования
В соответствии с задачами исследования обследование больных проводилось по комплексной программе.
Клиническое обследование включало в себя анализ жалоб, данных анамнеза, общего статуса, местных изменений. Оценка динамики общих и местных проявлений раневого процесса осуществлялась в процессе ежедневных перевязок. Результаты исследования учитывали до хирургической обработки, после ее выполнения ежедневно и регистрировали в специально разработанной учетной карте. Кроме того, был использован комплекс исследований, который состоял из субъективных и объективных критериев анализа общих и местных проявлений раневого процесса. Субъективные критерии заключались в визуальной оценке характера раневого отделяемого, состояния краев и стенок раны, особенностей развития грануляционной ткани и эпителизации. При оценке характера раневого отделяемого учитывали его цвет, консистенцию, составляющие компоненты (серозный, гнойный, некротический детрит, кровь). При осмотре краев ран и мягких тканей обращали внимание на выраженность отека, гиперемии, инфильтрации, консистенцию (степень плотности краев), эпителизацию. Состояние стенок и дна ран оценивали по присутствию некротических тканей, очагов размягчения, наличию грануляций. Развитие грануляционной ткани характеризовали по цвету, кровоточивости, срокам появления.
Объективные показатели динамики раневого процесса включали температуру тела, планиметрические исследования по методике Л.Н. Поповой (1942) с целью изучения изменения площади раневой поверхности в процессе лечения.
Цитологические исследования
Цитологическое исследование раневого экссудата выполнялось методом поверхностной биопсии (М.Ф. Камаев, 1970) у всех больных перед началом лечения и далее на 3, 5 сутки. Предварительно с поверхности раны удаляли некротический слой или лекарственные примеси, затем с одного и того же участка последовательно стерильным шпателем делали соскоб, несколько отступя от краев раны. Содержимое переносилось на стерильное предметное стекло. Препараты сушили, фиксировали и окрашивали азур-эозином по Романовскому-Гимза. Определяли количественный и процентный состав каждого вида клеток раневого отделяемого.
Цитологические исследования проведены пациентам с фурункулами лица. Всего изучено 80 цитограмм.
Результаты исследования и их обсуждение
Включение радиоволнового воздействия и перфторана в комплексную программу лечения больных с воспалительными заболеваниями мягких тканей челюстно-лицевой области и шеи позволило установить положительную динамику, как в общей клинической картине заболеваний, так и локальных изменений в ране у больных основной группы исследования.
Среди пациентов с фурункулами клинические исследования показали, что нормализация температуры тела у больных происходила на 0,9±0,8 день в основной группе (против 1,9±0,7 группы сравнения при р<0,05). Исчезновение боли у больных основной группы наблюдалось на 1,38±0,59 сутки (против 2,65±0,88 сутки при р<0,05); отека мягких тканей вокруг раны на 1,66±0,47 день (против 2,9±0,4 группы сравнения при р<0,001); гиперемии кожи 2,14±0,56 (против 3,37±1,18 при р<0,001); рассасывание инфильтрата на 2,31±0,89 день (против 3,4±0,9); начало гранулирования и эпителизации раны было отмечено на 3,86±0,91 сутки лечения (против 4,9±0,6 при р<0,01).
Сроки лечения больных основной группы составили 4,45±1,2 дня, тогда как в группе сравнения трудоспособность пациентов была восстановлена на 6,08±1,1 день (р<0,001).
Анализ результатов планиметрических исследований гнойных ран при фурункулах лица установил следующее: в основной группе достоверное уменьшение средней площади ран за одни сутки составило в среднем 0,15±0,01 см2 против 0,09±0,02 см2 группы сравнения (при р<0,05).
Оценка полученных цитограмм проводилась по содержанию в мазках-препаратах таких клеточных элементов, как нейтрофилы, макрофаги, лимфоциты, моноциты, эозинофилы, фибробласты, эпителиальных клеток и наличию микрофлоры.
