Разработка трансдермальных лекарственных форм флаволигнанов 14. 04. 01 «Технология получения лекарств»
| Вид материала | Автореферат |
- Курсовая работа по технологии лекарств тема: «Промышленное и серийное производство, 335.05kb.
- Курсовая работа по технологии лекарств тема: «Законодательные основы нормирования производства, 628.18kb.
- Теоретические и экспериментальные аспекты создания лекарственных средств на основе, 1006.1kb.
- Положение о лицензировании производства лекарственных средств проходит общественную, 36.89kb.
- Исследование организационно-правовых особенностей и разработка путей оптимизации обеспечения, 305.97kb.
- «технология литейного производства», 45.75kb.
- Доклад оценка эффективности использования лекарственных препаратов растительного происхождения, 202.74kb.
- Методические указания по проведению лекций и семинарско-практических занятий дисциплина, 919.56kb.
- Разработка методов получения сложных эфиров диоксановых спиртов из отходов производства, 308.83kb.
- Е. В. Латышева разработка и технология производства, 1298.9kb.
На правах рукописи
Мориной Екатерины Александровны
Разработка трансдермальных лекарственных форм флаволигнанов
14.04.01 – «Технология получения лекарств»
АВТОРЕФЕРАТ
диссертации
на соискание ученой степени
кандидата фармацевтических наук
Москва
2010
Работа выполнена во Всероссийском научно-исследовательском институте лекарственных и ароматических растений (ВИЛАР) РАСХН
Научный руководитель:
доктор биологических наук,
профессор Луценко Сергей Викторович
Официальные оппоненты:
доктор фармацевтических наук,
профессор Краснюк Иван Иванович
кандидат фармацевтических наук,
доцент Суслина Светлана Николаевна
Ведущая организация: ГОУ ВПО «Воронежский государственный университет», г. Воронеж.
Защита состоится «13» декабря 2010 г. в 14 ч 00 мин на заседании диссертационного совета Д 006.070.01 при Всероссийском научно-исследовательском институте лекарственных и ароматических растений (ВИЛАР) РАСХН (117216, г. Москва, ул. Грина, 7) по адресу: 123056, г. Москва, ул. Красина, 2.
С диссертацией можно ознакомиться в библиотеке Всероссийского научно-исследовательского института лекарственных и ароматических растений по адресу: 117216, г. Москва, ул. Грина, 7.
Автореферат разослан «___»_______________2010 г.
У
ченый секретарь диссертационного советадоктор фармацевтических наук Громакова Алла Ивановна
ОБЩАЯ ХАРАКТЕРИСТИКА РАБОТЫ
Актуальность темы.
В современных условиях, вследствие постоянной подверженности организма человека неблагоприятным воздействиям окружающей среды, несбалансированного питания и различным стрессовым факторам, одной из причин развития патологий является оксидативный стресс. Он развивается в результате несоответствия прооксидантных и антиоксидантных ресурсов клеток организма, и, как следствие, накопления в них свободных радикалов. Обезвреживание большинства токсических веществ и свободных радикалов посредством их превращения в малотоксичные метаболиты происходит, главным образом, в печени. Однако часто от повреждающего действия обезвреживаемых печенью веществ страдает и собственная антирадикальная защита этого органа (Подымова, 2005). Это приводит к снижению активности метаболических процессов, протекающих в печени, и, как следствие, нарушению ее функций. Поэтому поиск и разработка новых препаратов, направленных на усиление антирадикальной защиты организма является в настоящее время актуальной задачей.
Известно, что высоким потенциалом антирадикальной защиты организма и, в частности, печени, обладают производные природных полифенольных соединений – флаволигнаны. Наиболее изученными и хорошо зарекомендовавшими себя в клинической практике являются флаволигнаны растения из семейства розоцветных расторопши пятнистой (Сокольская, 2000, Цаприлова, 2008, Corchete, 2008). Сумма флаволигнанов из расторопши пятнистой (силимарин) и ее индивидуальные компоненты обладают высокой антиоксидантной активностью и на сегодняшний день применяются в качестве эффективных гепатопротекторных средств. Изучены и многие другие положительные эффекты флаволигнанов на организм, в частности противовоспалительный, гипохолестеролэмический, кардиопротективный, нефропротективный, детоксикационый, антиангиогенный и др. (Луценко, 2006, Самигуллина, 2002).
Однако полностью раскрыть высокий терапевтический потенциал флаволигнанов из Расторопши пятнистой не позволяет их низкая растворимость в биологических жидкостях, следствием которой являются низкая биодоступность и невозможность применения их в инъекционных лекарственных формах. В связи с этим разработка новых лекарственных форм и путей введения флаволигнанов, обеспечивающих эффективность их действия в организме представляется актуальной задачей.
