Авторефераты по всем темам >>
Авторефераты по ветеринарии
Клинико-гематологические показатели и морфологическая характеристика внутренних органов кур разных кроссов, получавших низкоэнергетические кормосмеси в промышленных условиях
Автореферат докторской диссертации по ветеринарии
|
Страницы: | 1 | 2 | 3 | |
3.1.2.Гистологические, гистохимические, морфометрические исследования желудка, двенадцатиперстной кишки, печени, селезенки кур контрольной и опытной групп 20-,40-,60-недельного возраста
На основании результатов проведенных исследований нами установлено, что у кур 20-недельного возраста, а также контрольной группы 40 и 60-недельного возраста кросса Омский белый аутосексный, получавших кормосмесь с ОЭ 2800 ккал/кг в желудке, двенадцатиперстной кишке, печени и селезенке патоморфологических изменений не регистрировалось, но к 60-недельному возрасту в железистом отделе желудка количество лимфоидной ткани увеличивается, что связано са возрастом кур.а
Морфометрические исследования железистого отдела желудка кур 20-недельного возраста выявили, что толщина собственной пластинки 365.9354.11мкм, мышечной пластинки 124.6616.72мкм, мышечной оболочки 379.220.08мкм, подслизистой основы 249465.9мкм, серозной оболочки 8815.00 мкм. Толщина стенки двенадцатиперстной кишки 1590.0346.91мкм, слизистой оболочки 1440.6030.45мкм, мышечной и серозной оболочек 149.412.91 мкм. ЯЦО гепатоцитова печени кур данного возрастного периода 0.300.01мкм.
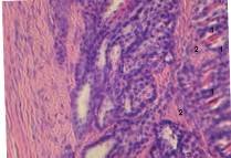
Через 20 недель экспериментального опыта в железистом отделе желудка кур в опытной группе выявлялась на отдельных участках атрофия простых трубчатых желез (рис.2) и дистрофия эпителиоцитов сложных желез, которая сопровождалась уменьшением количества гликозаминогликанов и гликопротеидов на участках с атрофией простых трубчатых желез. В составе секрета и в эпителиоцитах средней трети простых трубчатых желез на других участках интенсивность окраски увеличивалась, поэтому считаем, что гликозаминогликанов и гликопротеидов большое количество. Белка содержится много в цитоплазме эпителиоцитов сложных желез. Толщина собственной пластинки, мышечной пластинки органа, мышечной оболочки уменьшилась на 2.25%, 5.27% и 0.96%, а подслизистой основы увеличилась на 9.5%. Морфометрические показатели серозной оболочки не изменились.
К 60-недельному возрасту, атрофияа простых трубчатых желез на отдельных участках в данном органе сохранялась. Эти изменения развивались на фоне застойной гиперемии в мелких венах, находящихся между пакетами сложных желез. На этих участках гликозаминогликаны находились в незначительном количестве либо отсутствовали. Во всех структурах стенки органа гликоген не выявлялся, а количество гликопротеидов в эпителии и секрете простых трубчатых желез было значительным. Кислые белки в большом количестве выявлялись в мышечной оболочке органа. Снижение калорийности кормосмесей на 400 ккал/кг приводило к уменьшению в эпителии простых трубчатых желез не только количества РНК, но уменьшалось и количество периартериальной жировой ткани в железистом отделе желудка. Морфометрические исследования выявили уменьшение толщины собственной пластинки органа, мышечной пластинки, мышечной оболочки уменьшилась на 3.71%, 2.57% и 7.41% соответственно, но толщина подслизистой основы увеличилась на 24.12%, а серозной - осталась без изменений.
При исследовании мускульного отдела желудка кур исследуемых кроссов в межжелезистой соединительной ткани собственной пластинки слизистой оболочки, наа уровне доннойа частиа простыха трубчатых желез, выявлены пучки гладких миоцитов и эластических волокон, что является особенностью этого отдела желудка (рис.3).
У кур 40-недельного возраста опытной группы в мускульном отделе желудка выявлялось наполнение лимфатических сосудов и отек стромы. Количество гликогена в мышечной оболочке органа меньше, чем в контроле. Кислых белков много, что объясняется застойными явлениями. В цитоплазме эпителиоцитов РНК содержится меньше, на что указывало менее выраженная интенсивность окраски. Вокруг кровеносных сосудов и в подслизистой основе слизистой оболочки выявлялись липиды.
После 40 недель скармливания низкокалорийных кормосмесей в данном органе у кур 60-недельного возрасты опытной группы отмечался отек (рис.4), изменение однородности стромы и нарушение структуры кутикулы. ШИК - позитивных веществ в строме слизистой оболочки мало. Кислых белков в кутикуле больше, по сравнению с контрольной группой. В эпителии верхней трети желез слизистой оболочки отмечалось уменьшение ДНК, а в донной части желез её количество увеличивалось. В эпителии дна желез и на слизистой оболочке количество РНК повышено. Жирные кислоты обнаруживались размытыми полосками и располагались параллельно к слизистой оболочке.