При цитологическом исследовании мазки раневого содержимого уже различались в первые часы после оперативного вмешательства у больных группы сравнения и основной. Количество микрофлоры и неизмененных эритроцитов было на порядок меньше, чем в группе сравнения, что скорее всего, связано со стерилизующим и коагулирующим действием радиоволны при проводимом лечением. Преобладающий тип цитограмм как в основной, так и в группе сравнения дегенеративно-воспалительный.
На 3-е сутки в основной группе процент дистрофически измененных лейкоцитов уменьшился в среднем на 29,8%, большая часть лейкоцитов (57,2±1,3%) сохраняет свою структуру, фагоцитирует. Происходит увеличение количества макрофагов в 6 раз по сравнению с исходным уровнем, значительно уменьшается содержание детрита и микрофлоры. Имеются фибробласты. Клеточный состав раневого экссудата менялся на воспалительно-регенераторный (рис.5). В группе сравнения сохранялся экссудативно-воспалительный тип цитограмм (рис.6).







Рис.5 Большое количество макрофагов, нейтрофилы, лимфоциты. Основная группа (3-е сутки). Окраска по Романовскому - Гимза × 100.
Рис.6 Большое количество полиморфно-ядерных лейкоцитов с различной степенью дистофических изменений, единичные лимфоциты, микрофлора (3-и сутки). Группа сравнения. Окраска по Романовскому - Гимза×100.
Начиная с 5-х суток в цитограммах основной группы количество лейкоцитов продолжает уменьшаться (на 78,3% от исходного уровня), но одновременно нарастает число макрофагов и фибробластических элементов (в 12 раз), иногда в виде обширных скоплений, эпителиальные клетки - в виде пластов, что свидетельствует о высоком уровне регенараторных процессов в ране. На 5 сутки отмечено заметное увеличение количества лимфоцитов (на 11,7%), что наряду с ранним появлением макрофагов подтверждает достаточно высокое напряжение реакций местного иммунитета. Преобладающий тип цитограмм – регенераторный (рис.7), в группе сравнения – воспалительно-регенераторный (рис.8).

Рис.7 Наличие фибробластов, макрофагов с явлением эндоцитоза (5-е сутки). Основная группа. Окраска по Романовскому - Гимза × 100.
Рис.8 Полиморфно-ядерные лейкоциты, лимфоциты, эозинофилы, детрит (5-е сутки). Группа сравнения. Окраска по Романовскому - Гимза × 100.
В основной группе у больных происходило ускорение репаративных процессов, благодаря усилению бактерицидного действия радиоволны, активации фагоцитоза нейтрофилами и макрофагами за счет воздействия перфторана, ликвидации нарушений микроциркуляции, отека и других проявлений воспаления. Происходит стимуляция пролиферации клеток и синтеза компонентов соединительной ткани. При этом эффективность нового метода лечения, в сравнении с известным, проявилась в виде усиления и улучшения качества регенерации, связанными с увеличением макрофагальной активности, ускорением процессов некролиза, значительным увеличением уровня моноциотов, макрофагов, лимфоцитов и фибробластов.
Данные результатов клинических исследований у больных с абсцессами, нагноившимися атеромами и гематомами показали, что исчезновение жалоб у пациентов основной группы наблюдалось через 1,3±0,6 дня (против 2,7±0,9 в группе сравнения при р<0,05). Боли проходили у больных основной группы на 1,81±0,1 дня (против 2,85±0,7 p<0,05); гиперемия кожи вокруг раны через 2,58±0,5 дня (против 3,94±0,3 при p<0,001); рассасывание инфильтрата на 3,33±0,3 дня (5,2±0,3 при p<0,001); длительность фазы экссудации составила 3,45±0,3 (6,01±0,3 при p<0,01); начало гранулирования и эпителизации наблюдалось на 4,38±0,4 день (против 7,28±0,6 при p<0,01). Длительность лечения у пациентов в среднем составила 5,4±1,2 дней (против 8,6±1,5 группы сравнения при p<0,05).
