Удк 616. 36+616. 61]: 612. 22-085. 275
| Вид материала | Документы |
СодержаниеЦель исследования. Результаты исследования и их обсуждение. При острой гемической гипоксии. Yu.Ye. Rohovyy, H.B. Popovych, M.D. Perepeliuk |
- Удк 616. 992-06: 616. 521]-085: 577, 131.05kb.
- Удк (616. 33 002. 44+616. 342-002. 44)-07: 616. 1 Морфо-функциональные особенности, 544.96kb.
- Удк 616-085: 371. 388(093., 523.38kb.
- Удк 616. 36-002+616. 36-004С]-036, 126.41kb.
- Удк 616. 718-018. 46-002: 616-08-035, 52.77kb.
- Удк 616. 36-008. 5: 616-008. 6 Синдром холестаза, 228.59kb.
- Удк 616. 69-085. 25: 616. 379-008. 64 Фармакологическая коррекция тадалафилом эректильной, 165.57kb.
- Удк 616. 891-085. 851. 82-053, 88.79kb.
- Удк 616. 89+616. 89-008. 441. 42 Клинические варианты и динамика аффективных нарушений, 295.12kb.
- Удк 616. 34-009. 7: 616. 1: 616. 839: 616. 89 Особенности состояния сердечно-сосудистой, 253.32kb.
УДК 616.36+616.61]:612.22-085.275
Ю.Е.Роговой, Г.Б.Попович, М.Д.Перепелюк
Влияние препарата GA-40 на течение гепато-ренального синдрома при условиях острой гемической гипоксии
Буковинский государственный медицинский университет
Известно, что острая гемическая гипоксия сопровождается дистрофией почечных проксимальных канальцев и нарушением главного энергозависимого процесса - реабсорбции ионов натрия [2, 3, 10]. Торможение проксимальной реабсорбции ионов натрия при этом патологическом процессе вызывает активацию ренин-ангиотензиновой системы из реализацией вазоконстрикторного, колагенстимулирующего влияния ангиотензина ІІ, что способствует образованию водного круга в механизмах развития гепато-ренального синдрома [6, 13]. В повреждении проксимального отдела нефрона и 3-го функционального участка печёночной дольки определенная роль принадлежит перекисному окислению липидов, фибринолизу, протеолизу, фактору некроза опухоли-альфа [11, 14]. Последнее время растет интерес к использованию препарата GA-40 (комплекс полипептидов, выделенных с экологически чистого растительного материала) для коррекции патологических изменений за счет его способности вызывать баланс между регуляторными процессами (симпатикус - катаболизм – кислотность и парасимпатикус - анаболизм – щелочность), что возможно предупреждает повреждение нефроцитов и гепатоцитов [4]. Одновременно защитное влияние препарата GA-40 в коррекции гепато-ренального синдрома при условиях острой гемической гипоксии практически не изучено.
Цель исследования. Определить влияние препарата GA-40 в корекции гепато-ренального синдрома при условиях острой гемической гипоксии.
Материалы и методы исследования. В экспериментах на 44 самцах белых-неленейных крыс массой 0,16-0,18 кг исследовали гепато-ренальный синдром при гемической гипоксии, который моделировали путем введения 1% раствора нитрита натрия подкожно в дозе 50 мг/кг единоразово, что соответствовало средней степени тяжести гемической гипоксии [3]. Эвтаназию животных проводили путем декапитации под эфирным наркозом.
Проводили гистоэнзимохимические исследования ферментов на криостатических срезах печени и почек с определением активности: сукцинатдегидрогеназы с нитротетразолиевым синим и щелочной фосфатазы методом азосоединения нафтол AS-BI фосфата с крепким красным TR с количественным анализом активности исследуемых ферментов методом точечного теста за Автандиловим Г.Г.[1,7].
Фактор некрозу опухоли-альфа в плазме крови определяли иммуноферментным методом [5].
Состояние неограниченного протеолиза оценивали за лизисом азоальбумина, азоказеина и азокола (Simko Ltd. Львов) [7].
Опредиляли показатели перекисного окисления липидов и антиоксидантних систем: содержание диеновых конъюгатов, активность глютатионпероксидазы [7].
Препарат GA-40 вводили однократно внутримышечно в дозе 2 мкг/кг массы тела [4].