У кур 40-недельного возраста, получавших кормосмесь с ОЭ 2400 ккал/кг и 23.61% пшеничных отрубей, в стенке двенадцатиперстной кишки отмечался серозный катар, который сопровождался незначительной десквамацией эпителиоцитов верхушек ворсинок. Кислые белки выявлялись в мышечной пластинке. Количество ШИК - позитивных веществ в эпителии крипт и ворсинок увеличивалось. Количество нейтрального жира в серозной оболочке и между пучками продольного слоя мышечной оболочки, вокруг артериальных сосудов, уменьшался. Жирных кислот больше в толстых ворсинках адвенадцатиперстной кишки. В данном возрастном периоде в обоих опытах стенка двенадцатиперстной кишки увеличилась на 5.92%, по сравнению са показателем контроля. Толщина слизистой оболочки увеличилась на 5.65%, а мышечной и серозной оболочек - на 1.81%. Через 40 недельа опыта у кур, получавших кормосмесь с ОЭ 2400 ккал/кг и 23.61% содержанием пшеничных отрубей, в двенадцатиперстной кишке отмечался слизистый катар. Количество ШИК - позитивных веществ увеличивалось. В строме собственной пластинки слизистой оболочки количество основных белков понижено, при повышенном количестве кислых белков. Количество РНК в апикальной части аэпителиоцитов аворсинок и в ядрышках увеличивалась. Толщина стенки органа, слизистой оболочки, мышечной и серозной оболочек в данном возрастном периоде в опытной группе увеличилась на 0.33%, 0.8%,13.18%, соответственно показателей контроля.
Снижение калорийности корма увеличивало его потребление. В опытной группе потребление курами данного кросса корма увеличилось на 16.43% и равнялось 124 г (в контроле - 106.5 г), что повлекло за собой не только изменение толщины слизистой, мышечной и серозной оболочек двенадцатиперстной кишки, но и увеличение подслизистой основы железистого отдела желудка и относятся эти изменения к функциональным. Следует отметить, что увеличивалась не только толщина стенки органа, но и длина кишечника. Длина кишечника в 60-недельном возрасте кур контрольной группы 159.33.43см, в опытной - 1612.81см и была на 1.06 % больше, чем в контроле. Показатели относительной массы кишечника контрольной группы 7.6%, а в опытной - аона увеличилась на 0.5%.
Через 20 недель опыта в печени кур 40-недельного возраста, получавших кормосмесь с ОЭ 2400 ккал\кг (отруби 23.61%) отмечалась индурация стенок вен в результате хронической застойной гиперемии в междольковых венах и зернистая дистрофия гепатоцитов. В цитоплазме гепатоцитов гликогена очень мало, на что указывала незначительная интенсивность окраски. Количество гепатоцитов, содержащих гликоген, уменьшено. В цитоплазме гепатоцитов отмечалась зернистость. Основные и кислые белки распределялись неравномерно. Количество РНК в цитоплазме гепатоцитов не изменялось. Нейтральный жир выявлялся в гепатоцитах вокруг крупных венозных сосудов. ЯЦО гепатоцитов увеличилось на 15.62%, по сравнению с контролем.
К концу опыта у кур 60-недельного возраста опытной группы мелкие венозные сосуды печени кровенаполнены, что указывало на хроническую застойную гиперемию. В цитоплазме гепатоцитов гликоген и количество ШИК - позитивных веществ выявлялось в меньшем количестве, чем в контроле. Основных белков мало, но количество кислых белков возрастало. В цитоплазме гепатоцитов количество РНК уменьшалось. Около крупных кровеносных сосудов нейтральный жир не выявлялся. В пределах одной дольки количество содержащихся в цитоплазме гепатоцитов жирных кислот различно. Величина ядер и гепатоцитов в этом возрастном периоде у кур различная, по сравнению с показателями контрольной группы, что свидетельствовало о напряженности обменных процессов, протекающих в печени кур, получавших кормосмесь с ОЭ 2400 ккал/кг и 23.61% содержанием пшеничных отрубей. ЯЦО гепатоцитов 0.300.01мкм, а относительная масса печени 2.24%.
В опытной группе после 20-ти недель скармливания низкоэнергетических кормосмесей в селезенке кур отмечалась острая застойная гиперемия в мелких синусоидных сосудах. Гликоген в пульпе не обнаруживался. В стенке лимфатических сосудов выявлялись ШИК - позитивные вещества. Отмечалось уменьшение основных белков, но количество кислых - увеличивалось. Нейтральный жир обнаруживался вокруг кровеносных сосудов портальной части органа, а холестерин и эстеразы отмечались в адвентиции артерий.
У кур 60-недельного возраста, к концу опыта, в селезенке единичные синусоидные сосуды заполнены эритроцитами, что указывало на хроническую застойную гиперемию, но выраженность её незначительна. Результаты гистохимического исследования аналогичны результатам кур 40-недельного возраста данной группы.
3.1.2. Качественные характеристики и витаминный состав яиц кур кросса Омский белый аутосексный, получавших кормосмесь с ОЭ 2800 и 2400 ккал/кг с 23.61% содержанием пшеничных отрубей
Качественные характеристики (состояние воздушной камеры, положение желтка, плотность и цвет белка) яиц кур опытной группы аналогичны результатам контрольной. Средняя масса яиц к 60-недельному возрасту кур опытной группы 60.1 0.25г., (уменьшилась на 0.16%), в контрольной группе - 60.2 0.43 г. По массе они относятся к I категории, продуктивность кур опытной группы - 78.8% (в контроле - 81.5%). Анализируя полученные результаты витаминного состава яиц кур 40-недельного возраста, выявили, что содержание витамина В2 в желтке яиц кур опытной группы, по сравнению с контролем, снизилось на 0.47мкг\г, в белке витамина В2 уменьшилось на 0.7мкг/г, сумма каротиноидов была меньше на 0.09мкг/, а витамина А в желтке изменилась в сторону уменьшения на 0.06 мкг/г.
