«Главный военный клинический госпиталь имени академика Н. Н. Бурденко Министерства обороны рф»
| Вид материала | Автореферат диссертации |
- Устюхина ирина Анатольевна, 341.54kb.
- На правах рукописи, 594.43kb.
- Инструкция участникам размещения заказа Порядок подготовки и подачи заявки на участие, 4985.54kb.
- Клинико психофизиологические закономерности применения концентратов экстракта черники, 471.29kb.
- «7-й Центральный военный клинический авиационный госпиталь Минобороны России», 418.07kb.
- На правах рукописи федоров, 410.14kb.
- На правах рукописи назаров, 329.87kb.
- Тяжелых хирургических эндотоксикозов, 851.85kb.
- Министерство внутренних дел российской федерации главный военный клинический госпиталь, 1637.93kb.
- «7 Центральный военный клинический авиационный госпиталь Минобороны России», 476.61kb.
На правах рукописи
СИДОРЕНКО
Владимир Владимирович
МАГНИТНО-РЕЗОНАНСНАЯ ТОМОГРАФИЯ
В ДИАГНОСТИКЕ И МОДЕЛИРОВАНИИ
НЕЙРОХИРУРГИЧЕСКИХ ВМЕШАТЕЛЬСТВ
ПРИ МЕТАСТАЗАХ ОПУХОЛЕЙ
В ГОЛОВНОЙ МОЗГ
14.00.19 – лучевая диагностика и лучевая терапия
14.00.28 - нейрохирургия
Автореферат
диссертации на соискание ученой степени
кандидата медицинских наук
МОСКВА – 2009
Работа выполнена в ФГУ «Главный военный клинический госпиталь имени
академика Н.Н. Бурденко Министерства обороны РФ»
Научные руководители:
заслуженный врач РФ
доктор медицинских наук КАРУСИНОВ Павел Сергеевич
доктор медицинских наук ГИЗАТУЛЛИН Шамиль Хамбалович
Официальные оппоненты:
доктор медицинских наук ЕГОРОВА Елена Алексеевна
доктор медицинских наук профессор КАРАХАН Владислав Борисович
Ведущая организация:
Учреждение РАМН научный центр неврологии РАМН.
Защита состоится «___» ______ 2009 г. в 13.00 на заседании специализированного совета ДМ 208.041.04 при ГОУ ВПО «Московский государственный медико-стоматологический университет Росздрава» (127473, г. Москва, ул. Делегатская, д. 20/1)
С диссертацией можно ознакомиться в библиотеке Московского государственного медико-стоматологического университета (127206, Москва, ул. Вучетича, д. 10а).
Автореферат разослан «____» __________ 2009 г.
Ученый секретарь
специализированного диссертационного совета
кандидат медицинских наук доцент Хохлова Татьяна Юрьевна
ОБЩАЯ ХАРАКТЕРИСТИКА ДИССЕРТАЦИИ
Актуальность темы
Метастатическое поражение вещества головного мозга по своей распространенности, медико-социальной значимости, материальным затратам на диагностику и лечение представляет актуальную медицинскую проблему в нейрохирургии, онкологии и в лучевой диагностике (Мельникова Е.А., 2005; Карахан В.Б., 2007). Анализ статистических данных крупных нейрохирургических клиник, проведенный American Cancer Society (Atlanta 2005), указывает на различную частоту метастатических опухолей среди мозговых новообразований, от 1,2 до 18%, в среднем 6-6,5%. На протяжении длительного периода среди нейрохирургов доминировало представление о целесообразности минимального объема оперативных вмешательств (Patchell R.A. 2003). Часто нейрохирурги сталкивались с ситуацией случайного обнаружения метастаза в головном мозге при недиагностированном первоисточнике (Нерсесянц С.И., 1965, DeAngelis L.M., 2003). В последнее время с развитием компьютерных технологий, программного обеспечения проблема внедрения новых методов диагностики новообразований в головной мозг приобрела новые грани изучения. Однако остается много нерешенных вопросов: не уточнен диагностический алгоритм исследования; не разработаны полностью методические подходы исследования структур головного мозга при метастатическом поражении; недостаточно разрешена рентгенологическая и магнитно-резонансная семиотика данной патологии. Все вышеизложенное послужило предпосылкой к проведению настоящего исследования.
Цель исследования
Совершенствование методов диагностики магнитно-резонансной томографии церебральных метастазов в планировании и моделировании нейрохирургического лечения.
Задачи исследования
- Уточнить частоту и особенности метастазирования в головной мозг различных по гистологической структуре опухолей.
- Проанализировать основные этапы современного клинико-лучевого обследования больных с метастатическим поражением головного мозга.
- Изучить и дополнить магнитно-резонансно-томографическую семиотику метастатического поражения вещества головного мозга.
- Определить значение магнитно-резонансной томографии в нейрохирургии и онкологии, для выбора и моделирования тактики нейрохирургических вмешательств с использованием технологий стереотаксиса и нейронавигации.