Статистическую обработку полученных данных, включая регрессивный анализ проводили на компьютере при помощи программы “Statgrafics” и “Excell 7.0”. Все эксперименты проведены в соответствии с правилами проведения работ с использованием экспериментальных животных (1977 г.) и положений Конвенции Совета Европы о охране позвоночных животных, которые используются в экспериментах и других научных целях (от 18 марта 1986 года).
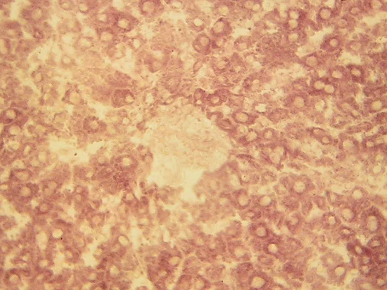
Результаты исследования и их обсуждение. Результаты исследования показали развитие морфологических изменений, свойственных для гепато-ренального синдрома при острой гемической гипоксии средней степени тяжести, на что указывало торможение активности щелочной фосфатазы и сукцинатдегидрогеназы в корковом веществе почек и печени. Применение препарата GA-40 проявляло защитное профилактическое действие на указанные процессы в корковом веществе почек и печени. Так препарат GA-40 вызвал восстановление активности щелочной фосфатазы в корковом веществе почек и активности сукцинатдегидрогеназы в 3-м функциональном участке печеночной дольки (рис 1, 2; табл. 1).

Рис. 1. Восстановление активности щелочной фосфатазы в корковом веществе почек при применении препарата GA-40. Слева –острая гемическая гипоксия;
справа – острая гемическая гипоксия + GA-40. Ув.: х 56.



Рис. 2. Восстановление активности сукцинатдегидрогеназы в 3-м функциональном участке (внутри круга) печеночной дольки при условии использования препарата GA-40. Слева –острая гемическая гипоксия;
справа – острая гемическая гипоксия + GA-40. Ув.: х 56.
Таблица 1
Влияние препарата GA-40 на активность щелочной фосфатазы в корковом участе почек и активность сукцинатдегидрогеназы в 3-м функциональном участке печеночной дольки и при условии острой гемической гипоксии (x±Sx)
| Показатели | Гемическая гипоксия (n = 11) | Гемическая гипоксия + GA-40 (n = 11) |
| Активность щелочной фосфатазы в корковом участке почек, усл.ед. | 941,8±8,48 | 1637,8±19,84 p < 0,001 |
| Активность сукцинатдегидрогеназы в третьем функциональном участке печеночной дольки, усл.ед. | 608,3±4,34 | 951,5±12,35 p < 0,001 |
р- вероятность разницы сравнительно к гемической гипоксии,
n- число наблюдений.
При условиях острой гемической гипоксии на фоне применения препарата GA-40 установлено прямую регрессийную зависимость между активностью щелочной фосфатазы в корковом участке почек (ЛФк – усл.ед.) и активностью сукцинатдегидрогеназы в третьем функциональном участке (СДГ3 - усл.ед.) печеночной дольки (рис.3). Применение препарата GA-40 приводило к повышению активности глютатионпероксидазы, суммарной, ферментативной фибринолитической активности, лизиса азоальбумина, азоказеина, азоколагена в корковом веществе почек и снижению содержания диеновых конъюгатов в печени и концентрации фактора некроза опухоли-альфа в плазме крови при условиях острой гемической гипоксии (рис. 4).

Рис. 3. Регрессивный анализ между активностью щелочной фосфатазы в корковом участке почек (ЛФк – усл.ед.) и активностью сукцинатдегидрогеназы в третьем функциональном участке (СДГ3) печеночной дольки (усл.ед.) при условиях острой гемической гипоксии на фоне применения препарата GA-40.
r – коэффициент корреляции, n-число наблюдений, p- вероятность корреляционной связи.


Рис 4. Влияние препарата GA-40 на активность глютатионпероксидазы
(ГПО - мкмоль/м/мг белка), лизис азоальбумина (Е440/ч/г), лизис азоказеина (Е440/ч/г), лизис азоколагена (Е440/ч/г) в корковом веществе почек и содержание диеновых конъюгатов (ДК- нмоль/мг белка) в печени и концентрацию фактора некроза опухоли-альфа (пг/мл) в плазме крови при условии острой гемической гипоксии. 1-острая гемическая гипоксия, 2- острая гемическая гипоксия + GA-40. Достоверность разницы сравнительно с острой гемической гипоксией отмечено: *- p < 0,05; **- p < 0,02;***- p < 0,01.