Исчезновение жалоб у пациентов основной группы с острыми гнойными периоститами челюстей наблюдалось через 1,1±0,03 дня (против 2,3±0,05 группы сравнения при p<0,05); купирование болевого синдрома – на 1,1±0,4 сутки (против 3,1±0,6 суток при p<0,001).
Общее состояние больных стабилизировалось быстрее, температура тела нормализовалась уже на 1,2±0,1 сутки (при традиционном лечении - на 2,9±0,2 сутки при p<0,001); отек мягких тканей лица исчезал на 1,9±0,2 сутки (против 3,4±0,3 при p<0,001).
У больных основной группы рассасывание воспалительного инфильтрата происходило на 1,2±0,12 сутки, в то время как у больных группы сравнения наблюдалось только – на 2,4±0,35 сутки, при p<0,05; исчезновение отека и гиперемии слизистой оболочки вокруг раны были более продолжительными у больных группы сравнения (на 2,8±1,2 сутки) по сравнению с больными основной группы (на 2,1±1,2 сутки). Длительность фазы экссудации составила 3,8±0,9 дня и 2,4±0,6 дня соответственно при p<0,01.
Сроки начала заживления послеоперационной раны наблюдались на 3,4±0,06 день и были достоверно меньше (p<0,05), чем у больных при традиционном методе лечения – на 4,9±0,7 день. Длительность лечения у пациентов равнялась 2,9±0,88 дням (против 5,1±0,95 группы сравнения при p<0,01).
Суточное уменьшение раневой поверхности у больных основной группы составило 0,17±0,03 см2 (против 0,09±0,02 см2 группы сравнения (p<0,05)).
У больных с затрудненным прорезыванием третьих моляров и явлениями перикоронита клинические исследования показали, что жалобы у всех пациентов основной группы купировались в течение 1 суток после проведения оперативного вмешательства, тогда как в группе сравнения сохранялись до 2-3 суток. Отек, гиперемия слизистой после перикоронаротомии в основной группе были выражены минимально и исчезали в 2 раза быстрее, чем в группе сравнения при p<0,001.
Выраженный послеоперационный отек у больных в группе сравнения провоцировал возникновение тризма, затруднение глотания, нарушение приема пищи. Наличие йодоформной полосы в ране не влияло положительно на состояние послеоперационной раны. При повторном осмотре йодоформная полоса была пропитана слюной с примесью пищевых остатков, а на краях раны виден фибринозный налет. Требовалось назначение медикаментозных противовоспалительных средств, анальгетиков и наблюдение за больным в течение 3-4 дней после вмешательства.
Все больные основной группы оставались в трудоспособном состоянии. Ни в одном из наблюдаемых случаев назначение антибактериальной терапии не потребовалось, так как осложнений, связанных с распространением воспалительного процесса в соседние пространства у данной группы больных не выявлено. Анальгетики принимали двое больных однократно через 2-3 часа после вмешательства.
Длительность лечения в основной группе составила 2,0±0,12 и 4,68±0,23 в группе сравнения, при p≤0,001.
Оценка динамики раневого процесса показала, что у пациентов основных групп с острыми инфекционно-воспалительными заболеваниями вторая фаза раневого процесса (фаза регидратации) наступала на двое суток раньше, чем у пациентов в контрольной группе и отмечалось сокращение длительности заболевания. Наблюдались более ранние – (в 1,7 раза) сроки активного гранулирования ран, уменьшение площади послеоперационных ран было большим, чем при традиционной терапии. В основных группах у больных не было зарегистрировано прогрессирующего распространения инфекционно-воспалительного процесса после начала лечения, в то время как в группе сравнения данное осложнение наблюдалось у 5% больных при традиционной схеме лечения.
Таким образом, полученные данные показали, что использование радиохирургического скальпеля и перфторана у больных с воспалительными заболеваниями мягких тканей челюстно-лицевой области и шеи позволяет существенно улучшить результаты лечения за счет быстрой ликвидации воспалительных явлений в очаге поражения, стимуляции репаративных процессов в ране, снижения длительности лечения, избежать осложнений, является экономически оправданным.