- На основании данных проведенного анализа усовершенствовать тактику лечебно-диагностических мероприятий у больных с метастазами злокачественных опухолей в головной мозг.
НАУЧНАЯ НОВИЗНА ИССЛЕДОВАНИЯ
Произведена комплексная сравнительная оценка возможностей магнитно-резонансной и компьютерной томографии метастатических поражений головного мозга. Изучены клинико-лучевые проявления для выделения типичных синдромов церебральных метастазов. Получены новые данные о ведущих структурно-функциональных проявлениях очаговых поражений головного мозга и закономерность распределения церебральных метастазов.
Определены возможности МРТ и КТ в оптимизации тактики нейрохирургического лечения метастазов на основе принципов трехмерного моделирования, стереотаксиса и нейронавигации.
Усовершенствован и дополнен алгоритм ранней диагностики метастатических новообразований головного мозга с использованием современных методов диагностики (МРТ, МРС, КТ, рентгенография, цифровая полипозиционная ангиография, радионуклеидная и ультразвуковая диагностики).
ПРАКТИЧЕСКАЯ ЗНАЧИМОСТЬ РАБОТЫ
Результаты исследования показали, что МРТ значительно повышает информативность обследования пациентов. Применение результатов работы дает возможность повысить качество диагностики церебральных метастазов, выработать индивидуальный алгоритм для каждого больного, определить оптимальную тактику и моделирование предстоящей операции, осуществлять мониторинг за состоянием здоровья, своевременно в индивидуальном порядке вносить изменения в ход консервативного либо оперативного лечения.
Определен комплекс диагностических мероприятий по своевременному выявлению метастазов в мозг у больных со злокачественными новообразованиями.
Рекомендован принцип диспансерного наблюдения и объем контрольного обследования больных, имеющих вероятность метастазирования в головной мозг, создающий условия ранней диагностики и лечения до возникновения грубых неврологических расстройств.
ВНЕДРЕНИЕ РЕЗУЛЬТАТОВ ИССЛЕДОВАНИЯ
Результаты исследования используются в профильных центрах ФГУ «ГВКГ им. акад. Н.Н. Бурденко», во 2 ЦВКГ им.П.Ф. Мандрыка, в 7 ЦВКАГ, 32 ЦВКГ ВМФ и в других многопрофильных лечебных учреждениях МО РФ, а также в учебном процессе кафедры хирургии ГИУВ МО РФ и кафедры лучевой диагностики ГОУ ВПО МГМСУ Росздрава.
АПРОБАЦИЯ РАБОТЫ
Основные результаты работы доложены на итоговых научно-практических конференциях ГВКГ им. акад. Н.Н. Бурденко в 2003-2008 гг. и на Московском объединении медицинских радиологов 23 октября 2008 в Учреждении РАМН научный центр неврологии РАМН. Диссертация апробирована на совместном заседании ученого совета ГВКГ им. акад. Н.Н. Бурденко и кафедры лучевой диагностики ГОУ ВПО МГМСУ Росздрава.
ПУБЛИКАЦИИ РЕЗУЛЬТАТОВ ИССЛЕДОВАНИЯ
По теме работы опубликовано девять печатных работ, в том числе три в центральной медицинской печати рекомендованных ВАК Минобрнауки РФ.
ПОЛОЖЕНИЯ ВЫНОСИМЫЕ НА ЗАЩИТУ
- Частота метастазирования опухолей головного мозга остается высокой при опухолях различной локализации и степени злокачественности, причем чаще в головной мозг метастазирует рак легкого, затем в порядке снижения частоты: меланома, рак мочеполовой системы, щитовидной железы, кишечника.
- Комплексное применение МРТ и КТ позволяет повысить эффективность диагностики и дифференциальной диагностики очаговых поражений головного мозга и определить тактику ведения пациентов.
- Магнитно-резонансная томография является наиболее информативным методом оценки состояния головного мозга, позволяющим:
- детально изучить его анатомо-топографические особенности;
- выявить ведущий синдром, определить объем и распространенность поражения;
- уточнить характер деформации прилежащих и отдаленных структур;
- дать оценку активности патологического процесса;
- произвести трехмерное моделирование с использованием принципов стереотаксиса и нейронавигации для увеличения радикальности и уменьшении травматичности нейрохирургических операций на головном мозге.
- Оптимальный интервал диспансерного наблюдения пациентов с метастазами в головной мозг не должен превышать 3 месяцев. При наличии неврологического дефицита следует амбулаторно выполнить КТ или МРТ головного мозга с контрастированием.
ОБЪЕМ И СТРУКТУРА РАБОТЫ
Диссертация, в объеме 143 машинописных страниц, состоит из введения, пяти глав, заключения, выводов, практических рекомендаций и списка литературы. Список литературы включает 225 литературных источников, из них 127 отечественных и 98 зарубежных авторов.
