Статья ошибки эндодонтического лечения
| Вид материала | Статья |
СодержаниеКлючевые слова Материал и методы Клинический пример № 1 Клинический пример № 2 Эндодонтиялық емдеу кезіндегі қателіктер Түйінді сөздер Key words |
- Задачи эндодонтического лечения; Факторы, определяющие качество эндодонтического лечения, 146.49kb.
- Расписание лекций по «Пропедевтике стоматологических заболеваний», 126.13kb.
- В. Г. Бургонский оптимизация эндодонтического лечения зубов с помощью внутриканального, 219.23kb.
- Расписание семинара: 22 апреля (пятница), 66kb.
- Клинико-морфологическое обоснование эндодонтического лечения постоянных зубов с использованием, 672.94kb.
- Лекции тема №4, 19.66kb.
- Правила и ошибки встречающиеся в доказательстве и опровержении Правила и ошибки, относящиеся, 136.42kb.
- Н. А. Горячев консервативная эндодонтия практическое руководство, 2334.62kb.
- Статья 02. 01. Назначение Правил 19 Статья 02. 02. Порядок внесения изменений и дополнений, 2999.45kb.
- Типичные ошибки при выборе профессии, 37.31kb.
| С.Ж.АСФЕНДИЯРОВ АТЫНДАҒЫ ҚАЗАҚ ҰЛТТЫҚ МЕДИЦИНА УНИВЕРСИТЕТІ | ![]() | КАЗАХСКИЙ НАЦИОНАЛЬНЫЙ МЕДИЦИНСКИЙ УНИВЕРСИТЕТ ИМЕНИ С.Д.АСФЕНДИЯРОВА |
| МОДУЛЬ ПРОПЕДЕВТИКИ ТЕРАПЕВТИЧЕСКОЙ СТОМАТОЛОГИИ СТАТЬЯ | ||
Ошибки эндодонтического лечения
Смагулова Е.Н.
КазНМУ им С.Д.Асфендиярова, модуль пропедевтики терапевтической стоматологии
Резюме: Перелечивание некачественно запломбированных каналов – это один из самых сложных видов эндодонтического лечения. Большой процент эндодонтических осложнений связан с неадекватным пломбированием корневых каналов, что приводит к изменениям костной ткани в периапикальной области. Обязательным правилом является проведение рентгенологического контроля запломбированных корневых каналов зуба.
Ключевые слова: эндодонтические ошибки, эндодонтическое лечение, неадекватное пломбирование корневых каналов, хронический периодонтит, рентгенограмма
Одной из основных проблем терапевтической стоматологии является эндодонтия, так как около трети стоматологических больных нуждаются в лечении корневых каналов.
Эндодонтические ошибки, связанные с неадекватной инструментальной обработкой, удалением микробной инфекции или обтурацией корневых каналов, часто вызваны небрежностью врача, неправильным пониманием концепций лечения, незнанием анатомии корневых каналов. Корень зуба недоступен визуальному контроля, каналы бывают различными по своему анатомическому строению и довольно часто встречаются индивидуальные особенности их строения. С этим и связаны трудности их обработки и пломбирования (1).
Выделяют следующие ошибки, обусловленные сложной анатомией корневых каналов. В 40% нижние резцы имеют 2 корневых канала, в 58% случаев второй премоляр верхней челюсти имеет 2 корневых канала, в 31% случаев первый премоляр нижней челюсти имеет 2 корневых канала, в 20% фронтальных зубов имеют боковые ответвления от основного корневого канала (2).
Обязательным правилом в ходе эндодонтического лечения является наличие рентгенограммы в орторадиальной и эксцентричной проекциях. Это позволяет получить более полное представление об анатомии зуба. Пренебрежение процедурой обязательного рентгенологического обследования, которое позволяет изучить анатомические особенности корневых каналов, контролировать рабочую длину зуба, определить качество обтурации и отдаленные результаты лечения приводит к ошибкам эндодонтического лечения (3).