В последние годы возможности применения многих лекарственных препаратов для лечения и профилактики различных заболеваний значительно расширились благодаря разработке новых форм и способов введения лекарственных веществ. Наиболее перспективными на сегодняшний день являются лекарственные формы, повышающие качество жизни пациента за счет удобства применения необходимых ему препаратов. За счет использования современных технологических приемов, материалов и рационального подбора составов новые лекарственные формы способны обеспечивать контролируемое, прогнозируемое высвобождение действующих веществ и высокую эффективность терапии (Граник, 2001, Харкевич, 2005).
Одной из наиболее динамично развивающихся областей в сфере создания таких препаратов является разработка трансдермальных терапевтических систем (ТТС). ТТС представляют собой альтернативный (иногда аналогичный внутривенному введению) способ введения лекарственных веществ, традиционные пути введения которых являются неэффективными из-за низкой биодоступности действующего вещества, его нестабильности в желудочно-кишечном тракте, узкого терапевтического коридора или короткого периода полувыведения. Именно благодаря этим качествам ТТС могут стать перспективными лекарственными формами флаволигнанов.
В настоящее время на российском фармацевтическом рынке представлен небольшой ассортимент трансдермальных терапевтических систем, отсутствуют ТТС с лекарственными веществами, обладающими антиоксидантными и гепатопротекторными свойствами, регулярное и дозированное поступление которых в организм человека может обеспечивать профилактику и лечение многих заболеваний. В связи с вышеизложенным задача разработки новых отечественных ТТС с флаволигнанами является актуальной.
Цель и задачи работы. Целью настоящей работы явилась разработка и экспериментальное исследование различных систем для трансдермальной доставки суммы флаволигнанов расторопши пятнистой силимарина (СМ) и его индивидуального компонента силикристина (СК).
Основные задачи работы:
- Разработать составы и технологию получения трансдермальных лекарственных форм суммы флаволигнанов расторопши пятнистой силимарина и ее индивидуального компонента силикристина.
- Разработать методики оценки высвобождения флаволигнанов из трансдермальных систем in vitro и in vivo.
- Исследовать in vitro функциональные свойства трансдермальных лекарственных форм флаволигнанов различной конструкции и подобрать их оптимальные составы.
- Изучить биологическую безопасность трансдермальных лекарственных форм флаволигнанов.
- Исследовать возможность и особенности трансдермального транспорта флаволигнанов в кровоток.
- Оценить антигепатотоксическую активность разработанных трансдермальных лекарственных форм флаволигнанов in vivo.
- Разработать проекты нормативной документации на трансдермальные лекарственные формы флаволигнанов: проект ФСП и лабораторный регламент.
Научная новизна работы. Впервые разработаны матриксные и резервуарные системы для трансдермальной доставки в организм суммы флаволигнанов расторопши пятнистой (силимарина) и ее индивидуального компонента силикристина.
Впервые созданы трансдермальные терапевтические системы с липосомными формами лекарственных веществ.
Разработаны методики изучения параметров высвобождения из трансдермальных систем in vitro и in vivo и изучены различные показатели высвобождения для разработанных трансдермальных систем.
Впервые показана возможность доставки флаволигнанов в кровоток посредством трансдермальных систем.
Продемонстрировано, что разработанные трансдермальные системы с флаволигнанами обладают терапевтической эффективностью и оказывают антигепатотоксический эффект.
Практическая значимость работы. Разработанные трансдермальные терапевтические системы с флаволигнанами расторопши пятнистой отличаются от существующих на сегодняшний день препаратов из Расторопши пятнистой инновационным способом введения действующих веществ. Высокие показатели высвобождения действующих веществ и терапевтическая эффективность трансдермальных систем с флаволигнанами позволяют рассматривать разработанные препараты в качестве перспективных источников поступления в организм мощных природных антиоксидантов-флаволигнанов как для профилактических целей, так и для терапии различных заболеваний.
Внедрение результатов исследования в практику. В соответствии с материалами диссертационной работы разработан проект ФСП на трансдермальную терапевтическую систему с липосомным силикристином и лабораторный регламент на производство трансдермальных терапевтических систем с липосомным силикристином № ЛР 04868244-04-2010.
Публикации. По материалам диссертационной работы опубликовано 5 печатных работ, в том числе 2 – в рецензируемых журналах ВАК.
Апробация работы. Результаты работы были доложены на XVI и XVII Российском национальном конгрессе «Человек и лекарство» (г. Москва, 2009-2010), на V Международном форуме «Интегративная медицина – 2010» (г. Москва, 2010).
Структура и объем диссертации. Диссертационная работа состоит из введения, материалов и методов, экспериментальной части, обсуждения результатов, выводов и списка литературы. Работа изложена на 108 страницах машинописного текста, содержит 30 рисунков и 8 таблиц. Список литературы включает 172 источника, из которых 99 – зарубежные.