СОДЕРЖАНИЕ РАБОТЫ
Материалы и методы
В основу работы положены результаты комплексного клинико-инструментального обследования 154 пациентов с метастазами злокачественных опухолей в головной мозг, находившихся на стационарном лечении в ГВКГ им. акад. Н.Н. Бурденко в период с 1998 по 2008 г. Среди пациентов преобладали лица мужского пола – 111 человек, что связано со спецификой военных лечебных учреждений. Женщин было 43 человека.
Распределение больных с метастатическим поражением головного мозга по возрасту представлено в таблице 1.
Таблица 1
Распределение больных по возрасту
| Возрастная группа, лет | Общее количество | % от общего количества больных |
| 10-20 | 1 | 0,6 |
| 21-30 | 2 | 1,3 |
| 31-40 | 14 | 9,1 |
| 41-50 | 36 | 23,4 |
| 51-60 | 39 | 25,3 |
| 61-70 | 35 | 22,7 |
| 71-80 | 27 | 17,5 |
| В с е г о … | 154 | 100 |
Все метастазы локализовались в веществе головного мозга и его оболочках. Внутрикостный характер метастазирования не встречался.
При оценке клинических проявлений использовали классификацию фазности течения опухолей головного мозга (Лихтерман Л.Б., 1979).
Данные клинических методов исследования оценивались комплексно, с учетом всех диагностических методов: рентгенографии грудной клетки, УЗИ органов брюшной полости и почек, ФБС, ФГС, ФКС. Из специальных методов обследования для уточнения собственно новообразований головного мозга использовали электроэнцефалографию, сцинтиграфию, КТ И МРТ.
Данные больных вносились в разработанную в ГВКГ им. акад. Н.Н. Бурденко (Гизатуллин Ш.Х. с соавт., 1998) компьютерную историю болезни "BRAIN-UNICARD" - систему баз данных и программную оболочку для ее обработки (Свидетельство об официальной регистрации программ для ЭВМ № 960062 РФ от 21.02.96 г.). Для выполнения определенных методов статистического анализа использована программа STATISTICA 4.5 (Windows). Методы сравнительной диагностики сводились к определению параметров чувствительности, специфичности и точности.
Результаты исследований
Из 154 больных, поступивших на обследование и лечение, основным источником метастазов в головной мозг являлся рак легких – у 66 (42,8%) больных. У 17 (11%) больных – меланома, у 14 (9%) – опухоли мочеполовой системы (4% – гипернефрома, 3% – простата), у 10 (6,5%) – ЖКТ (рак желудка – 3,2%, рак толстой кишки – 3,2%). В 27 (17,5%) случаев очаг метастазирования не был установлен. У 46 (29,9%) больных с метастазами поражение мозга было единственным проявлением скрыто протекающей первичной злокачественной опухоли. У 53 (34,4%) больных гистологически диагностирован рак, у 21 (13,6%) больного – меланома.
Метастазы визуализировались с двух сторон мозга в 67 (43,5%) наблюдениях. Слева локализовались в 47 (30,5%) а, справа в 40 (26%) случаях. У 105 (68,2%) больных метастазы располагались супратенториально, у 29 (18,8%) больных – супра- и субтенториально, а у 20 (13%) больных – субтенториально. Множественные интракраниальные метастазы выявлены у 85 (55,2%) больных, одиночные – у 69 (44,8%) больных. У 121 (78,6%) пациента встречались очаги размерами более 1,5-2,0 см в диаметре.
Диагностика зоны патологического изменения головного мозга проводилась последовательно с включением всех описанных ранее специальных инструментальных методов. Приоритетным методом диагностики являлась МРТ.
Общие МРТ- признаки метастатического поражения головного мозга
Установлено, что метастазы чаще всего локализовались на стыке серого и белого вещества – 85 (55,2%) больных. Чувствительность МРТ составила – 96,1%, специфичность – 90,3%, точность диагностики – 93,2%.
У


123 (79,8 %) пациентов метастазы выглядели как узлы (рис.1), у 15 (9,7 %) – как кисты с усиленным на Т2 ВИ-сигналом.
Рис. 1. МРТ одиночного метастаза рака почки в левую теменную долю больного Ж., 53 г., метастаз хорошо виден в режиме Т2 ВИ, имеет округлую форму.
На томограммах взвешенных в Т1 ВИ, метастазы были изоинтенсивны у 15 (9,7%), слабо гипоинтенсивны у 12 (7,8%). Исключение составляли метастазы меланомы, для которых характерна обратная картина: яркий сигнал в Т1 ВИ и низкий в Т2 ВИ. В 16 (10,4%) наблюдениях метастазы были окружены более интенсивной в Т2 ВИ зоной перифокального отека, затрудняющей визуализацию метастаза. В Т1 ВИ в 14 (9%) наблюдениях отек визуализировался плохо, в виде зоны пониженного МР-сигнала. У 48 (31,16%) больных – отек был более выражен по полюсам в виде симптома «пальцев». Данный отек не распространялся на серое вещество и практически никогда не пересекал мозолистое тело.
