Лучевая диагностика достаточно «молодая» область медицины. Ее история началась 125 лет назад с открытия рентгеновских лучей
| Вид материала | Документы |
СодержаниеРентгенологическое исследование. Ультразвуковое исследование Радионуклидное исследование. Динамические сцинтиграммы почек с радиоренографическими кривыми. Компьютерная томография. |
- Применение рентгеноструктурного анализа к изучению материалов (катализаторов, адсорбентов, 150.77kb.
- Программа сертификационного цикла «Актуальные вопросы рентгенологии», 37.33kb.
- /2011/07/02/reg-szapad/dostoevskii, 291.98kb.
- Селиверстов Павел Владимирович лучевая диагностика диспластически-дистрофического синдрома, 488.65kb.
- Селиверстов Павел Владимирович лучевая диагностика диспластически-дистрофического синдрома, 488.95kb.
- Комплексная лучевая диагностика в оценке репаративного процесса при лечении больных, 429.1kb.
- Радионуклидная диагностика воспалительных заболеваний опорно-двигательного аппарата, 543.39kb.
- Учебная программа сертификационного цикла «Актуальные вопросы рентгенологии, радиационной, 37.68kb.
- Ультразвуковая диагностика и малоинвазивные методы лечения осложнений после оперативных, 622.01kb.
- Курс что такое х-лучи, их свойства? История открытия, его сущность, практическое применение., 36.52kb.
Методы лучевой диагностики в урологии
Лучевая диагностика достаточно «молодая» область медицины. Ее история началась 125 лет назад с открытия рентгеновских лучей. Наиболее бурное развитие лучевой диагностики в виде появления и внедрения в клиническую практику принципиальной новых методов получения медицинских изображений происходило в течение последних 40 лет. Внедрение практически всех основных методов лучевой диагностики отмечено Нобелевскими премиями. Первая премия была присуждена В.К. Рентгену, основателю рентгенологии, в дальнейшем премии присуждались основателям радиоинуклидной диагностики, ангиографии, компьютерной томографии, магнитно–резонансной томографии. И есть все основания надеяться, этот список будет продолжен.
Вклад лучевой диагностики в становление и развитие современной медицины трудно переоценить. Специалисты, работающие в этой области, сегодня имеют в своих руках целый спектр современных методов исследования. На сегодняшний день ведущими являются методы, позволяющие получать изображения внутренних органов в виде «анатомических» срезов в различных плоскостях - ультразвуковое исследование (УЗИ), компьютерная томография (КТ), магнитно-резонансная томография (МРТ). При этом, в связи с лавинообразным увеличением парка диагностической аппаратуры наиболее быстро растет объем исследований на компьютерных и магнитно-резонансных томографах.
Появление и внедрение новых технологий получения изображений позволило занять лучевым исследованиям ведущую диагностическую роль в большинстве разделов клинической медицины. Традиционная рентгенология, например, позволяет получить практически всю диагностическую информацию при патологии костей и суставов. При этом в диагностике заболеваний и повреждений головного и спинного мозга информативность метода в подавляющем большинстве случаев сравнительно низкая и недостаточная для определения характера морфологических изменений.
Изменение значимости лучевых методов исследования можно проследить на примере внедрения новых визуализирующих технологий в диагностику заболеваний почек и мочевыводящих путей.
Рентгенологическое исследование.
Несмотря на появление новых высокотехнологичных методов лучевого исследования традиционная рентгенодиагностика не потеряла свою актуальность, благодаря своей доступности, простоте и высокой информативности в обследовании мочевыводящих путей.
Обзорная урограмма, выполняемая в условиях естественной контрастности, охватывает область от верхнего края почек до начала мочеиспускательного канала. В случае умеренно выраженной внутрибрюшной и забрюшинной жировой клетчатки на обзорных урограммах визуализируются контуры почек, по которым можно оценить их форму, размеры и расположение. Обзорная урография позволяет обнаружить рентгеноконтрастные конкременты в почке или мочеточнике. Но в большинстве случаев данных обзорной урографии недостаточно. В основном обзорный снимок лишь указывает на наличие «лишних» теней, свидетельствующих о той или иной патологии. С помощью обзорной урографии невозможно оценить состояние тканей внутри почки или оценить степень нарушения оттока мочи. Обнаружив на обзорном снимке камень в проекции почки или мочеточника, врач не может определить его точное расположение.
Эти проблемы удается решить с помощью экскреторной (внутривенной) урографии.
Для проведения экскреторной урографии в вену пациента вводятся рентгенконтрастные вещества - препараты, содержащие йод. Через определенные промежутки времени после введения контрастного вещества выполняется серия снимков. Почки выделяют (экскретируют) рентгенконтрастное вещество, в результате чего на урограммах визуализируются мочевыводящие пути - полостные системы почек, мочеточники и мочевой пузырь. Почечная паренхима при внутривенном введении йодсодержащих препаратов визуализируется менее отчетливо, что не позволяет достоверно определить наличие или отсутствие в ней морфологических изменений.
Положительной стороной внутривенной урографии является возможность оценки выделительной функции почек. К сожалению оценка функции почек при внутривенной урографии приблизительная и не очень точная.
Экскреторная урография противопоказана людям с повышенной чувствительностью к йоду, тяжелыми заболеваниями печени, почечной недостаточностью.
Внутривенная урография требует определенной подготовки пациента. Перед исследованием необходимо очистить кишечник, что достигается либо приемом медикаментов (например фортранса), либо очистительными клизмами. Также в течение 2—3 суток перед исследованием рекомендуется диета с ограничением углеводов. Исследование проводится натощак.