По данным статистики основная причина неэффективности эндодонтического лечения является недостаточное уничтожение бактерий в системе корневых каналов – 76%, неправильное определение показаний к лечению – 22%, отказ от проведения рентгенографии – одна из причин. Более 70% эндодонтически леченых зубов подлежат повторной терапии (4, 5). Основным условием эндодонтического лечения является тщательная биомеханическая очистка корневого канала. Эффективная очистка полости зуба и корневых каналов зависит от инструментальной обработки и его ирригации. Так, заключительным этапом эндодонтического лечения является обтурация корневых каналов. Идеальный пломбировочный материал для корневых каналов не должен раздражать периодонт, плотно обтурировать канал, не давать усадки, не должен поддерживать размножение бактерий, обладать бактериостатическим эффектом, не токсичным, быть биосовместимым с тканями, рентгенконтрастным.
Перелеченивание показано при появлении свища, припухлости, боли, чувствительности к перкуссии. В нашей практике часто встречаются случаи, где показанием к перелечиванию корневых каналов служат недопломбированные или не запломбированные каналы. Такие проблемы чаще всего появляются после пломбирования корневых каналов пастами, которые не только заполняют канал недостаточно герметично, но и с течением времени рассасываются.
Целью перелечивания неадекватно запломбированных каналов является устранение инфекции и предотвращение реинфицирования.
Материал и методы. Эндодонтическое перелечивание было проведено 28 пациентам в возрасте от 18 до 50 лет. Пациенты жаловались на боли при накусывании, наличие свища, припухлость щеки и выпадение пломбы. По данным рентгенограмм хронический фиброзный периодонтит диагностировали в 6 случаях, хронический гранулирующий периодонтит – в 8 случаях, хронический гранулематозный периодонтит – у 2 пациентов, обострение хронического гранулирующего периодонтита - в 12 случаях.
В ходе перелечивания встречались случаи пломбирования корневого канала гуттаперчевым штифтом без силера, что недопустимо в эндодонтии или каналы были обтурированы некачественно.
Клинический пример № 1
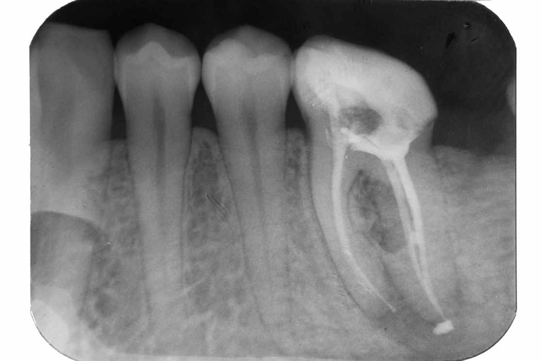
Пациент 35 лет обратился в клинику с жалобами на боль, усиливающуюся при накусывании. В ходе обследования поставлен диагноз обострение хронического гранулирующего периодонтита. На рентгенограмме (рис 1а) нижний первый моляр с неадекватно запломбированными корневыми каналами, в периапикальной области обширный очаг разрежения костной ткани. Лечение: удаление пломбы, создание доступа к устьям корневых каналов, распломбирование дистального канала, проведение инструментальной и медикаментозной обработки корневых каналов. После инструментальной обработки проводим ирригацию корневых каналов эндодонтическим шприцом с эндо иглой и 0,5 % раствора гипохлорита натрия для качественной медикаментозной обработки корневых каналов. Лечение зуба проводили с применением временной антибактериальной повязки на основе гидроксида кальция, который вводили в корневые каналы в виде жидкой суспензии. Временную повязку меняли каждые 2 недели, поскольку она начинала растворяться. Через 3 месяца временную повязку удаляли, канал пломбировали силером с гуттаперчей.