Р

анним признаком некроза в метастазах в 25 (16,23%) случаях было снижение интенсивности в их центральной части. Центральный некроз в 40 (26%) наблюдениях давал гипоинтенсивный сигнал в режиме Т1 ВИ и гиперинтенсивный в режиме Т2 ВИ. Наличие некротических изменений проявлялось на МРТ гетерогенной кольцевидной структурой (рис. 2).
Рис. 2 МРТ метастаза плоскоклеточного рака легкого в левую теменную долю у больной
Г., 76 л. Некроз в виде гетерогенной кольцевидной структуры
Сравнение изображений до и после контрастирования показывает повышение интенсивности сигнала во всех случаях. Для солидного строении узла типично гомогенное усиление, для некроза высота сигнала не изменялась.
МРТ-признаки, наиболее характерные для всех метастазов злокачественных новообразований в головной мозг:
- выраженный пальцевидный или диффузный перифокальный отек, вызывающий дислокацию структур мозга;
- малые и средние размеры опухолевого узла;
- шаровидная или овальная форма узлов;
- множественный характер метастазирования;
- лобно-теменно-височная локализация процесса;
- отчетливое накопление контрастного вещества по периферии метастаза.
Независимо от морфологии метастаза общие МРТ-признаки характеризовались изменением интенсивности сигнала, а также деформацией структур мозга, прилежащих к зоне поражения и изменяющихся в процессе бластоматозного роста. Общие проявления патологических изменений обусловлены локализацией, размерами опухолевого узла и выраженностью перитуморозного отека.
Следует отметить, что МРТ-исследование оказалось более информативным в сравнении с КТ-исследованием в определении природы патологического процесса, в выявлении узлов относительно небольших размеров, уточнении истинного объема пораженных структур. Чувствительность КТ для церебральных метастазов составила 81,1%, специфичность – 64,5%, точность метода – 72,8%.
Специфические особенности метастазов рака опухолей органов дыхания
Анализ показал зависимость гистологической структуры и локализации новообразования от места метастазирования в головной мозг. Чувствительность МРТ составила 93,9%, специфичность – 93,5%, точность диагностики – 93,7%. Чувствительность КТ составила 84,8%, 64,5%, 74,6% соответственно.
Для метастазов опухолей легких (66 больных – 42,8%) чаще характерна височная и теменная локализация процесса (39 больных – 59,1%), реже затылочная и заднечерепная ямка.
Метастазы мелкоклеточного рака легкого (11 больных – 16,7%) в Т1 ВИ определялись в виде кистовидных образований со слабо гиперинтенсивным, равномерным по толщине ободком и однородным гипоинтенсивным по отношению к окружающему веществу мозга содержимым. В Т2 ВИ метастазы отмечались в виде однородных высокоинтенсивных «белых» образований, окруженных гипоинтенсивным ободком. Особенностью этой формы рака легкого была нез

начительность зоны отека вещества мозга и «масс-эффекта». (Рис 3).
Рис.3 МРТ метастаза рака легкого в правую теменную долю. а – Т2 ВИ и б – Т1 ВИ. Незначительность зоны отека вещества мозга и «масс-эффекта».
Метастазы плоскоклеточного рака легкого (24 больных – 36,4%) в Т1 ВИ за счет распада определялись как гетерогенные кольцевидные образования с неравномерным, «слоистым» в наиболее широких частях ободком, дающим слабогиперинтенсивный сигнал. Полость распада была полигональной формы, ее содержимое неоднородным гипо- и изоинтенсивным по отношению к веществу мозга. При малых размерах образования имели неправильно округлую форму (1,5-2,0 см в диаметре), при средних и больших размерах (более 2,0 см в диаметре) – полигональную форму с крупноволнистыми контурами.
На Т2 ВИ метастазы визуализировались в виде неоднородных слабогиперинтенсивных образований, окруженных гиперинтенсивным «фрагментированным» ободком. Кровоизлияние в метастазы в 5 (20,8%) наблюдениях характеризовалось появлением гиперинтенсивной «белой» зоны в Т1 ВИ.
При локализации метастазов в желудочковой системе мозга (6 наблюдений – 25%) образования имели правильную округлую форму, четкие контуры и были изо- или слабогиперинтенсивны в Т1 ВИ. При этом можно было визуализировать более интенсивный, неравномерный ободок. Помимо желудочков мозга у 14 (58,3%) больных метастазы плоскоклеточного рака легкого локализовались в теменной и затылочной доле, у 4 (16,6%) – в мозжечке.
Метастазы недифференцированного рака легкого (21 больной – 31,8%) и метастазы аденокарциномы лёгкого (10 больных – 15,1%) при МРТ в Т2 ВИ так же имели свои специфические признаки.