ОСНОВНОЕ СОДЕРЖАНИЕ РАБОТЫ
Материалы и методы исследований
В качестве действующих веществ в работе использовали силимарин и силикристин (СМ и СК) и липосомные формы силимарина и силикристина, полученные в соответствии с лабораторным регламентом № ЛР 04868244-02-2010, в качестве стандартных образцов сравнения – силимарин (Sigma, США), силибинин (ChromaDex, США), силикристин (ChromaDex, США).
В качестве вспомогательных веществ в работе были использованы: ДМСО (ФС 42-2980-98), спирт этиловый ректификованный (медицинский) 96% (ГФ Х, ст. 631; ГОСТ 5962-67), вода очищенная (ФС 42-261927-97), фосфатный буфер с pH 7,0 (ГФ XI, вып.1, стр. 117), желатин – ГФ-ХII, ст.278, ГОСТ 23058-78, нипагин (ФС 42-1460-89), нипазол (ТУ 18-16-387-75).
В качестве вспомогательных и упаковочных материалов использовали целлофан (ГОСТ 7730—74), диализную мембрану из синтетически модифицированной целлюлозы (Sigma-Aldrich, США), повязку трехслойную самофиксирующуюся из нетканого материала ТУ 64-2-534-95 (ООО «Пальма», Москва), пленку Супрасорб F (Lohmann Rauscher, Германия), стерильную самоклеющуюся пленку 3L 38х41 см (Россия). Для упаковки ТТС использовали пакеты полиэтилен-целлофан ФС 42-2705-97).
Теоретические и экспериментальные исследования проводились согласно схеме, приведенной на рис.1.

Рис. 1. Схема проведения теоретических и экспериментальных исследований работы.
Подбор технологии получения ТТС различных типов осуществляли экспериментальным путем, оценивая органолептические, структурно-механические показатели систем, а также параметры высвобождения действующих веществ из полученных при различных технологических условиях образцов ТТС.
Высвобождение действующих веществ in vitro проводили методом равновесного диализа через полупроницаемую мембрану в специально подобранных условиях. Объем диализной жидкости составлял 10 мл. По истечении каждого часа диализный раствор полностью отбирали и заменяли свежим. В каждой порции отобранного диализного раствора фотометрически определяли концентрацию высвободившегося в него вещества.
Определение высвобождения действующих веществ in vivo проводили на крысах-самцах линии Wistar массой 200-220 г. Трансдермальные системы наклеивали на выбритую кожу крыс в абдоминальной зоне, герметизировали с помощью полиэтиленовой пленки и фиксировали с помощью тканевого пластыря. Время контакта ТТС с кожей крыс составляло 24 часа. По истечении времени контакта фотометрически определяли остаточные количества действующих веществ в системах.
Оценку качества полученных ТТС проводили по следующим показателям: описание, подлинность, размеры системы, масса системы, устойчивость на изгиб, термическая стабильность, органические растворители, потеря в массе при высушивании, %, количественное содержание действующих веществ, однородность дозирования, микробиологическая чистота, срок годности, маркировка.
Подтверждение наличия и оценку количественного содержания СМ и СК в плазме крови экспериментальных животных осуществляли методом ВЭЖХ. Содержание СМ в плазме крови крыс оценивали по содержанию силибинина (изомеров А и В).
Антигепатотоксическую активность полученных ТТС изучали на модели острого токсического гепатита у самок белых беспородных мышей массой 18-20 г, вызванного введением раствора четыреххлористого углерода (ССl4) в соответствии с Руководством по экспериментальному (докслиническому) изучению новых фармакологических веществ (Хабриев, 2005). По окончании эксперимента у животных производили забор крови и печени. В сыворотке крови определяли активности органоспецифических ферментов аланинаминотрансферазы (АлАТ), аспартатаминотрансферазы (АсАТ), щелочной фосфатазы (ЩФ) и концентрации общего билирубина (ОБ) при помощи диагностических тест-систем PLIVA-Lachema Diagnostica (Чехия). При изучении морфологии печени использовали макро- и микроскопический анализ, в ходе которых оценивали степень и характер поверхностного и внутреннего повреждения печени, изменение структуры печени в группах, наличие включений в гепатоцитах и др. Микроскопический анализ печени проводили при помощи микроскопа «Микромед-1» (х100, х400) после окраски парафиновых срезов, полученных на микротоме REICHERT (Австрия) гематоксилином и эозином.
Статистическую обработку результатов исследований проводили при помощи t-критерия Стьюдента и с использованием пакета прикладных программ MicroCAL Origin 7.5 Pro.
Результаты работы и их обсуждение
При разработке технологии матриксных ТТС на желатиновой основе в ходе экспериментальных исследований был подобран оптимальный состав основы ТТС (табл.1).