Удвоение почек и мочевых путей.

Стеноз пиелоуретрального сегмента правой почки с супрастенотическим расширением лоханки.

Конкременты в лоханке правой почки и правом мочеточнике
Ультразвуковое исследование
Современная диагностика заболевания почек и мочевыводящих путей невозможна без ультразвукового исследования (УЗИ) – доступного, сравнительно недорогого и не требующего применения ионизирующего излучения и внутривенного введения контрастных препаратов метода.
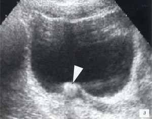
При УЗИ оценивается расположение почек, форма, контуры, размеры, состояние чашечно-лоханочной системы, наличие дополнительных образований и включений. В отличие от рентгеновского метода исследования УЗИ дает возможность визуализации паренхимы почек, оценки ее структуры и выявлении в ней морфологических изменений. Наиболее часто при проведении УЗИ почек и мочевого пузыря выявляются аномалии развития, признаки воспалительных заболеваний (острого и хронического пиелонефрита, гнойных поражений почек). При мочекаменной болезни УЗИ почек высокоэффективна в выявлении конкрементов. При УЗИ визуализируются камни любого химического состава, в то время для рентгенологических методик камни, состоящие из мочевой кислоты, остаются невидимыми. Также УЗИ информативно при определении уровня локализации конкремента, уродинамических осложнениях мочекаменной болезни – обструкции, супрастенотическом расширении мочевых путей.
При проведении УЗИ врач оценивает выраженность диффузных изменений почечной паренхимы, выявляет кисты, доброкачественные и злокачественные опухоли. УЗИ информативна в выявлении патологических изменений надпочечников и предстательной железы – гиперплазии, воспалительных изменений, кист и опухолей. УЗИ мошонки позволяет детально изучить состояние яичка, его придатков и семенного канатика.
Для УЗИ предстательной железы (простаты) могут использоваться датчики, вводимые в прямую кишку. Непосредственная близость от простаты позволяет более точно изучить морфологию ткани железы и семенных пузырьков.
В связи с большой распространенностью аденомы и рака предстательной железы рекомендуется проводить ее УЗИ мужчинам старше 50 лет при недержании мочи, учащенном либо замедленном мочеиспускании, ослаблении напора струи мочи, ночных позывах к мочеиспусканию.


Мочекаменная болезнь, конкремент в лоханке почки.