Специфические особенности метастазов меланомы
М

етастазы в головной мозг визуализировались у 21 (13,6%) больного. Чувствительность МРТ при метастазах меланомы составила 95,2%, специфичность – 96,7%, точность диагностики – 95,9%. Чувствительность КТ составила 85,7%, 66,6%, 76,1% соответственно. Частая локализация метастазов меланомы – височная, теменная, лобная доли мозга и базальные ганглии, реже –задняя черепная ямка. Метастазы меланомы характеризовались нетипичным проявлением МР-сигналов в Т2 и в Т1 ВИ, яркий сигнал в Т1 ВИ и зачастую “черный” сигнал в Т2 ВИ. Все наблюдения разделились на различные варианты в зависимости от интенсивности сигнала (Рис. 4).
Рис. 4. МРТ метастаза меланомы в аксиальной проекциях. а-Т2ВИ и б-Т1ВИ.
Метастазы пигментной меланомы без геморрагий были значительно гиперинтенсивны в Т1 ВИ и изоинтенсивны в Т2 ВИ. Метастазы амеланотической меланомы без кровоизлияний в Т1 ВИ были изоинтенсивны и несколько гиперинтенсивны в Т2 ВИ. При геморрагиях возможны различные варианты.
Специфические особенности метастазов опухолей мочеполовой системы
Рак почек– нередкая причина метастазирования в головной мозг (17 больных–11,03 %). Для гипернефром характерной является теменная, височная и лобная локализация процесса. Реже встречается внутрижелудочковая локализация процесса. Чувствительность МРТ составила 94,1%, специфичность – 87%, точность диагностики – 90,55%. При КТ- 82,3%, 64,5%,73,4%. соотвтственно.
М

етастазы рака почки в Т1 ВИ определялись в виде неоднородных образований с изо- и слабогиперинтенсивным сигналом и гиперинтенсивным, неравномерным по толщине ободком. Они определялись как образования неправильно формы с несколько неоднородным гипо- и изоинтенсивным сигналом, окруженных фрагментарным слабо гиперинтенсивным ободком (Рис. 5).
Рис.5 МРТ метастаза рака почки. а – фронтальная Т2ВИ, б – аксиальная Т1ВИ проекции. Характерна незначительность зоны отёка вещества мозга.
В Т2 ВИ метастазы определялись как неоднородные слабогипоинтенсивные и изоинтенсивные образования с фрагментарным гипоинтенсивным ободком вне зависимости от размеров метастазов. Не зависимо от размеров характерна малая зона отека мозга. У 6 (35,3%) больных метастазы локализовались в теменной доле головного мозга, у 6 (17,6%) – в височной и лобной долях, у 3 (17,6%) – внутри боковых желудочков, у 3 (17,6 %) – в задней черепной ямке.
Специфические особенности метастазов опухолей ЖКТ
М

етастазы опухоли ЖКТ (10 больных – 6,7%) и малого таза (6 наблюдений – 4 %) часто определяются в задней черепной ямке. Эти опухоли имеют кистозную форму. Чувствительность МРТ составила 90%, специфичность – 93,5%, точность диагностики – 91,7%. Чувствительность КТ - 80%, 64,5%, 72,2% соответственно. Отличительной особенностью данной гистологической формы рака была значительная зона отека вещества мозга (пальцевидной формы) и «масс-эффекта». При наличии отека в режиме Т1 ВИ он давал слабогипоинтенсивный сигнал, в режиме Т2 ВИ– слабогиперинтенсивный сигнал (Рис.6).
Рис.6 МРТ метастаза аденокарцинома сигмовидной кишки. а- сагиттальная Т1ВИ,
б – аксиальная Т2ВИ проекции. Отек мозга пальцевидной формы и «масс-эффект».
Специфические особенности метастазов рака молочной железы
Метастазы рака молочной железы (5 больных- 3,3 %) в Т1 ВИ определялись в виде множественных разновозрастных кистовидных образований со слабогиперинтенсивным ободком и несколько неоднородным гипоинтенсивным содержимым. При размерах до 1 см образования имели неправильно округлую форму, при средних (2-3 см) и больших (более 3 см) размерах – полигональную форму с крупноволнистыми контурами. Метастазы были окружены обширной слабогипоинтенсивной зоной отека с нечеткими контурами, с значительным «масс-эффектом». Чувствительность МРТ составила 100%, специфичность – 90,3%, точность диагностики – 95,1%. Чувствительность КТ составила 8

0%, специфичность – 66,6%, точность метода – 73,3% (Рис.7).
Рис.7 МРТ метастаза рака молочной железы. а – аксиальная Т2ВИ и б – фронтальная Т1ВИ проекции. Множественные неоднородные высокоинтенсивные образования с зоной средней интенсивности отека
Отмечено, что толщина ободка кистозных метастазов в каждом отдельно взятом наблюдении была примерно одинакова и равномерна у метастазов разного возраста. У 3 (60 %) больных метастазы рака молочной железы локализовались в лобной, теменной и затылочной долях мозга, у 2 (40 %) – в мозжечке.