Таблица 1. Состав желатиновой основы матриксной ТТС на 100 г.
| Раствор желатина 10%, г | 59,9 |
| Глицерин, г | 5,0 |
| ДМСО, г | 10,0 |
| Спирт этиловый 70%, г | 25,0 |
| Нипагин, г | 0,033 |
| Нипазол, г | 0,014 |
В ходе исследования растворимости действующих веществ и их липосомных форм в различных растворителях установлено, что оптимальными носителями для действующих веществ при их введении в основу ТТС являются 80% этанол (для нативных СМ и СК) и вода очищенная (для липосомных форм СМ и СК).
Экспериментальным путем было установлено, что сушку ТТС на желатиновой основе следует осуществлять в течение 10 ч при 27,5°С. Остаточная влажность систем при данных параметрах сушки составляла 42,25%. При этой влажности достигались наиболее высокие показатели высвобождения (табл. 2).
Таблица 2. Количество липосомного и свободного СМ и СК, высвободившихся из желатиновых ТТС с различным содержанием влаги за 24 ч.
| Длительность сушки, ч | Влажность, % | Препарат | |||
| Липосомный силимарин, мг | Свободный силимарин, мг | Липосомный силикристин, мг | Свободный силикристин, мг | ||
| 8 | 47,25 | 9,48±0,12* | 0,59 ±0,09 | 11,28±0,23* | 0,69±0,05 |
| 9 | 44,50 | 9,45±0,26* | 0,54±0,04 | 11,26±0,17* | 0,68±0,04 |
| 10 | 42,25 | 9,33±0,20* | 0,51±0,07 | 11,14±0,21* | 0,67±0,06 |
| 11 | 36,50 | 9,31±0,19* | 0,46±0,06 | 10,73±0,11* | 0,63±0,06 |
| 12 | 30,75 | 9,28±0,31* | 0,41±0,07 | 10,42±0,16* | 0,59±0,07 |
| 13 | 23,25 | 9,28±0,20* | 0,40±0,03 | 10,16±0,33* | 0,57±0,05 |
| 14 | 18,25 | 9,27±0,13* | 0,40 ±0,06 | 10,03±0,14* | 0,54±0,04 |
* p<0,05 относительно соответствующих нелипосомных действующих веществ
При разработке технологии матриксных ТТС с флаволигнанами на основе полиакриламидного геля (ПААГ) учитывали тот факт, что введение связывающих свободные радикалы флавоноидов в реакционную смесь для получения полиакриламидного геля препятствует процессу полимеризации, протекающему по свободнорадикальному механизму. Поэтому при приготовлении ТТС на основе ПААГ сначала готовили гель-носитель и лишь затем проводили его насыщение растворами действующих веществ в ДМСО. Для предотвращения выпадения осадка действующих веществ во время последующего насыщения систем в 70% растворе ДМСО в качестве основы для приготовления полиакриламидного геля вместо воды использовали 50% раствор ДМСО.
После изготовления матриксных ТТС по вышеописанным технологиям производили дозирование, упаковку и маркировку ТТС.
Общая схема получаемых по разработанной технологии матриксных ТТС на желатиновой и ПААГ-основах представлены на рис. 2.

Рис. 2. Схема ТТС с флаволигнанами матриксного типа на желатиновой и ПААГ-основах.
Для приготовления резервуарных ТТС в форме диализных капсул с растворами действующих веществ готовили растворы СМ и СК в 50% ДМСО. Такое процентное содержание ДМСО обеспечивает высокую растворимость СМ и СК, а также позволяет действующим веществам свободно проникать через поры полимерной полупроницаемой мембраны.
Резервуары (капсулы) формировали из трубчатой полимерной мембраны, наполняли растворами действующих веществ и герметизировали с помощью специальных пластиковых клипс, после чего системы упаковывали. Схема резервуарных ТТС, получаемых по разработанной технологии представлена на рис. 3.

Рис. 3. Схема ТТС с флаволигнанами на основе полимерной диализной капсулы.
Технологические схемы приготовления матриксных ТТС на желатиновой основе и на основе полиакриламидного геля, а также ТТС-диализных капсул на основе полимерной полупроницаемой мембраны представлены на рис. 4 и 5 и соответственно.


а б
Рис 4. Технологические схемы приготовления ТТС со свободными (а) и липосомными (б) формами флаволигнанов на желатиновой основе.


а б
Рис. 5. Технологические схемы приготовления ТТС с флаволигнанами на основе ПААГ (а) и резервуарных ТТС с флаволигнанами на основе полимерной полупроницаемой мембраны (б).
Нормы качества разработанных ТТС приведены в табл. 3.