Применение препарата GA-40, с известными свойствами поддерживать сбалансированность между регуляторными процессами (симпатикус - катаболизм – кислотность и парасимпатикус - анаболизм – щелочность), проявляется в защитном действии на проксимальный отдел нефрона и печеночную дольку, что восстанавливает активность щелочной фосфатазы и сукцинатдегидрогеназы в 3-м функциональном участке печеночной дольки, тормозит развитие гепато-ренального синдрома в корковом веществе почек и печени за счет выключения вазоконстрикторного эффекта ангиотензина 2, антиоксидантных свойств препарата, его способности снижать концентрацию фактора некроза опухоли-альфа в плазме крови. Защитные свойства препарата GA-40 так же обусловлены его способностью тормозить протеолиз. Мощные саногенетические свойства препарата GA-40 способствовали восстановлению прямой регрессивной зависимости между активностью щелочной фосфатазы в корковом веществе почек и активностью сукцинатдегидрогеназы в третьем функциональном участке печеночной дольки при условии гемической гипоксии [4, 8, 12].
Вывод. Препарат GA-40 в условиях развития гепато-ренального синдрома при гемической гипоксии средней степени тяжести проявляет защитное влияние на сбалансированность регуляторных процессов в корковом веществе почек и печени, что проявляется в восстановлении активности щелочной фосфатазы в корковом веществе почек и сукцинатдегидрогеназы в 3-м функциональном участке печеночной дольки, антиоксидантным действием, торможением активности протеолиза, нормализацией фибринолиза и снижением концентрации фактора некроза опухоли –альфа в плазме крови .
Перспективы. Определение протекторного влияния препарата GA-40 на предупреждение дисфункции печени и почек при условиях хронической гемической гипоксии.
Литература
- Автандилов Г.Г. Методы измерения клеток и ядер / Автандилов Г.Г. - М.:Медицина, 1973.- 159 с. – (Морфометрия в патологии)
- Агаджанян Н.А. Классификация гипоксических, гипо- и гиперкапнических состояний/ Н.А. Агаджанян, А.Я. Чижов // Фізіологічний журнал.- 2003.- Т. 49, № 3.- С. 11-16.
- Гоженко А.И. Изменение функции почек при острой интоксикации нитритом натрия в эксперименте/ А.И. Гоженко, А.С. Федорук, С.Г. Котюжинская // Патологическая физиология и экспериментальная терапия.- 2003.- № 1.- С. 28-30.
- Дікал М.В. Роль препарату GA-40 в корекції тубуло-інтерстиційного синдрому при хронічному нефриті Мазугі/ М.В. Дікал, Ю.Є. Роговий // Клінічна анатомія та оперативна хірургія.-2006.- Т.5, № 3.- С. 14-16.
- Дікал М.В. Роль фактора некрозу пухлин –альфа в патогенезі тубуло-інтерстиційного синдрому за хронічного нефриту Мазугі/ М.В. Дікал, Ю.Є. Роговий // Вісник наукових досліджень.-2007.- № 2.- С. 108-111.
- Пат. 30727 Україна. МПК G 01 N 33/48 Спосіб визначення тканинної фібринолітичної активності/ Боднар Б.М., Кухарчук О.Л., Магаляс В.М., Пенішкевич Я.І., Пішак О.В., Роговий Ю.Є., Сливка В.І., Шаповалов В.П.; заявник і власник Буковинський державний медичний університет.-№ 98042121; заявл. 28. 04. 1998; опубл. 15. 12. 2000. Бюл. № 7-11.- 2 с.
- Пішак В.П. Універсальність ушкодження проксимального канальця при захворюваннях нирок/ В.П. Пішак, В.В. Білоокий, Ю.Є. Роговий // Клінічна та експериментальна патологія.- 2005.- Т. 4, № 1.- С. 72 -76.
- Сучасні методики експериментальних та клінічних досліджень центральної науково-дослідної лабораторії Буковинської державної медичної академії: навч.-метод. посіб./ [В.М. Магаляс, А.О. Міхеєв, Ю.Є. Роговий та ін.].-Чернівці: Буковинська державна медична академія, 2001.- 42 с.