ЗНАЧЕНИЕ МРТ ДЛЯ МОДЕЛИРОВАНИЯ ТАКТИКИ НЕЙРОХИРУРГИЧЕСКОГО ЛЕЧЕНИЯ ЦЕРЕБРАЛЬНЫХ МЕТАСТАЗОВ
Нейрохирургические вмешательства выполнены у 120 (77,9%) больных. Повторно оперированы 15 (9,7%) больных, 3 (0,2%) больных оперированы 3-4 раза. Диагностика с использованием МРТ с внутривенным усилением и КТ позволили точно определиться с тактикой лечения, последовательностью и объемом хирургического вмешательства. Последовательное удаление первичного внемозгового опухолевого очага, удаление метастаза – 85 (74,5%). Одномоментное (симультанное) удаление первичного опухолевого очага и церебрального метастаза – 12 (10,5%). Нейрохирургические вмешательства были распределены: костно-пластическая трепанация черепа (КПТЧ) и удаление метастаза – 97, КПТЧ и РЧА термоабляция- 5, стереотаксическая биопсия метастаза – 12, КТЧП и удаление метастаза с использованием нейронавигации – 6. В большинстве случаев (85 больных-74,5%) операция заключалась в последовательном удалении первичного опухолевого узла и церебрального метастаза. Операции по поводу удаления первичной опухоли обязательно сопровождались широкой лимфаденэктомией. Крупные одиночные (64 больных- 41,6%) и множественные – два-три расположенные рядом (21больной -13,6%) церебральные метастазы удалялись одномоментно. Средняя выживаемость среди пациентов, подвергшихся нейрохирургическому лечению, значительно варьирует из-за преобладания разных типов опухолей в разных сериях и в среднем составляет 8-9 месяцев. Летальность в течение 30 дней после операции достигает 8,4%.
Успехи современной медицины позволили у 12 (10,5%) больных при одномоментном выявлении первичного опухолевого узла и церебрального метастаза предложить вариант их симультанного удаления. В 3 случаях проводили пневмонэктомию и удаляли церебральный метастаз, у 2 больных удалялись пораженная раком почка и церебральный метастаз, у 1 больного была проведена резекция мочевого пузыря и удаление его метастаза из мозжечка. С 2006 г. в ряде случаев при труднодоступной для операции локализации опухоли, а также невозможности радикального удаления метастатического новообразования нейрохирургические вмешательства моделировались с использованием стереотактические технологии. Использованы две технологии: классический стереотаксис с использованием стереотаксических аппаратов и стереотаксис без применения стереотаксических рам – безрамный стереотаксис или нейронавигация.
Данная тактика привела к увеличению числа тотального удаления опухолей с 63% без навигации до 73% с использованием нейронавигации. С улучшением выписаны 85% больных, оперированных с помощью нейронавигационной системы в отличие от 75% оперированных без нейронавигационной системы.
Применение нейронавигации позволило уменьшить инвазивность хирургического лечения, оптимизировать хирургический доступ, уменьшить риск повреждения функционально нагруженных зон. При нейронавигации с использованием МРТ отмечен достаточно быстрый регресс неврологических расстройств, что позволяло в ближайший послеоперационный период активизировать больного и начать проводить коррекцию неврологических проявлений.
Через 6 месяцев после операции летальных случаев не было. 32 (20,8%) больных умерло в течение 10 месяцев после операции из-за продолженного внемозгового метастазирования. Прослежено 15 (15,4%) больных в позднем периоде, после операции, выполненной по данной методике, рецидива метастазов у них не было. Радикальное хирургическое удаление церебрального метастаза привело к улучшению неврологического статуса у 108 (90%) больных.
Рецидивный или продолженный рост церебрального метастаза после удаления традиционным нейрохирургическим способом отмечен у 6 (5%) больных. У 9 (7,5%) больных отмечено метастазирование в другие зоны мозга.
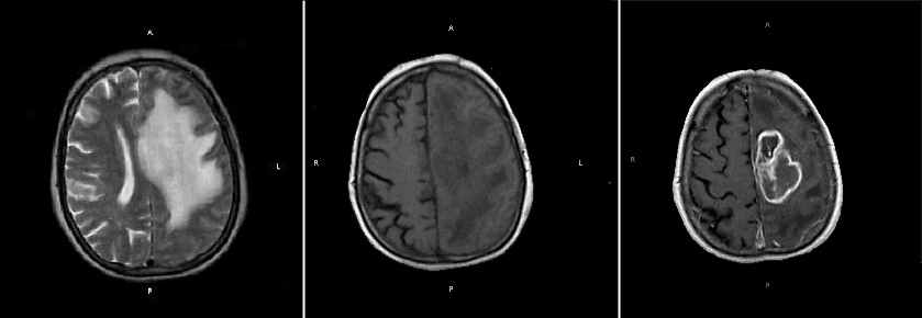
Следует отметить, что рецидив церебрального метастаза отмечается при наличии следующих признаков: округлой формы очаг, четко отграниченный от окружающих мозговых структур, активно накапливающий контрастное вещество на МРТ или КТ, с выраженным перифокальным отеком; при множественном поражении очаги могут иметь различную плотность (на КТ), интенсивность сигнала (на МРТ) и степень накопления контрастного вещества. Контрастирование позволяет улучшить визуализацию метастазов. Они определяются, даже если на нативных срезах не вибны. Типично активное накопление контрастного вещества – в виде недостаточно однородного периферического кольца, отражающее структуру новообразования (Рис.8).