Таблица 3. Показатели качества ТТС.
| Показатель качества | Характеристика и норма | |||||||
| Желатиновые системы с нативными СМ и СК | Желатиновые системы с липосомными формами СМ и СК | ПААГ-системы | Резервуарные системы | |||||
| Описание | Полупрозрачная округлая трансдермальная терапевтическая система желтого (СК) или слегка коричневатого цвета (СМ) на прямоугольном белом адгезивном слое, покрытая прозрачной удаляемой защитной оболочкой. Запах слабый. | Полупрозрачная округлая трансдермальная терапевтическая система слегка желтоватого или кремового цвета на прямоугольном белом адгезивном слое, покрытая прозрачной удаляемой защитной оболочкой. Запах слабый. | Упругие прозрачные гели желтого цвета. Запах слабый, характерный для ДМСО. | Резервуары из полимерной мембраны, герметизированные пластиковыми клипсами, наполненные ярко-желтыми растворами действующих веществ. Запах – характерный для ДМСО. | ||||
| Подлинность | Спектр поглощения с λmax=300 нм, λmin=257 нм (СМ) и λmax=288 нм (СК), ИК-спектр, качественные реакции на флаволигнаны | |||||||
| Размеры | Диаметр 25±1,0 мм, толщина 4±0,5 мм | 13мм*25мм | ||||||
| Масса системы, г | 12±1,97 | вместе с клипсами - 10±0,52 | ||||||
| Устойчивость на изгиб | Системы не должны ломаться, рваться, растрескиваться при изгибе. | |||||||
| Термическая стабильность | Системы должны быть термически стабильными в течение 24 ч при 37°С | |||||||
| Органические растворители (ДМСО) | Не более 5% | Не более 5% | Не более 40% | Не более 52% | ||||
| Потеря в массе при высушивании, % | 42,25±3,05 | 42,25±3,05 | 62,55±3,27 | 87,50±4,85 | ||||
| Количественное содержание действующих веществ | 20±2 мг | |||||||
| Однородность дозирования | Отклонение в содержании действующих веществ в системах должно составлять не более 15% | |||||||
| Микробиологическая чистота | Соответствует категории 2 ГФ XII | Соответствует категории 2 ГФ XII | Соответствует категории 2 ГФ XII | Соответствует категории 2 ГФ XII | ||||
| Срок годности | 18 мес | 18 мес | 2 года | 2 года | ||||
| Маркировка | На индивидуальной упаковке указывают название препарата на русском языке, размеры ТТС, содержание СМ или СК, время аппликации, количество высвобождаемого действующего вещества за время аппликации, № серии, срок годности. | |||||||
П
ри исследовании высвобождения действующих веществ из in vitro через полупроницаемую мембрану было установлено, что высвобождение из ТТС различных типов имеет различный характер изменения с течением времени. Наиболее интенсивное высвобождение из диализных, ПААГ- и желатиновых систем со свободными веществами наблюдалось в первые часы эксперимента (рис. 6 а, б). Так, средняя скорость высвобождения СМ из диализной системы за первые 2 ч эксперимента составляла 508,5 нг/ч, СК – 586,0 нг/ч, в период с 3 по 4 ч эксперимента в среднем из полупроницаемых капсул высвобождалось 302,5 нг/ч СМ и 433,0 нг/ч СК. В последующие часы скорость высвобождения действующих веществ из ТТС снижалась и к 8-12 ч эксперимента достигала практически постоянного уровня. 
а
б
Рис. 6. Графики зависимости высвобождения силимарина (а) и силикристина (б) из исследуемых трансдермальных систем методом равновесного диализа через полупроницаемую мембрану. По оси абсцисс – время, ч. По оси ординат – количество вещества, высвобождающееся за 1 ч в 10 мл диализной среды.
Максимумы высвобождения СМ и СК из желатиновой и ПААГ-систем также приходились на первые 4 ч эксперимента, хотя и были ниже по абсолютным значениям, чем в случае диализной капсулы (рис. 6). Однако процесс высвобождения из этих систем происходил более равномерно; скорость выхода веществ из них снижалась постепенно, достигая постоянного уровня в желатиновой системе к 8 ч, а в ПААГ-системе – к 14 ч эксперимента (рис. 6).
Желатиновые системы с липосомными формами действующих веществ высвобождали максимальные количества СМ и СК на 4-5 ч эксперимента, а затем высвобождение постепенно снижалось.
В целом, результаты эксперимента наглядно показывают возможность прохождения СМ и СК из подобранных основ и способность разработанных систем обеспечивать стабильное высвобождение действующих веществ.
Суммарно за 24 ч эксперимента из желатиновых систем с липосомными формами СМ и СК высвобождалось 3,09 мг СМ и 3,11 мг СК что в 3,33 и 2,13 раза соответственно больше, чем из желатиновых систем и в 1,14 и 1,11 раза больше, чем из целлофановых капсул (рис. 7).