Через 40 недель опыта отмечалось дальнейшее уменьшение количества витамина В2 в желтке яиц на 0.76мкг/г (в контроле - 4.830.03мкг/г), в белке количество витамина В2 снизилось на 0.32мкг/г (в контроле - 2.510.01мкг/г), сумма каротиноидов уменьшилась на 0.21мкг/г (в контроле - 15.440.05мкг/г), а количество витамина А в желтке - на 0.15 мкг/г (в контроле - 7.590.04 мкг/г). Следует отметить, что количественные показатели витаминного состава яиц кур обеих групп соответствовали регламентированным нормам справочных данных. Качественные характеристики и витаминный состав яиц кур исследуемого кросса на протяжении обоих опытов оставались высоким и соответствовали стандарту (ГОСТ Р 52121 - 2003), а также требованиям, предъявляемым к яйцам куриным пищевым.
Полученные результаты экспериментального опыта были подтверждены производственной проверкой. Результаты производственного опыта выявили, что состояние внутренних органов, клинико-гематологические показатели, качественные характеристики, витаминный состав яиц аналогичны результатам исследований экспериментального опыта, что позволяет признать их характерными для такого типа кормления. При снижении калорийностиа на 400 ккал/кг (отруби а23.61%) в исследуемых органах необратимых процессов не выявлено, гематологические показатели оставались в границе физиологической нормы.
Анализируя результаты, полученные в процессе исследованийа необходимо отметить, что у кур исследуемого кросса опытной группы высокая сохранность поголовья а93.5% (в контроле - 95%), продуктивность 78.8% (в контроле - 81.5%), масса яиц 60.10.25г. (в контроле - 60.20.43г). Установлена доброкачественность яиц и возможность использования их без ограничений на пищевые цели. Общее состояние кур удовлетворительное, клинико-гематологические показатели оставались в границах физиологической нормы, в структурах исследованных органах развивались компенсаторно-приспособительные реакции. Резюмируя полученные результаты исследований, заключаем, что организм акур данного кросса успешно адаптировался к кормосмесям са ОЭа 2800 и 2400 ккал\кг и 23. 61% содержанием пшеничных отрубей.
3.2. Промышленный опыт - 1
3.2.1. Гематологические показатели и клинический статус кур кросса Родонит-2 20-, 40-, 60-недельного возраста, получавших кормосмеси с ОЭа 2750 и 2400 ккал/кг с 10%а содержанием пшеничных отрубей
При клиническом исследовании кур породы Род-айланд линий Р5, Р6, Р7, Р8 кросса Родонит-2, получавших кормосмеси с ОЭ 2750 и 2400 ккал/кг с 10% содержанием пшеничных отрубей установлено, что их физиологическое состояние с 20-недельного возраста было удовлетворительным и оставалось таковым в течение 40 недель опыта. Куры были подвижны, сохраняли аппетит и реакцию на внешние раздражители. Показатели температуры тела, частоты пульса и дыхания существенно не изменялись в обеих группах, хотя и отмечались их колебания в разные возрастные периоды и время года в границе физиологической нормы.
Рост и развитие птицы считается основным показателем состояния здоровья и продуктивности. К 60-недельному возрасту средняя живая масса кур опытной группы 1943.012.23г, а в контрольной - 1945.018.63 г. Отмечалось несущественное снижение живой массы кур опытной группы (на 0.11%) и это указывало на то, что кормосмесь с ОЭ 2400 ккал/кг (отруби 10%) существенного влияния на организм птицы не оказывало.
Гематологическими исследованиями у кур исследуемого кросса с 20-недельного возраста установлены изменения количества эритроцитов в обеих группах. К 40-недельному возрасту кур опытной группы отмечалось уменьшение их количества на 1.31%, а к концу опыта - на 3.34% (в контроле - 3.000.12 млн/мкл). Показатели гемоглобина колебались в границе физиологической нормы и через 20 недель опыта они уменьшились на 1.2?, а через 40 недель промышленного опыта на 0.41% (в контроле - 83.001.73 г/л).
Количество лейкоцитов находилось в положительной динамике в течение опыта в контроле и в опытной группе. У кур 40-недельного возраста, получавших кормосмесь с ОЭ 2400 ккал/кг (отруби 10%), отмечалось увеличение количества лейкоцитов на 4.33%, в 60-недельном возрасте на 5.41% (в контроле - 30.671.20 тыс/мкл). Гематологические показатели кур опытной группы на протяжении опыта находились в границе физиологической нормы, что свидетельствует о становлении функциональной деятельности органов кроветворения, иммунной системы и указывали на достаточную адаптацию организма кур к изменяющимся условиям внешней среды (снижение ОЭ на 350 ккал/кг и введение 10% пшеничных отрубей в кормосмесь). Сохранность поголовья кур в опытной группе 99.2% (в контроле - 99.3%).
3.2.2. Гистологические, гистохимические, морфометрические исследования желудка, двенадцатиперстной кишки, печени, селезенки кур кросса Родонит-2 контрольной и опытной групп
Проведенные исследования выявили, что у кур кросса Родонит-2, получавших кормосмесь с аОЭ 2750 ккал/кг с 20-недельного возраста и в течение 40 недель опыта не приводили к возникновению патологических процессов в желудке, двенадцатиперстной кишке, печени и селезенке. Однако к 60-недельному возрасту в мускульном отделе желудка кур отмечалось увеличение волокнистой соединительной ткани в мышечной пластинке, что указывало на возрастной признак. Клинико-гематологические показатели хотя и колебались в течение всего промышленного опыта, но оставались в границах физиологической нормы.