а б в
Рис.8 МРТ- аксиальные проекции метастаза рака молочной железы в левую теменную долю. а – Т2ВИ, б - Т1ВИ, в – Т1ВИ с контрастированием.
Некоторые первичные и метастатические опухоли, изоденсивные и не накапливающие контраст при КТ, хорошо видны на МРТ, особенно при использовании специальных контрастных препаратов (магневист, омнискан и др.). На МРТ с наличием ангио- и 3D-программ возможно проведение неинвазивной церебральной ангиографии без введения контрастного препарата, а с внутривенным контрастированием можно уточнить соотношение сосудов и опухоли.
ВЫВОДЫ
1. Наиболее частым источником метастазов в головной мозг являются опухоли органов дыхания- 42,8%. Церебральные метастазы меланомы встречаются в 11% случаев. Метастазы опухолей мочеполовой системы определяются несколько реже - 9% случаев. Метастазы опухолей ЖКТ встречаются в 6,5% случаев. Чаще всего метастазы определяются в теменных, лобных и височных долях, реже- в мозжечке и в базальных ядрах. Как правило, метастазы локализуются на границе белого и серого вещества. Основная область метастазирования находится в зоне кровоснабжения средней мозговой артерии.
2. Диагностика церебральных метастазов обеспечивается современными методами исследования: МРТ, МРА, КТ, цифровая полипозиционная ангиография, радионуклеидная диагностика. При этом чувствительность КТ по отношению к метастазам рака в головной мозг – 41,9%, специфичность – от 52,8 до 65%, а точность диагностики – до 66,7%. Чувствительность МРТ варьирует от 93,2 до 100%, специфичность – от 75,1 до 89,9%, точность составляет 91,7%
3.К общим симптомам церебральных метастазов при МРТ относится: пальцевидный или диффузный перифокальный отек, вызывающий дислокацию структур мозга; преобладание малых и средних размеров опухоли; шаровидная или овальная форма узлов; преобладание множественного характера метастазирования; лобно-теменно-височной локализации процесса; отчетливое накопление контрастного вещества по периферии метастаза.
4. Специфическими особенностями у мелкоклеточного рака легкого являются отсутствие или незначительность зоны отека вещества мозга и “масс-эффекта”; у плоскоклеточного рака легких метастазы отмечаются в виде гетерогенных кольцевидных образований с неравномерным, “слоистым” ободком; у низкодифференцированного рака легких в виде слабо- и среднеинтенсивных образований, окруженных зоной средне- и высокоинтенсивного отека; у аденокарциномы легкого как гетерогенные, неправильной округлой формы узлы со слабогипоинтенсивным сигналом. Метастазы меланомы характеризуются нетипичным проявлением МР-сигналов в Т2 и в Т1 ВИ: яркий сигнал в Т1 ВИ и низкий, а зачастую и “черный” сигнал в Т2 ВИ. Метастазы рака почки визуализируются в виде неоднородных образований со слабогиперинтенсивным и фрагментарным гипоинтенсивным ободком, определяемый вне зависимости от размеров метастазов и с незначительной зоной перифокального отёка. Метастазы рака ЖКТ имеют кистозную форму и значительную зону отека вещества мозга (пальцевидной формы) и выраженный «масс-эффект».
5.МРТ представляет собой эффективный метод нейровизуализации позволяющий определить характер церебральных метастазов и, используя современные компьютерные технологии, моделировать объем и характер нейрохирургических операций, осуществлять планирование траектории доступа и, интраопеационный контроль манипуляций хирурга. МРТ применяется для оценки анатомо-топографических особенностей головного мозга при выполнении нейрохирургических вмешательств под контролем нейронавигации.
ПРАКТИЧЕСКИЕ РЕКОМЕНДАЦИИ
1. МРТ следует применять при подозрении на церебральный метастаз с обязательным контрастированием, в Т2 и Т1 ВИ в трех взаимноперпендикулярных плоскостях.
2. При установлении диагноза церебрального метастаза проводят комплексное обследование для уточнения распространенности процесса: сцинтиграцию костей скелета, ультразвуковое исследование всех органов, ФГС, ФКС, ФБС, рентгенографию и КТ органов грудной клетки и брюшной полости, анализы крови на онкомаркеры.
3. С результатами исследования пациент направляется к нейрохирургу для решения вопроса об оперативном лечении, либо по согласованию с онкологами и радиологами на проведение химио- и лучевой терапии.