Таким образом, самые высокие показатели высвобождения наблюдались у ПААГ-систем и систем, с липосомными формами СМ и СК. Самые низкие показатели высвобождения наблюдались в желатиновых системах со свободными веществами, что, видимо, связано со сниженной диффузионной способностью свободных СМ и СК, а также с присутствием в составе желатина различных аминокислотных остатков, которые, возможно, могут вызывать неспецифическое связывание молекул вещества, препятствуя его выходу из системы.

Рис. 7. Суммарное высвобождение действующих веществ в диализную среду за 24 часа из различных типов систем.
При количественном исследовании высвобождения из различных типов систем in vivo фотометрическим методом было отмечено, что наиболее высокие показатели высвобождения отмечались при применении ПААГ-систем (рис. 8). По истечении 24 ч эксперимента из них высвободилось в среднем и 3,14 мг СМ и 1,10 мг СК. Целлофановые капсулы высвобождали в эксперименте в 1,2-1,5 раза меньшие количества действующих веществ чем ПААГ-системы (рис. 8). Вероятно, это обусловлено тем, что, выходя из такой системы в кожу, вещество должно преодолеть 2 полупроницаемых мембраны – собственную стенку целлофановой капсулы и кожный покров.
Самые низкие показатели высвобождения действующих веществ in vivo как и в эксперименте in vitro наблюдались у желатиновых систем со свободными веществами – 0,10 мг силимарина и 0,05 мг силикристина, что в и 31,4 и 22,1 раза ниже, чем из соответствующих ПААГ-систем (рис. 8).
Это явление можно объяснить менее высокой диффузионной способностью желатиновых систем, а также низким содержанием пенетраторов в таких системах. С другой стороны, пониженное содержание пенетраторов и наличие в составе желатиновых систем смягчающих компонентов позволяет им найти применение для людей, кожа которых склонна к раздражениям и аллергическим реакциям, для более мягкого воздействия и доставки действующих веществ в низких дозах.

Рис. 8. Высвобождение СМ и СК из различных типов ТТС in vivo при их аппликационном применении. По оси ординат – количество вещества, высвобождающееся в кожу за 24 ч.
В процентном отношении из каждой системы в кожу за 24 ч высвободилось 0,5, 4,2, 15,7 и 10,7 % силимарина и 0,25, 2,8, 5,52 и 3,8% силикристина от их исходного количества в желатиновых системах со свободным и липосомным веществом, ПААГ-системах и целлофановых капсулах, соответственно.
В целом, процент эффективно высвобождающегося вещества из ПААГ-систем и целлофановых капсул сопоставим по данным показателям с существующими на рынке трансдермальными системами (ВИДАЛЬ, 2009).
При ВЭЖХ-анализе плазмы крови экспериментальных животных на наличие в ней флаволигнанов время удерживания диастереоизомеров силибинина в выбранных условиях составило 15,99 мин (силибинин А) и 16,99 мин (силибинин В) (рис. 9 а). Время удерживания на колонке СК при заданных условиях хроматографирования составляло 4,96 мин (рис. 10 а).
Достоверно наличие действующих веществ в плазме крови было установлено в случае применения желатиновых систем с липосомными формами силимарина и силикрсистина ПААГ-систем и диализных капсул. Данные хроматографического разделения плазмы крови экспериментальных крыс, представлены на рис. 19 б и рис. 20 б. Пики на хроматрограммах образцов плазмы крови совпадали по времени удерживания с пиками стандартных образцов силибинина (изомеров А и В) и силикристина. Наличие силибинина и силикристина в собранных с колонки пиках подтверждалось также методом ТСХ. Коэффициенты распределения веществ в исследуемых пробах совпадали с коэффициентами распределения веществ в стандартных растворах (рис. 9 в, 10 в). Концентрация силибинина в плазме после нанесения ПААГ-систем составляла 43,03±5,22 нг/мл (силибинин А – 12,06±2,07 нг/мл, силибинин Б – 30,97±3,15 нг/мл), силикристина – 52,10±2,37 нг/мл. После нанесения трансдермальных систем на желатиновой основе с липосомными формами концентрации действующих веществ в плазме крови составляли соответственно: 37,42±4,17 нг/мл силибинина (силибинин А – 9,87±1,89 нг/мл, силибинин Б – 27,55±2,65 нг/мл), и 47,46±2,07 нг/мл силикристина. После нанесения диализных ТТС концентрация силибинина и силикристина в плазме составляла соответственно 25,41±2,14 нг/мл (силибинин А- 7,15±0,87 нг/мл, силибинин Б – 18,27±1,76 нг/мл) и 31,87 нг/мл.