ВЫВОДЫ
1. Сравнительное морфологическое исследование состояния операционной раны и особенностей ее заживления при применении простого и радиоволнового скальпелей, выявило преимущества использования последнего: менее выраженное травматическое повреждение тканей, слабая воспалительная реакция в области раны с формированием нежного соединительнотканного рубца.
2. Методы радиоволновой диссекции в сочетании с перфтораном могут быть применены у больных в комплексном лечении воспалительных заболеваний мягких тканей различной локализации, являясь методами выбора. Расширены показания к их применению.
3. Использование разработанных методов в клинических условиях позволяет достоверно ускорить сроки очищения гнойных ран от некротических тканей, стимулирует процессы образования грануляционной ткани и эпителизации, что, в совокупности, определяет сокращение сроков лечения больных на 2,5-3 дня с достижением хороших косметических результатов.
4. Местное применение радиоволнового воздействия в сочетании с перфтораном на ткани в гнойной ране у больных с воспалительными заболеваниями мягких тканей челюстно-лицевой области способствует положительной динамике клинических проявлений, планиметрических и цитологических показателей.
5. Медико-экономический эффект от внедрения предложенного метода лечения фурункулов, нагноившихся атером, гематом, абсцессов лица с помощью радиоволнового воздействия и магнитофореза перфтораном составил 1206.09 рублей. Медико-экономический эффект от внедрения предложенного метода лечения острых гнойных периоститов челюстей, затрудненного прорезывания третьих моляров с явлениями перикоронита с помощью радиоволнового воздействия и подслизистого введения перфторана составил 245.33 рублей.
ПРАКТИЧЕСКИЕ РЕКОМЕНДАЦИИ
С целью повышения эффективности лечения воспалительных заболеваний челюстно-лицевой области целесообразно дополнить программу лечебных мероприятий применением метода радиоволновой диссекции мягких тканей и эмульсии перфторана.
2. При лечении больных с абсцедирующими фурункулами лица, нагноившимися атеромами, гематомами и абсцессами целесообразно применять радиоволновый скальпель в режиме «разрез и коагуляция» при мощности 2-4 ЕД (45-65 Вт) и магнитофорез с перфтораном аппаратом МАГ-30. Частота электромагнитного поля 50 Гц, при магнитной индукции - 30 мТл. Экспозиция при первой процедуре 8 минут, начиная со второй – 10 минут до появления четкой тенденции к эпителизации раны.
3. При остром гнойном периостите рекомендовано применять радиоволновый скальпель в режиме «разрез и коагуляция» при мощности 2-3 ЕД (45-60 Вт), спустя 5-6 минут под слизистую оболочку вводить 0,5 мл перфторана. Введение препарата осуществлять 1 раз в сутки в течение 2-3 дней до полного прекращения экссудации из раны.
4. При затрудненном прорезывании третьих моляров с явлениями перикоронита целесообразно одномоментное иссечение «капюшона» хирургическим электродом радиоволнового аппарата в виде петли, в режиме «разрез и коагуляция», при мощности 3-4 ЕД (Вт). Остановку кровотечения проводить шариковым электродом данного аппарата, при режиме «коагуляция», мощностью 4-5Ед (ВТ). После проведения хирургической манипуляции, под слизистую оболочку вводить 0,5 ml эмульсии перфторана, курсом 2-3 дня.
Список работ опубликованных по теме диссертации:
1.Швылева О.С. Анализ причин возникновения травматического остеомиелита нижней челюсти/ О.С. Швылева// Новые технологии в хирургии и клинической анатомии – 2005: материалы Международной дистанционной научн.-практ. конф. молодых ученых и студентов. – Пермь, 2006. – С.214-215.
2.Кислых Ф.И. Лечение абсцедирующих фурункулов лица методом радиоволновой хирургии/ Ф.И. Кислых, В.В. Комлев В.В., О.С. Швылева// Материалы юбилейной научной сессии 2006 года. – Пермь: Клинические науки, 2006 – Т. II. – С.218-219.