Алгоритм обследования
Алгоритм обследования больных с подозрением на метастатическое поражение головного мозга предусматривает следующее:
1. Консультацию и осмотр врачом-нейрохирургом.
2. При подозрении на церебральный метастаз проводится стандартное МРТ-исследование, включающее в себя последовательное получение Т1 ВИ в сагиттальной плоскости с целью определения анатомо-топографических особенностей и задание параметров дальнейшего исследования. Затем выполняется программа аксиальных Т2 ВИ, по окончании которой можно определить наличие патологических образований головного мозга. При подозрении на неопластический процесс проводится дополнительное исследование с внутривенным введением КВ в Т1 ВИ в сагиттальной, аксиальной и коронарной плоскостях, либо исследование может быть дополнено изображениями, выполненными в других плоскостях.
3. При обнаружении церебрального метастаза необходимо обследование пациента с целью обнаружения у него первичной опухоли узла (проведение специальных дополнительных методов исследования).
4. С подтвержденными результатами исследования пациент направляется на консультацию к нейрохирургу для решения вопроса о проведении операции, либо по согласованию с онкологами о проведении химио- и лучевой терапии.
5. Затем проводится динамический МРТ-контроль через каждые три месяца с внутривенным контрастным усилением.
ПУБЛИКАЦИИ ПО ТЕМЕ ДИССЕРТАЦИИ
- Сидоренко В.В., Гизатуллин Ш.Х. Современные диагностические возможности при метастазах злокачественных новообразований в головной мозг // Комбинированная и сочетанная патология: проблемы диагностики и лечения // Материалы науч.-практ. конференции. - М.: ГВКГ им. Н.Н. Бурденко, 2003. - С. 353, 354.
- Cидоренко В.В., Гизатуллин Ш.Х., Троян В.Н., Карусинов П.С., Бессонов О.Н., Курбанов С.И., Смородский С.Г. Специфичность диагностических признаков солитарных метастазов злокачественных опухолей в головном мозгу // Актуальные проблемы клинической онкологии // Материалы науч.-практ. конференции. - М.: ГВКГ им. Н.Н. Бурденко, 2005. - С. 68, 69.
- Щиголев Ю.С., Гизатуллин Ш.Х., Красиков К.Н., Чернов В.Е., Сидоренко В.В., Сычев В.А. Трудности дифференциальной диагностики неврологических проявлений ВИЧ-инфекции и опухолей головного мозга // Актуальные проблемы клинической онкологии // Материалы науч.-практ. конференции. - М.: ГВКГ им. Н.Н. Бурденко, 2005. - С. 98-104.
- Щиголев Ю.С., Гизатуллин Ш.Х., Сидоренко В.В. Гигантская хордома редкой локализации в хиазмально-селлярной области // Сложные и редкие формы злокачественных новообразований различной локализации. - М.: ГВКГ им. Н.Н. Бурденко, 2005. - С. 7-10.
- Курбанов С.И., Гизатуллин Ш.Х., Троян В.Н., Сидоренко В.В., Смородский С.Г. Диагностика и лечение эпендимом конечной нити и конуса спинного мозга // Актуальные проблемы клинической онкологии // Материалы науч.-практ. конференции. - М.: ГВКГ им. Н.Н. Бурденко, 2005. - С. 108, 109.
- Щиголев Ю.С., Гизатуллин Ш.Х., Сидоренко В.В., Смородский С.Г. Метастатические опухоли головного мозга // Воен.-мед. журнал. – 2006. – N 6. - С. 30-34.
- Сидоренко В.В., Гизатуллин Ш.Х., Карусинов П.С., Троян В.Н., Смолин А.В. Современный алгоритм диагностики солитарных метастазов злокачественных опухолей в головной мозг // Современные алгоритмы диагностики и стандарты лечения в клинической медицине: Материалы научн.практ. конф. – М.: ГВКГ им. Н.Н.Бурденко, 2008. – С.367-368.
- Щиголев Ю.С., Маряшев С.А., Гизатуллин Ш.Х., Сериков В.М., Чернов В.Е., Красиков К.Н., Цехановский Г.Б., Журавлев А.П., Курбанов С.И., Богданов-Гайдуков В.В., Сидоренко В.В., Тищенко М.Н. Стереотаксический забор биопсий у больных с объемными новообразованиями глубинных локализаций и в функционально значимых зонах головного мозга с использованием стереотаксического аппарата Leibinger ZD // Нейрохирургия. – 2008. - №4. – С. 45-51.
- Щиголев Ю.С., Гизатуллин Ш.Х., Маряшев С.А., Сериков В.М., Чернов В.Е., Красиков К.Н., Цехановский Г.Б., Журавлев А.П., Курбанов С.И., Богданов-Гайдуков В.В., Сидоренко В.В., Тищенко М.Н. Опыт проведения стеретаксических биопсий у больных с новообразованиями супратенториальной локализации // Воен.-мед. журнал. – 2009. – N 1. - С. 48-53.