- Федорук А.С. Защитное воздействие -токоферола на функцию почек и перекисное окисление липидов при острой гемической гипоксии/ А.С. Федорук, А.И. Гоженко, Ю.Е. Роговый// Патологическая физиология и экспериментальная терапия.-1998. - № 4.- С.35-38.
- Burgess E. Renal effects of angiotensin II reseptor antagonists/ E. Burgess // Blood Press.-2001.-Vol.10, N1.-P.17-20.
- Eckardt K.U. Role of hypoxia in the patogenesis of renal disease/ K.U. Eckardt, C. Rosenberger, J.S. Jurgensen et. al. // Blood Purif.-2003.-N21.-P.253-257.
- Meldrum K.K. TNF--dependent bilateral renal injury is induced by unilateral renal ishemia-reperfusion/ Y. Xiao, R. R. Desrosiers, R. Beliveau // American Journal Physiology.- 2002.- Vol. 282, № 2.- P. 540-546.
- Siragy Helmy. Angiotensin subtype-2 reseptors inhibit renin biosynthesis and angiotensin II formation/ Helmy. Siragy, Chun. Xue, Peter Abadir et al. // Hypertension.-2005.-Vol.45, N1.-P.133-137.
- Xiao Y., Desrosiers R. R., Beliveau R. Effect of ishemia-reperfusion on the renal brush-border membrane sodium-dependent phosphate cotransporter NaPi-2/ Xiao Y., Desrosiers R. R., Beliveau R. // Can. J. Physiology and Pharmacology.- 2001.- Vol. 79, № 3.- P. 206- 212.
- Zhu Ning. Removal of tumor necrosis factor-J and interleukin-1 by plasma exchange in patients with diffuse proliferative glomerulonephritis/ Ning Zhu, Zhi-yong Zheng, Xiang-mei Chen // J.Mod.Med.-2004.-Vol.14, N9.-P.24-30.
УДК 616.36+616.61]:612.22-085.275
влияние препарата GA-40 на течение гепато-ренального синдрома ПРИ ОСТРОЙ ГЕМИЧЕСКОЙ ГИПОКСИИ.
Ю.Е. Роговый, А.Б. Попович, М.Д. Перепелюк
Резюме. В опытах на 44 самцах белых-нелинейных крыс массой 0,16-0,18 кг с гепато-ренальным синдромом при острой гемической гипоксии средней степени тяжести выявлено защитное профилактическое влияние препарата GA-40, что проявляется антиоксидантным действием, снижением активности протеолиза, концентрации фактора некроза опухолей-альфа в плазме крови, востановлением активности щелочной фосфатазы в корковом веществе почек, а также активности сукцинатдегидрогеназы в третьем функциональном участке печеночной дольки, которые при этом были связаны между собой положительной кореляционной связью с уравнением регресионного анализа: щелочная фосфатаза (корковое вещество почек) = 145,8 + 1,56, сукцинатдегидрогеназа (третий функциональный участок печеночной дольки); r = 0,976; n = 11; p < 0,001.
Ключевые слова: острая гемическая гипоксия, гепато-ренальный синдром, препарат GA-40, щелочная фосфатаза, сукцинатдегидрогеназа.
УДК 616.36+616.61]:612.22-085.275
THE INFLUENCE OF MEDICATION GA-40 ON THE COURSE OF HEPATO- RENAL SYNDROME UNDER THE CONDITION OF ACUTE HEMIC HYPOXIA
Yu.Ye. Rohovyy, H.B. Popovych, M.D. Perepeliuk
Resume. In the experiments carried out on the 44 male white – nonlinear rats with body weight of 0,16- 0,18 kg. with hepato-renal syndrome under the condition of the acute hemic hypoxia of the medium degree of the defensive profilactic influence of the medication GA-40 has been established, which reveals in antyoxydative action, lowering activity of protelyosis, in the concentration of the tumour necrosis factor alfa in plasma, the resumption of the activity of alkaline phosphatase in cortical area of the kidneys and the activity of succinate dehydrogenase in the third functional region of the liver lobule, which however have been connected together with the positive correlative bound with the alingment of regressive analysis: alkaline phosphatase (cortical region of the kidneys) = 145,8 + 1,56 succinate dehydrogenasa ( the third functional region of the liver lobule); r = 0,976; n = 11; p < 0,001.
Key words: acute hemic hypoxia, hepato-renal syndrome, medication GA-40, alkaline phosphatase, succinate dehydrogenase.