Рис 1а. Рентгенологический снимок до лечения

Рис.1б. Рентгенологический снимок после лечения
На контрольной рентгенограмме (рис 1 б) каналы обтурированы герметично на всем протяжении до верхушек, отмечается незначительное выведение пломбировочного материала за верхушку дистального корня. Пациенту рекомендовано явиться на контрольный рентгенологический снимок через 6 месяцев.
Клинический пример № 2
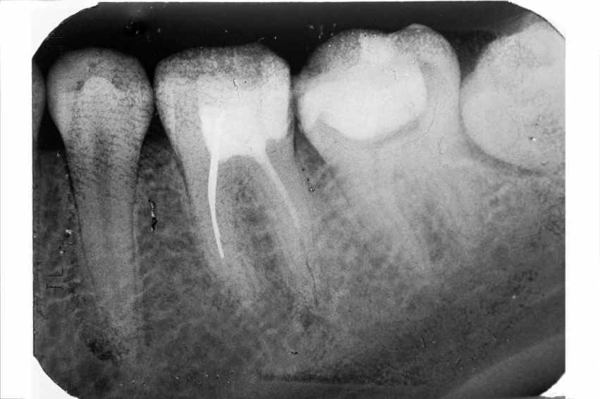
Пациентка 40 лет обратилась в клинику с целью осмотра перед протезированием. На прицельной рентгенограмме (рис 2а) нижнего первого моляра отмечается неполная обтурация корневых каналов. Во втором моляре, вероятно, ранее также было проведено эндодонтическое лечение, о чем свидетельствует наличие пломбировочного материала в полости зуба, но каналы не обурированы. Лечение: удаление старых пломб, создание доступа к устьям корневых каналов, в первом моляре проведено распломбирование корневых каналов, во втором моляре проведена ревизия корневых каналов. После тщательной инструментальной и медикаментозной обработки корневых каналов запломбировали корневые каналы.

Рис. 2 а Рентгенологический снимок до лечения

Рис. 2 б Рентгенологический снимок после пломбирований корневых каналов
На контрольной рентгенограмме (рис. 2б) корневые каналы моляров герметично обтурированы на всем протяжении до верхушек.

Рис. 2 в Рентгенологический снимок после лечения.
На контрольной рентгенограмме в дистальные каналы введены анкерные штифты, так как большая утрата тканей зуба отражается на его механической прочности.
Таким образом, в ходе проведения анализа ошибок эндодонтического лечения отмечается, что большой процент ошибок связан с некачественным пломбированием корневых каналов, что приводит к изменениям костной ткани в периапикальной области.
Эндодонтиялық емдеу кезіндегі қателіктер
Смағулова Е.Н.
Эндодонтиялық емінің ішінде сапалы пломбыланбаған түбір өзектерді қайта емдеу ең кұрделі болып табылады. Эндодонтиялық асқынуларының ішінде толық пломбыланбаған түбір өзектер жиі кездеседі және периапикальды маңайындағы сүйек тінінің өзгерістеріне әкеледі. Түбір өзектерді пломбылаған тістерге рентген тексеру міндетті түрде жүргізген дұрыс болады.
Түйінді сөздер: эндодонтиялық асқынулар, эндодонтиялық ем, түбір өзектерді сапалы пломбыламау, периодонттың созылмалы қабынуы, рентгенограмма.
Errors endodontical treatment.
Smagulova E.N.
Treatment poor sealed up root canals – one from the most difficult kinds endodontical treatments. The big percent endodontical complication is connected with inadequate sealing of root canals, that leads changes of a bone tissue around apex. Obligatory rule is carrying out of radiographic control of the sealed up root canals of tooth.
Key words: endodontical errors, endodontical treatment, inadequate sealing of root canals, chronic periodontit, radiogram.
Литература:
- Максимова О.П. Повторное эндодонтическое лечение – реальность сегодняшней стоматологической практики.//Клиническая стоматология.-№2.-2005.-С.20-24.
- Р. Бир, М.А.Бауманн, С.Ким Эндодонтология. Перевод с английского проф. Виноградовой Т.Ф. //Москва, 2004.- с.
- Боровский Е.В. Ошибки и осложнения эндодонтического лечения// Новости Dentsply.- 2003. - № 8. – с. 8-11.
- Нсенгиюмва Ф. Проблемы и трудности при повторном эндодонтическом лечении. //Проблемы стоматологии.- № 1-2 (51-52). – 2011.- с. 50-53.
- Жохова Н.С. Ошибки и осложнения эндодонтического лечения и пути их устранения.: Дисс. … д.м.н.-М.-2002.
Страница из