Анализ морфометрических исследований железистого отдела желудка кур 20-недельного возраста позволил установить, что толщина собственной пластинки 323.3318.95мкм, мышечной пластинки 118.416.63мкм, подслизистой основы 230082.1 мкм, мышечной оболочки 40041.64мкм и серозной - 86.258.35 мкм. Толщина слизистой оболочки двенадцатиперстной кишки в данном возрастном периоде 1591.33 87.49 мкм, мышечная и серозная оболочки соответственно 179.6612.96мкм и 79.33 8.73мкм, толщина стенки органа 185098.63 мкм. В печени кур ЯЦО гепатоцитов 0.300.06мкм. При исследовании структуры печени кур всех кроссов нами установлено, что печеночно-пузырный проток локализуется близко к висцеральной поверхности органа, а мелкие протоки вливаются в него с париетальной стороны. При наличии неровностей рельефа слизистой аоболочки апеченочно-пузырного протока аони всегда локализуются на стороне, обращенной к париетальной поверхности печени. Учитывая, что неровности рельефа слизистой оболочки стенки печеночно-пузырного протока, обнаруживаемые с париетальной стороны органа, как при продольном, так и при его поперечном сечении имеют форму бугорков (рис.5), мы утверждаем, что продольные складки слизистой оболочки создаются из-за неровности рельефа в участках слияния мелких желчных протоков с печеночно-пузырным протоком печени, что является физиологической нормой для этого органа.
Обобщая результаты гистологического исследования желудка, двенадцатиперстной кишки, печени и селезенки в 40-недельном возрасте кур кросса Родонит-2, получавших кормосмесь с ОЭ 2400 ккал/кг и 10% содержанием пшеничных отрубей, отмечаем, что изменения выявлялись во всех исследованных органах. В этом возрастном периоде в железистом отделе желудка это проявилось гиперемией капилляров собственной пластинки с не ярко выраженным отеком стромы. Гликозаминогликаны на поверхности слизистой оболочки и между складками выявлялись в большом количестве. В строме складок ШИК - позитивных веществ содержалось больше, чем в контроле. Во всех структурах стенки органа выявлялись белки основные, а кислые - в эритроцитах. Большим количеством нуклеиновых кислот выделялись эпителиоциты сложных желез и лимфоидные клетки. В ядрах эпителиоцитов простых трубчатых желез ДНК содержалось мало, а количество РНК уменьшалось к поверхности слизистой оболочки. Через 20 недель опыта
аа
Рис.2. Железистый отдел желудка кур 40-недельного возраста опытной группы. Участок с атрофированными и редко расположенными, сильно расширенными простыми трубчатыми железами. Окраска гематоксилином и эозином (x 200). 1 - мышечная пластинка; 2 - просветы желез; 3 - участок с атрофированными простыми трубчатыми железами.
а
Рис.3. Мускульный отдела желудка кур 20-недельного возраста. Пучки гладких миоцитов между простыми трубчатыми железами слизистой оболочки. Окраска гематоксилином и эозином (x 400). 1-простые трубчатые железы слизистой оболочки мускульного отдела желудка; 2 - гладкая мышечная ткань.
Рис.4. Мускульный отдел желудка кур 60-недельного возраста опытной группы. Отек стромы собственной пластинки слизистой оболочки. Способ полихромной окраски для выявления общей гистоструктуры органа (x 100). 1 - кутикула; 2 - участки разрыхленной стромы; 3 - расширенный лимфатический сосуд.
Рис.5. Печень кур. Поперечное сечение печеночно-пузырного протока. Окраска по Акимченкову (x 400). 1 - выступы слизистой оболочки на париетальной стороне.
Рис.6. Железистый отдел желудка кур 60-недельного возраста опытной группы. Карбоксилированные гликозаминогликаны в слизистой оболочке и в эпителиоцитах простых трубчатых желез. Окраска по Стидмену (x 400).
Рис.7. Двенадцатиперстная кишка кур 40-недельного возраста опытной группы. Карбоксилированные гликозаминогликаны в мукоцитах эпителия. Окраска по Стидмену (x 400). 1 - строма ворсинок; 2 - мукоциты
Рис.8. Грудная мышца кур 60-недельного возраста опытной группы. Коллагеновые волокна на поперечном срезе. Окраска по Маллори (x 400).1 - межмышечная соединительная ткань; 2- кровеносный сосуд; 3 - коллагенизированый пучок мышечных волокон.
Рис. 9. Мускульный отдел желудка кур 40-недельного возраста опытной группы. Атрофия простых трубчатых желез слизистой оболочки. Окраска гематоксилином и эозином (x 200). 1- кутикула; 2 -мышечная оболочка; 3 - редко расположенные железы.
Рис.10. Бедренная мышца кур 60-недельного возраста опытной группы. Распределение белка. Окраска по Микель-Кальво (x400). 1- продольно срезанные пучки мышечных волокон.
Рис.11. Мускульный отдел желудка кур 60-недельного возраста опытной группы. Сульфатированные гликозаминогликаны в слизистой оболочке. Окраска по Шубичу (x100). 1- кутикула; 2 - мышечная пластинка.
Рис.12. Селезенка кур 40-недельного возраста опытной группы. Локализация белков в капсуле и пульпе. Окраска по Микель-Кальво (x200). 1- основные белки в капсуле и белой пульпе; 2- кислые белки в плазмоцитах.
Рис.13. Бедренная мышца кур 60-недельного возраста опытной группы. Эластические волокна в фасции. Окраска по Вейгерту (x100). 1- мышечная ткань; 2 - фасция.