3.Кислых Ф.И. Особенности заживления ран у животных при применении простого и лазерного скальпелей/Ф.И. Кислых, О.С. Швылева// Материалы юбилейной научной сессии 2006 года. – Пермь: Клинические науки, 2006 – Т. II. – С.219-220.
4. Швылева О.С. Комплексное лечение абсцедирующих фурункулов лица с использованием метода радиоволновой хирургии и магнитофореза с перфтораном/ Новые технологии в хирургии и клинической анатомии – 2006: юбилейная международная дистанционная научн.-практ. конф. молодых ученых и студентов. – Пермь, 2006. – С.160-163.
5.Кислых Ф.И. Совершенствование методов лечения воспалительных заболеваний челюстно-лицевой области с применением перфторана/ Ф.И. Кислых, В.В. Комлев, О.С. Власова, О.С. Швылева, З.А. Снурницина// Пермский медицинский журнал. – Пермь, 2006. –Т.XXIII, №4. – С.95-104.
6. Кислых Ф.И. Обоснование внутритканевого способа введения перфторана при лечении воспалительных заболеваний челюстно-лицевой области/ Ф.И. Кислых, В.В. Комлев, М.М. Франк, О.С. Швылева// Общая реаниматология. – М., 2007. - Т. III, №3/1. – С.71-76.
7. Кислых Ф.И. Лечение абсцедирующих фурункулов лица с использованием новых технологий/ Ф.И. кислых, О.С. Швылева// Стоматология Большого Урала: материалы VI Всеросс. конгресса. – Пермь, 2007. – С.62-67.
8. Кислых Ф.И. Комплексное лечение абсцедирующих фурункулов лица с использованием метода радиоволновой хирургии и магнитофореза с перфтораном/ Ф.И. кислых, В.В. Комлев, О.С. Швылева// Современная стоматология: проблемы и решения: материалы XIV межрегиональной научно-практической конференции посвященной 100-летию стоматологии г. Ижевска и 80-летию Почетного академика ИГМА доцента А.И. Пантюхина. – Ижевск, 2007. – С.130-132.
9. Кислых Ф.И. Преимущества использования радиоволнового аппарата «Сургитрон» в хирургической стоматологии: метод. рекомендации / Ф.И. Кислых, В.В. Комлев, Т.А. Рыжкова, О.С. Швылева; Пермская гос. мед. академия им. ак. Е.А. Вагнера. – Пермь: «Пресстайм», 2006. – 15с.
10. Кислых Ф.И. Клинико-экспериментальное обоснование лечения абсцедирующих фурункулов лица с использованием метода радиоволновой хирургии и магнитофореза с перфтораном/ Ф.И. Кислых, О.С. Швылева// Внедрение инновационных технологий в хирургическую практику (фундаментальные и прикладные аспекты): материалы международ. дистанционной науч. – практ. конф. посвященной 110-летию со дня рождения профессора А.П. Соколова. – Пермь, 2007. – С.124-126.
11. Швылева О.С. Применение новых технологий при лечении затрудненного прорезывания зуба мудрости с явлениями перикоронита/ О.С. Швылева// Материалы научной сессии 2007 года. – Пермь, 2007. – С.92-93.
Патенты
Положительное решение о выдаче патента на изобретение «Способ лечения фурункулов лица» от 03.12.07 по заявке №2006143094/14(047066).
Удостоверения на рационализаторские предложения
- №2424 от 15.11.07 под наименованием «Способ лечения затрудненного прорезывания 38, 48 зубов с явлениями перикоронита с применением радиоволнового аппарата «Dento-Surg» и перфторана».
- №2425 от 15.11.07 под наименованием «Способ лечения нагноившихся атером с применением радиоволнового аппарата «Dento-Surg» и магнитофореза с перфтораном».
- №2426 от 15.11.07 под наименованием «Способ лечения острого гнойного периостита челюстей с применением радиоволнового аппарата «Dento-Surg» и перфторана».