Таким образом, разработанные трансдермальные системы с флаволигнанами матриксного и резервуарного типа обеспечивают возможность трансдермальной доставки флаволигнанов СМ и СК в кровоток и обеспечивают создание в крови концентраций действующих веществ, соответствующие уровню высвобождения действующих веществ из существующих на сегодняшний день на фармацевтическом рынке трансдермальных систем.
Разработанные трансдермальные системы являются перспективными формами доставки биологически активных веществ этого класса в кровоток с целью достижения профилактического и терапевтического эффекта в организме.

а

в
б
Рис. 9. Результаты хроматографического разделения стандартного образца силибинина (а), образца экстракта плазмы крови (б) с помощью ВЭЖХ на колонке Hypersyl C-18 в системе метанол:100 мМ натрия фосфат (23:27) и идентификация силибинина в элюатах, собранных с ВЭЖХ-колонки, с помощью ТСХ (неподвижная фаза – Sorbfil) (в). На схеме хроматограммы: 1 – стандартный образец силимарина в 96% спирте, 2 – перерастворенный в 96% спирте элюат с ВЭЖХ-колонки; Rf силибинина = 0,6.

а


в
б
Рис. 10. Результаты хроматографического разделения стандартного образца силикристина (а), образца экстракта плазмы крови (б) с помощью ВЭЖХ на колонке Hypersyl C-18 в системе циклогексан:ацетонитрил (6:4) и идентификация силикристина в элюатах, собранных с ВЭЖХ-колонки, с помощью ТСХ (неподвижная фаза – Sorbfil) (в). На схеме хроматограммы: 1 – стандартный образец силикристина в 96% спирте, 2 – перерастворенный в 96% спирте элюат с ВЭЖХ-колонки; Rf силикристина = 0,47.
В ходе исследования антигепатотоксической активности изучаемых ТТС было установлено, что введение токсиканта без последующего нанесения исследуемых препаратов привело к 20%-ной смертности среди экспериментальных животных. Аппликации ТТС повышали показатель выживаемости: в интактной и экспериментальных группах, получавших аппликации ТТС выживаемость составляла 100%.
Результаты биохимического исследования сыворотки крови экспериментальных животных представлены в табл 4.
Таблица 4. Значения основных биохимических показателей-маркеров токсического гепатита (АлАт, АсАТ, ЩФ и ОБ) у экспериментальных животных различных групп
| | АлАТ, мккат/л | АсАТ, мккат/л | ЩФ, мккат/л | ОБ, мкмоль/л | |
| Интактные | 0,79±0,06 | 0,88±0,06 | 1,11±0,07 | 8,84±1,21 | |
| Нелеченый гепатит | 1,4±0,20* | 1,12±0,09* | 2,61±0,09* | 56,4±3,03* | |
| Силимарин | Желатиновая система с липосомным веществом | 1,24±0,08 | 1,07±0,04 | 1,97±0,34** | 38,54±3,01** |
| ПААГ-система | 1,35±0,08 | 1,09±0,05 | 2,43±0,17 | 43,2±2,86** | |
| Диализная система | 1,36±0,02** | 1,12±0,06 | 2,53±0,05 | 48,07±1,19 | |
| Силикристин | Желатиновая система с липосомным веществом | 1,20±0,08 | 1,01±0,06** | 1,78±0,03** | 37,93±2,92 |
| ПААГ-система | 1,31±0,06 | 1,05±0,05 | 1,92±0,04** | 39,90±2,74** | |
| Диализная система | 1,34±0,16 | 1,05±0,08 | 2,42±0,21 | 43,30±4,01** | |
* p ≤ 0,05 относительно интактной группы
** р ≤ 0,05 относительно группы с нелеченым гепатитом
Как видно из табл. 4, применение исследуемых ТТС приводит к заметному снижению уровня основных маркеров токсического гепатита, причем наиболее выраженное снижение этих показателей наблюдается в группах, подвергавшихся после введения токсиканта накожному нанесению желатиновых ТТС с липосомными формами СМ и СК.
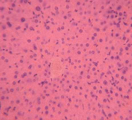
Патоморфологическое исследование печени животных групп, подвергавшихся после введения токсиканта накожному нанесению трансдермальных систем с СМ и СК, свидетельствовало о снижении токсического эффекта ССl4 под воздействием исследуемых ТТС (рис. 11). Так, в группе, не получавшей лечения после введения токсиканта, наблюдалось сильное патологическое расширение сосудов, фибротические изменения структуры печеночных долек, значительная внутри- и междольковая лейкоцитарная инфильтрация, ядерные изменения гепатоцитов (рис.11 б).
При применении матриксных ТСС с липосомными формами СМ и СК на желатиновой основе наблюдалось заметное восстановление структуры печени (рис. 11 в). На препаратах печени животных этих групп, практически отсутствовало нарушение структуры печени, а также цитоплазматические и ядерные изменения гепатоцитов. Отмечалась лишь слабо выраженная лейкоцитарная инфильтрация долек. Таким образом, структура печени животных этих групп более других имела сходство с интактной печенью (рис. 11 а).