толщина собственной пластинки органа увеличилась на 11.57%, мышечной пластинки уменьшилась на 22.54%, подслизистой основы увеличилась на 14.53%, мышечной и серозной оболочки соответственно уменьшились на 7.85% и 2.82%.
К 60-недельному возрасту в железистом отделе желудка кур данного кросса отёк стромы собственной пластики слизистой оболочки сохранился и привел к атрофии простых трубчатых желёз на отдельных участках органа. Отёк распространился на мышечную пластинку и мышечную оболочку. Карбоксилированные агликозаминогликаны содержались не только в апикальной части эпителиоцитов, но и на поверхности слизистой оболочки (рис.6). Кислые абелки арегистрировались в большом количестве в гладкой мышечной ткани и мышечной оболочке. На участке, где выражен отек, нуклеиновых кислот мало. В стенке железистого отдела желудка нейтральный жир локализовался аналогично контролю, но имелись артерии, в том числе и крупные, около которых рыхлая соединительная ткань адипоцитов не содержала. Толщина собственной пластинки органа уменьшилась на 0.35%, мышечной пластинки на 4.24%, подслизистой основы увеличилась на 8.96%, мышечной и серозной оболочка увеличилась на 6.2% и 1.25%.
Через 20 недель опыта у кур кросса Родонит-2 опытной группы в мускульном отделе желудка отмечалось нарушение оттока лимфы, проявившееся наполнением лимфатических сосудов. Обратимые изменения обнаруживались в слизистой оболочке. Они выражались уменьшением количества и укорочениема простыха трубчатых железа с одновременным истончением кутикулы. Атрофия простых трубчатых желез выявлялась на отдельных участках стенки органа. Карбоксилированные гликозаминогликаны отмечались в цитоплазме эпителиоцитов на поверхности слизистой оболочки, а сульфатированные - обнаруживались и в кутикуле, и в составе секрета простых трубчатых желез. В строме слизистой оболочки имелись кислые белки, а ШИК - позитивные вещества в максимальном количестве отмечались в собственной пластинке слизистой оболочки и секрете простых трубчатых желез. Кутикула и мышечная оболочка содержала максимальное количество РНК. В данном случае атрофию следует считатьа как местную реакцию, которая вызывалась расширением стромы слизистой оболочки и застое в ней лимфы. Предполагаем также, что это могло произойти из-за возросшего механического сопротивления со стороны содержимого желудка при сокращении его мускулатуры.
У кур 60-недельного возраста (ОЭ 2400 ккал/кг, отруби 10%) через 40 недель опыта отмечался склероз стенки мускульного отдела желудка и белковая дистрофия гладкой мышечной ткани. Мышечная пластинка имела значительное количество волокнистой соединительной ткани. Прослойки волокнистой ткани коллагенизированы. Сульфатированные гликозаминогликаны выявлялись в эпителии простых желез и на поверхности слизистой оболочки. ШИК - позитивных веществ в соединительной и мышечной тканях выявлялось мало. Гладкая мышечная ткань содержала кислые белки, а мышечная оболочка - основные. В гладкой мышечной ткани РНК обнаруживалось больше, а нейтрального жира меньше, чем в контрольной группе. Возникшие изменения в органе могут быть результатом длительного сохранения застойных явлений в органе. Известно, что с увеличением возраста ткань, выполняющая основную функцию, замещается соединительной, что можно признать возрастным признаком у кур кросса Родонит-2.
В двенадцатиперстной кишке кур 40-недельного возраста опытной группы выявлялось слизистое катаральное воспаление. Карбаксилированных гликозаминогликанов много в бокаловидных клетках и в эпителии, выстилающий ворсинки (рис.7). В рыхлой волокнистой соединительной ткани серозной оболочки они обнаруживались в форме фона. Сульфатированные гликозаминогликаны в эпителии ворсинок, в составе секрета бокаловидных клеток имелись в виде фона, но в апикальной части эпителиоцитов крипт их выявлялось очень много. Наибольшее количество ШИК - позитивных веществ обнаруживалось в цитоплазме эпителия крипт и бокаловидных клеток. В мезотелии серозной оболочки отмечались основные белки, в других участках органа содержались и кислые, и основные белки. В слизистой и мышечной оболочке РНК много.
Толщина слизистой, мышечной и серозной оболочки увеличились соответственно на 1.87%, 5.31%, 2.12%, а толщина стенки органа - на 2.26%, что указывало на увеличение работы секреторного аппарата. Длина кишечника 143.330.29 см и увеличилась, по отношению этого показателя контрольной группы на 3.86%. Увеличилась и относительная масса кишечника на 1.49%.
Отсутствие каких-либо патологических изменений в двенадцатиперстной кишке у кур 60-недельного возраста опытной группы свидетельствовало о благоприятном результатеа ранееа зарегистрированной защитно-приспособительной реакции, проявляющейся острым катаром у кур 40-недельного возраста (ОЭ 2400ккал/кг, отруби 10%). Количество нейтрального жира уменьшилось. Толщина слизистой, мышечной и серозной оболочки и толщина стенки органа увеличилась соответственно на 1.72%, 0.86%, 1.88%, 1.02%, что указывало на функциональную гипертрофию стенки органа. Длина кишечника (в контроле - 187.330.81 см, в опытной группе 1971.21 см) увеличилась на 1.08%, а относительная масса - ана 0.51%, соответственно контроля. Куры контрольной группы потребляли 120 г корма, среднесуточное потребление корма в опытной - аувеличилось на 12.5% и составило 135 г, что повлекло не только изменение толщины стенки, но и длины кишечника.