Рак почки

Конкремент в устье мочеточника.


Доброкачественная гиперплазия предстательной железы.

УЗИ мошонки, воспаление яичка.
Радионуклидное исследование.
При радионкулидном исследовании в организм пациента вводится индикаторное (предельно малое) количество радиофармацевтического препарата, который включается в обменные процессы. Радиоактивная метка позволяет при помощи специальной аппаратуры определить скорость поступления и выведения, особенности распределения радиофармпрепарата в различных органах.
В недалеком прошлом существовало 3 основных метода радионуклидного исследования – радиометрия, радиография и сканирование. На сегодняшний день возможности всех этих методов объединяет в себе сцинтиграфия - метод исследования позволяющий получать динамические изображения почек и мочевыводящих путей.
В отличие от других методов лучевого исследования сцинтиграфия позволяет получить исчерпывающую информацию о функции почек. Возможности сцинтиграфии в выявлении природы морфологических изменений более скромные, чем у УЗИ, КТ и МРТ. Для ссылка скрыта не требуется никакой подготовки. При сссылка скрыта используются радиоактивные вещества, поэтому она противопоказана беременным, кормящим и детям до 1 года.
Короткий и ультракороткий период полураспада применяемых при сцинтиграфии радиоактивных препаратов определяет их активность только во время исследования и короткое время после него. Поэтому пациенты могут вернуться к привычному образу жизни сразу после ссылка скрытаБольшинство радиофармпрепаратов выводятся через мочевую систему, поэтому увеличение потребления жидкости после ссылка скрыта помогает быстрее вывести их из организма. Индикаторные дозы радиофармпрепаратов практически исключают возможность осложнения при их введении, что делает сцинтиграфию безопасным для пациента методом исследования.
Динамические сцинтиграммы почек с радиоренографическими кривыми.
Магнитно-резонансная томография.
Особенностью магнитно-резонансной томографии (МРТ) является возможность визуализации мягкотканных структур в условиях естественной контрастности, что позволяет использовать метод для изучения паренхимы почек. Также МРТ позволяет выявить морфологические изменения мочевого пузыря, предстательной железы, семенных пузырьков, мочевого пузыря и мошонки. Также следует отметить высокую информативность метода в выявлении заболеваний матки и придатков.
Для проведения МРТ подготовка пациента не требуется. При МРТ не используется ионизирующее излучение, что также является его положительной стороной.
К недостаткам метода можно отнести его относительно высокую стоимость (а следовательно, недостаточную доступность) и наличие противопоказаний. К абсолютным противопоказаниям относятся наличие в организме пациента искусственных водителей ритма и металлических инородных тел (в том числе и трансплантатов).
МРТ позволяет на ранних стадиях выявлять опухоли почек и предстательной железы, диагностировать аномалии развития, выявлять патологию кровеносных сосудов (почечных артерий, яичковых вен). При уродинамических нарушениях МРТ позволяет визуализировать расширенные мочеточники, определять степень и причину их обструкции. Для изучения особенностей опухолевого поражения стенок мочевого пузыря и степени распространения патологического процесса за их пределы МРТ также обладает наибольшими диагностическими возможностями.
Недостатком МРТ является низкая информативность в выявлении обызвествлений и конкрементов, невозможность оценки функции почек.

Расширение полостной системы левой почки, гипоплазия правой почки.

Опухоль левой почки с распространением патологического процесса на нижнюю полую вену
Компьютерная томография.
Компьютерная томография (КТ) – метод исследования, при котором тонкий коллимированный веерообразный пучок рентгеновского излучения проходит через тело пациента в разных направлениях. Степень ослабления интенсивности излучения на выходе из тела пациента измеряется детекторами, полученная информация анализируется, синтезируется и выводится на экран в виде изображения.
Д.м.н., профессор Дергилев А.П.
Зав. отделением лучевой диагностики ЗАО МЦ «Авиценна» Кривушкина Е.В.
Зав. отделением УЗИ-диагностики ЗАО МЦ «Авиценна» Варнавская Д.Г.