а б в


г д
Рис. 11. Микрофотографии парафиновых срезов печени интакных мышей (а) и мышей с экспериментальным токсических гепатитом (б, в, г): б – гепатит в отсутствие лечения; в – накожные аппликации ТТС с липосомными формами СМ и СК на желатиновой основе; г – накожные аппликации ПААГ-систем с СМ и СК; д – накожные аппликации диализных ТТС с растворами СМ и СК.
Аппликации ПААГ-систем с СМ и СК после введения токсиканта (рис. 11 г) также оказывали положительный на структуру печени, однако этот эффект был менее выражен, чем в случае применения желатиновых ТТС с липосомными СМ и СК..
Диализные ТТС с СМ и СК проявляли в эксперименте менее выраженный антигепатотоксический эффект относительно других типов систем, однако на гистологических срезах печени животных этой группы отмечалась значительная положительная динамика восстановления печени в отличие от печени животных с нелеченным гепатитом (рис. 11 д).
Таким образом, в эксперименте in vivo на модели острого токсического гепатита показано, что все исследуемые ТТС с СМ и СК оказывают заметный терапевтический эффект.
Выводы
- Разработаны технологии получения терапевтических систем для трансдермального транспорта флаволигнанов силимарина (суммы флаволигнанов расторопши пятнистой), силикристина и их липосомных форм.
- Впервые получены трансдермальные терапевтические системы с флаволигнанами матриксного типа на желатиновой и полиакриламидной основе и резервуарного типа с использованием пористого полимерного материала. Установлена биологическая безопасность полученных систем.
- Разработаны показатели качества для полученных трансдермальных форм флаволигнанов, а также методики количественной оценки высвобождения флаволигнанов из трансдермальных систем in vitro и in vivo.
- В экспериментах in vitro показана возможность применения полученных трансдермальных систем для стабильного высвобождения флаволигнанов в течение 24 ч.
- В экспериментах in vivo показано, что флаволигнаны высвобождаются из всех исследуемых трансдермальных систем в кожу.
- Установлено, что при применении матриксных трансдермальных систем на полиакриламидной основе, матриксных систем на желатиновой основе с липосомными формами флаволигнанов и резервуарных систем флаволигнаны попадают в кровоток в дозах, способных обеспечивать их терапевтический эффект.
- Показано, что все полученные трансдермальные системы проявляют антигепатотоксическую активность in vivo. Наибольшей активностью обладали матриксные желатиновые системы с липосомными формами флаволигнанов и полиакриламидные системы.
- Полученные лекарственные формы могут быть использованы для чрескожного транспорта флаволигнанов в кровоток в профилактических и терапевтических целях.
Список опубликованных работ
- Друзь Е.А. (Морина Е.А.), Кашникова Т.В., Ледешкова О.Н., Лужнов Н.Д., Луценко С.В., Фельдман Н.Б., Луценко С.В., Быков В.А. Применение липосомных форм растительных флаволигнанов в трансдермальных системах // Сборник материалов конгресса – XVII Российский национальный конгресс «Человек и лекарство», Москва, 6-10 апреля 2009 г. – М. ЗАО РИЦ «Человек и лекарство», 2009. – С. 651
- Луценко Е.В., Друзь Е.А. (Морина Е.А.), Кашникова Т.В., Лужнов Н.Д., Фельдман Н.Б., Луценко С.В., Быков В.А. Трансдермальные системы доставки липосомных форм растительных флаволигнанов // Вопросы биологической, медицинской и фармацевтической химии. – 2008. – №6. – С. 42-46.
- Друзь Е.А. (Морина Е.А.), Фельдман Н.Б., Луценко С.В. Трансдермальные терапевтические системы с растительными биофлавоноидами. Сборник материалов конгресса – XVII Российский национальный конгресс «Человек и лекарство», Москва, 12-16 апреля 2010 г. – М. ЗАО РИЦ «Человек и лекарство». – 2010. – С. 608.
- Друзь Е.А. (Морина Е.А.), Александрова Т.В., Лужнов Н.Д., Луценко Е.В., Быков В.А. Разработка систем трансдермальной доставки биофлавоноидов рутина и силимарина // Вопросы биологической, медицинской и фармацевтической химии. – 2010. – №5. – С. 46-50.
- Друзь Е.А. (Морина Е.А.), Лужнов Н.Д., Фельдман Н.Б., Луценко С.В. Инновационная система для трансдермальной доставки природных антиоксидантов. Сборник тезисов научных докладов – V Международный форум «Интегративная медицина – 2010», г. Москва, 18-20 июня 2010 г. – М.: ООО «НИПКЦ Восход-А», 2010. – С.169.