Через 20 недель промышленного опыта в печени кур опытной группы выявлялась белковая зернистая дистрофия гепатоцитов и тромбоз отдельных кровеносных сосудов. Цитоплазма гепатоцитов имела мелкую зернистость. Гликозаминогликаны отмечались в цитоплазме эпителиоцитов желчных протоков и в их просвете. На отдельных участках в гепатоцитах количество ШИК - позитивных веществ увеличивалось, на что указывала более выраженная интенсивность окраски. На участках с выраженной зернистой дистрофией в цитоплазме гепатоцитов отмечались кислые белки. В цитоплазме гепатоцитов, около тромбированных вен, содержалось РНК меньше. ЯЦО гепатоцитов увеличилось, по сравнению са контролем, на 12.9%. Относительная масса печени в контрольной группе 1.76%, в опытной группе её увеличение произошло на 0.09%. Изменения в печени носили очаговый характер.
Сохранение клеточной белковой дистрофии гепатоцитов у кур 60-недельного возраста, получавших кормосмесь с ОЭ 2400 ккал/кг (отруби 10%) указывали на то, что орган работает на достаточном уровне своих физиологических возможностей, так как более серьезных альтеративных изменений в печени не обнаруживалось. Карбоксилированные гликозаминогликаны имелись в стенке междольковых вен в незначительном количестве. Нейтральный жир в малом количестве выявлялся около триад. ЯЦО гепатоцитов оставалось на прежнем уровне и соответствовало показателям кур 40-недельного возраста опытной группы (0.350.06 мкм.). Относительная масса печени в контрольной группе составила 1.6%, а в опытной она увеличилась на 0.02%
В селезенке кур опытной группы через 20 недель опыта отмечался застой лимфы, но он выражен незначительно. Сульфатированные гликозаминогликаны в форме слабого фона имелись в капсуле органа. В красной пульпе выявлялись основные и кислые белки.
В 60-недельном возрастном периоде кур опытной группы (ОЭ 2400ккал/кг, отруби 10%) в селезенке развилась гиперемия синусоидных капилляров. Она сопровождалась пролиферацией агранулоцитов в перивакулярной зоне капилляров. В данном случае гиперемию можно считать функциональной, так кака она сопровождалась усилением основной функции органа. Такой вывод можно сделать, учитывая, что именно из агранулоцитов дифференцируются и созревают лимфоциты, что неизбежно привело к увеличению количества лейкоцитов на 5.44% в циркулирующей крови. Увеличение в крови количества лейкоцитов в границе физиологической нормы указывало на повышение общей неспецифической защиты организма кур.
3.2.3. Органолептические показатели, химический состав и гистологическая характеристика мяса кур кросса Родонит-2, получавших кормосмеси са ОЭ 2750 и 2400 ккал/кг с 10% содержанием пшеничных отрубей
Органолептическое исследование мяса кур обеих групп существенных различий не выявило. Поверхность тушек беловато-желтая, мышцы упругие, посторонних запахов в мышечной и жировой ткани, которые соответствуют несвежему мясу, не обнаруживалось и оно имело специфический запах свойственный мясу здоровых кур, бульона прозрачный, ароматный. рН мяса в обеих группах колебалось в пределах 5.8-6.1 и соответствовало показателям мяса здоровых кур. Дегустационная оценка мяса кур обеих групп существенных различий не выявило (внешний вид мяса очень хороший, аромат приятный, консистенция нежная).
Анализ химического состава мяса выявил, что у кур опытной группы количество белка в грудных мышцах уменьшалось на 1.04% (в контроле - 26.870.09%), в бедренных - на 1.25% (в контроле - 21.240.04%), жира - ана 0.05% и 0.06%, а количество влаги увеличивалось в грудных мышцах на 0.99% (в контроле - 66.120.02%),?в бедренных - на 1.23% (в контроле - 71.060.03%), золы - на 0.1% и 0.07% соответственно показателей контроля. Следует подчеркнуть, что показатели химического состава мяса кур обеих групп соответствовали регламентированным нормам справочных данных.а
Структурная характеристика бедренных и грудных мышц кур 60-недельного возраста исследуемого кросса в опытной группе аналогичны контролю. В опытной группе межмышечная соединительная ткань имеет прослойки более толстые и в тех, и в других мышцах. Количество коллагеновых волокон в саркоплазме мышечных волокон увеличивалось (рис.8), что более чётко выражено в бедренных мышцах, где отдельные волокна полностью коллагенизированы с изменением гистохимических свойств саркоплазмы, так как состояли они из белков имеющих кислую реакцию.
В грудных мышцах кур контрольной группы в очень малом количестве нейтральный жир имелся между группами пучков миоцитов II порядка, преимущественно вблизи артериальных сосудов, а в опытной группе он обнаруживался в адвентиции артерий.
В бедренных мышцах кур контрольной группы в большом количестве нейтральный жир выявлялся около кровеносных сосудов, в опытной же группе он имелся в фасции в виде шаровидных фрагментов.
Мышечные волокна тоньше в грудных мышцах на 7.7% (в контроле - 426.43 мкм), в бедренных Ца на 8.78% (в контроле - 45.62.44 мкм), соответственно результатов контроля.
3.2.4. Качественные характеристики и витаминный состав яиц кур кросса Родонит-2, получавших кормосмеси са ОЭ 2750 и 2400 ккал/кг с 10% содержанием пшеничных отрубей
Качественные характеристики яиц кур опытной группы (воздушная камера неподвижная, желток прочный, занимает центральное положение, не перемешивается, белок плотный и светлый) отличий от полученных результатов контрольной группы не имели. Масса яиц к 60-недельному возрасту кур контрольной группы 66.80.21г, в опытной - 66.250.06г и по массе яйца относятся к категории отборные ( ГОСТ Р 52121 - 2003). Средняя массаа яиц в опыте уменьшиласьа на 0.55г., продуктивность 93.65% (в контроле - 93.85%).а Витаминный состав яиц данного кросса кур выявил, что их показатели находились в динамике в обеих группах. Через 20 недель опыта содержание витамина В2 в желтке яиц кур опытной группы, по сравнению с контролем, уменьшилось на 0.32мкг/г, в белке - на 0.46мкг/г, витамин А в желтке снизился на 0.41мкг/г, сумма каротиноидов уменьшилась на 0.52 мгк/г. К концу опыта содержание витамина В2 в желтке уменьшилось на 0.03мкг/г (в контроле - 4.310.02 мкг/г), в белке на 0.06мкг/г (в контроле - 2.360.02 мкг/г), сумма каротиноидов изменилась в сторону уменьшения на 1.08мкг/г (в контроле - 15.830.08 мкг/г), а витамин А в желтке - соответственно на 0.11 мкг/г (в контроле - 7.690.04 мкг/г). Полученные результаты исследований витаминного состава яиц указывали на их несущественное снижение в обеих группах, но следует признать, что они оставались в пределах норм регламентированных справочными данными.
Таким образом, результаты исследований мяса и яиц кур кросса Родонит-2 в обеих группах указывали на высокое качество и возможность использовать в пищевых целях без ограничений в соответствии с требованиями действующих государственных стандартов ( ГОСТ Р 51944 - 2002, ГОСТ Р 52121 - 2003) и ветеринарно-санитарных правил.
Результаты исследований морфофункциональной характеристики внутренних органов кур кросса Родонит-2, в сочетании с клинико-гематологическими показателями, которые на протяжении промышленного опыта оставались в границах физиологический нормы и указывали на адаптацию организма кур, получавших кормосмеси с ОЭ 2750 и 2400 ккал/кг и 10% содержанием пшеничных отрубей.
3.3. Промышленный опыт - 2
3.3.1. Клинико-гематологические показатели кур кросса Родонит-2 20-, 40-, 60-недельного возраста, получавших кормосмеси с ОЭ 2700 и 2400 ккал/кг с 13% содержанием пшеничных отрубей
В течение опыта куры породы Род-айланд линий Р5, Р6, Р7, Р8 кросса Родонит-2 в обеих группах имели удовлетворительное состояние и сохраняли реакцию на внешние раздражители. Положение тела кур естественное, упитанность удовлетворительная. Исследования клинического статуса кур на протяжении 40 недель промышленного опыта свидетельствовали, что показатели температуры тела, частоты пульса и дыхания находились в положительной динамике и границе физиологической нормы.
Одним из критериев оценки состояния здоровья и продуктивности кур является их живая масса и к 60-недельному возрасту в контрольной группе 1969.3320.21г, в опытной - 1962.3315.38г. Изменение живой массы в опытной группе произошло всего на 0.3%. На основании полученных результатов резюмируем, что низкокалорийные кормосмеси на физиологическое состояние кур существенного влияния не оказывали. Сохранность поголовья кур в опытной группе 93.45% (в контроле - 95%).
Морфологический состав крови и её показатели изменялись в различные возрастные периоды в обеих группах. Через 20 недель промышленного опыта показатели гемоглобина у кур опытной группы уменьшились на 1.99%, количество эритроцитов - на 2.32%. К 60-недельному возрасту показатели гемоглобина изменялись в сторону уменьшения на 3.17% (в контроле - 841.00 г/л), эритроцитов - 3.34% (в контроле - 3.000.06 млн/мкл), по сравнению с контролем. В 40-недельном возрасте количество лейкоцитов увеличилось на 1.05%, а в 60-недельном возрасте на 1.15% (в контроле - 29.671.20 тыс/мкл), соответственно контроля. Гематологические показатели в контрольной и опытной группе на протяжении всего опыта (40 недель) за пределы физиологической нормы не выходили, что свидетельствовало об адаптации организма кур к данным кормосмесям и высоком уровне обменных процессов. На основании полученных результатов мы делаем вывод, что организм кур данного кросса, получавших кормосмеси са ОЭ 2700 и 2400 ккал/кг с содержанием пшеничных отрубей 13%, имел достаточную общую неспецифическую резистентность.
3.3.2. Морфометрические, гистологические и гистохимические исследования органов пищеварения и селезенки кур кросса Родонит-2
Нами установлено, что применение кормосмесей с ОЭ 2700 ккал/кг с 20-недельногоа возраста и до конца опыта в желудке, двенадцатиперстной кишке, печени и селезенке патологических изменений неа вызывало. В слизистой оболочке железистого отдела желудка к 40-недельному возрасту кур отмечалось увеличение количества лимфоидной ткани, которое сохранялось до конца опыта. Лимфацитарная инфильтрация слизистой оболочки в мускульном отделе желудка и единичные лимфацитарные фолликулы в печени выявлялись к 60-недельному возрасту, что связано с возрастным фактором и указывало на их функциональную незрелость.
Толщина собственной пластинки в железистом отделе желудка кур 20-недельного возраста 500.7515.05 мкм, мышечной пластинки 124.6617.66 мкм, мышечной оболочки 509.6658.32 мкм, подслизистой основы 319082.6мкм, серозной оболочки 121 8.52 мкм.
Толщина слизистой оболочки двенадцатиперстной кишки 1554.6653.19мкм, мышечной оболочки 199.8312.19мкм, серозной - 152.1611.5мкм, толщина стенки 1907. 6651.72 мкм. ЯЦО гепатоцитов 0.290.06мкм.
У кур, получавших кормосмеси с ОЭ 2400 ккал/кг с 13% содержанием пшеничных отрубей, в железистом отделе желудка через 20 недель опыта выявлялась пролиферация лимфоидной ткани в сочетании с отёком и атрофией простых трубчатых желез на отдельных участках органа. Максимальное количество сульфатированных гликозаминогликанов имелось в эпителии донной части простых трубчатых желез. Карбоксилированных гликозаминогликанов и ШИК - позитивных веществ много на поверхности слизистой оболочки органа. Лимфоидные клетки, находящиеся в строме, выделялись большим количеством ДНК, на что указывала более выраженная интенсивность окраски.
Толщина собственной пластинки слизистой оболочки, мышечной пластинки уменьшались соответственно на 34.76% и 22.69%, подслизистой основы увеличилась на 11.71%, мышечной и серозной оболочки уменьшились на 1.83% и 17.02%.
В железистом отделе желудка через 40 недель опыта атрофия простых трубчатых желез на отдельных участках сохранялась, но в результате того, что куры данного кросса потребляли и переваривали больший объем корма (137г) присоединилась гипертрофия внутреннего слоя мышечной оболочки, что подтверждалось морфометрическими исследованиями. Количество коллагеновых волокон в мышечной оболочке увеличилось. Нейтральный жир в малом количестве выявлялся около отдельных артерий, на участке соответствующий мышечной пластинке
Толщина собственной пластинки уменьшилась на 16.17%, мышечной пластинки на 10.87%, подслизистой основы аи мышечной оболочки увеличилась на 1.4% и 11.9%, а серозной оболочки уменьшилась на 6.32%.
Через 20 недель опыта и до его конца в мускульном отделе желудка выявлялась атрофия простых трубчатых желез слизистой оболочки на отдельных её участках (рис.9). Карбоксилированные агликозаминогликаны имелись не только в эпителии под кутикулой, в соединительной ткани под мышечной пластинкой, но и между фундальной частью желез. Нейтральный жир встречался в рыхлой соединительной ткани, в серозной оболочке и около сосудисто-нервных пучков.
С 40-недельного возраста кур и до окончания опыта в двенадцатиперстной кишке отмечалась пролиферация лимфоидной ткани в собственной пластинке слизистой оболочки. Она была значительной, что и привело к атрофии части крипт на отдельных участках органа, которые отличались повышенным количеством ДНК, а в эпителии крипт и ворсинок с широкими основаниями количество РНК уменьшалось. В малом количестве нейтральный жир выявлялся около артериальных сосудов, находящихся на мезентериальной стороне органа. Толщина слизистой, мышечной, серозной оболочек увеличились на 3.44%, 7.56%, 6.18%. Толщина стенки органа увеличивалась на 7.04% у кур 40-недельного возраста. Длина кишечника 155.334.51см, относительная масса 5.09% и увеличилась на 0.12%, соответственно контроля.
К концу опыта толщина слизистой, мышечной, серозной оболочки увеличилась на 3.69%, 1.65%, 2.97%, а толщина стенки органа увеличилась на 3.48%. Длина кишечника 198.668.02см и увеличилась на 4.87%, по сравнению с контролем. Относительная масса органа 4.66%. Среднесуточное потребление корма в контрольной группе 128 г, в опытной - увеличилось на 7.03% (137г). Увеличение толщины стенки органа и его относительной массы (на 0.63%) указывало на повышение моторной функции секреторного аппарата кишечника кур опытной группы и привело к функциональной гипертрофии стенки органа.
В опытной группе у кур 40-недельногоа возраста в печени выявлялась зернистая дистрофия гепатоцитов (клеточная белковая) и застой лимфы. Количество ШИК Ца позитивных веществ уменьшалось. РНК в цитоплазме гепатоцитов представлена нечеткими гранулами. ЯЦО гепатоцитов 0.350.06мкм и увеличилось, по сравнению к контролю, на 16.6% (0.300.01 мкм). В 60-недельном возрасте кур опытной группы дистрофия носила смешанный белково-углеводный характер. ШИК - позитивные вещества и белок в цитоплазме гепатоцитов представлены мелкими зернами. В гепатоцитах печени кур данной группы нейтральный жир достоверно не выявлялся. ЯЦО гепатоцитов 0.320.05мкм и увеличилось на 6.66%, по отношению к контролю (0.30 0.01мкм). Относительная масса органа в контрольной группе 1.59%, а в опытной - аувеличилась на 0.04%. Увеличение ЯЦО гепатоцитов указывало на сочетание изменений и напряженности обменных процессов в печени кур, получавших ОЭ 2400 ккал/кг и 13% содержанием пшеничных отрубей.
Селезенка кур 40-недельного возраста опытной группы реагировала очаговой гиперемией некоторых синусоидных капилляров, но через 40 недель промышленного опыта гистоструктура и гистохимические показатели селезенки соответствовали здоровому органу. Нейтральный жир достоверно не выявлялся в паренхиме органа.
|
Страницы: | 1 | 2 | 3 | |
Авторефераты по всем темам >>
Авторефераты по ветеринарии

СКАЧАТЬ ОРИГИНАЛ ДОКУМЕНТА